购物车
  • TargetMol
    您的购物车当前为空

Anti-Phospho-IGF1R/CD221 (Tyr1346) Polyclonal Antibody 2

Synonyms: p-IGF1R/CD221 (Y1346), p-IGF1R/CD221 (Tyr1346), IGF1R/CD221 (p-Y1346), IGF1R/CD221 (p-Tyr1346)
货号 TMAC-02092 一键复制产品信息
Rating icon 还可以

Anti-Phospho-IGF1R/CD221 (Tyr1346) Polyclonal Antibody 是一种 Rabbit 抗体,靶向 Phospho-IGF1R/CD221 (Tyr1346)。Anti-Phospho-IGF1R/CD221 (Tyr1346) Polyclonal Antibody 可用于 IHC。

Anti-Phospho-IGF1R/CD221 (Tyr1346) Polyclonal Antibody 2

一键复制产品信息
Rating icon 还可以
货号 TMAC-02092

别名 p-IGF1R/CD221 (Y1346), p-IGF1R/CD221 (Tyr1346), IGF1R/CD221 (p-Y1346), IGF1R/CD221 (p-Tyr1346)

Anti-Phospho-IGF1R/CD221 (Tyr1346) Polyclonal Antibody 是一种 Rabbit 抗体,靶向 Phospho-IGF1R/CD221 (Tyr1346)。Anti-Phospho-IGF1R/CD221 (Tyr1346) Polyclonal Antibody 可用于 IHC。

Anti-Phospho-IGF1R/CD221 (Tyr1346) Polyclonal Antibody 2
规格价格库存数量
50 μL
¥ 1,495
5日内发货
100 μL
¥ 2,240
5日内发货
库存状态实时更新,以官网显示为准,现货产品可直接加购物车下单
大包装 & 定制
加入购物车

TargetMol的所有产品仅用作科学研究或药证申报,不能被用于人体,我们不向个人提供产品和服务。请您遵守承诺用途,不得违反法律法规规定用于任何其他用途。

实验操作小课堂
常见问题解答
查看更多

资源下载:产品操作手册

产品介绍


生物活性
产品描述
Anti-Phospho-IGF1R/CD221 (Tyr1346) Polyclonal Antibody is a Rabbit antibody targeting Phospho-IGF1R/CD221 (Tyr1346). Anti-Phospho-IGF1R/CD221 (Tyr1346) Polyclonal Antibody can be used in IHC.
别名
p-IGF1R/CD221 (Y1346), p-IGF1R/CD221 (Tyr1346), IGF1R/CD221 (p-Y1346), IGF1R/CD221 (p-Tyr1346)
Ig Type
IgG
反应种属
Human
验证活性
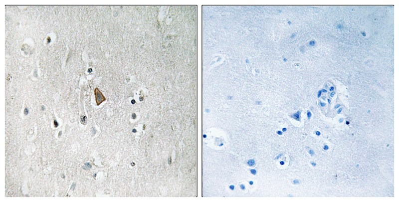
1. Immunohistochemical analysis of paraffin-embedded human brain tissue using IGF1R (Phospho-Tyr1346) antibody TMAC-02092 (left) or the same antibody preincubated with blocking peptide (right).
verifiedActivity
应用IHC
推荐剂量
IHC: 1:50-100
抗体种类
Polyclonal
宿主来源Rabbit
构建方式Polyclonal Antibody
纯化方式Antibodies were produced by immunizing rabbits with synthetic phosphopeptide and KLH conjugates. Antibodies were purified by affinity-chromatography using epitope-specific phosphopeptide. Non-phospho specific antibodies were removed by chromatogramphy using non-phosphopeptide.
性状Liquid
缓冲液Rabbit IgG in phosphate buffered saline (without Mg2+ and Ca2+), pH 7.4, 150mM NaCl, 0.02% sodium azide and 50% glycerol.
研究背景This receptor binds insulin-like growth factor with a high affinity. It has tyrosine kinase activity. The insulin-like growth factor I receptor plays a critical role in transformation events. Cleavage of the precursor generates alpha and beta subunits. It is highly overexpressed in most malignant tissues where it functions as an apoptotic agent by enhancing cell survival.
偶联与修饰
偶联
Unconjugated
其他可选修饰符
Phospho
抗原信息
免疫原
Peptide sequence around phosphorylation site of tyrosine 1346(Q-P-Y(p)-A-H) derived from Human IGF1R
抗原种属
human
Uniprot ID
化学信息
分子量Actual: 154 kDa.
储存&溶解度
储存方式Store at -20°C or -80°C for 12 months. Avoid repeated freeze-thaw cycles.
运输方式Shipping with blue ice.

计算器

  • 稀释 计算器
  • 配液 计算器
Related Tags: buy Anti-Phospho-IGF1R/CD221 (Tyr1346) Polyclonal Antibody 2 | purchase Anti-Phospho-IGF1R/CD221 (Tyr1346) Polyclonal Antibody 2 | Anti-Phospho-IGF1R/CD221 (Tyr1346) Polyclonal Antibody 2 cost | order Anti-Phospho-IGF1R/CD221 (Tyr1346) Polyclonal Antibody 2 | Anti-Phospho-IGF1R/CD221 (Tyr1346) Polyclonal Antibody 2 molecular weight