购物车
  • TargetMol
    您的购物车当前为空

Anti-Phospho-H2AFX (Ser139) Antibody (2B111)

Synonyms: p-H2AFX (Ser139), p-H2AFX (S139), H2AFX (p-Ser139), H2AFX (p-S139)
货号 TMAC-03223 一键复制产品信息
Rating icon 还可以

Anti-Phospho-H2AFX (Ser139) Antibody (2B111) 是一种 Rabbit 抗体,靶向 Phospho-H2AFX (Ser139)。Anti-Phospho-H2AFX (Ser139) Antibody (2B111) 可用于 WB,IHC,ICC/IF,IP。

Anti-Phospho-H2AFX (Ser139) Antibody (2B111)

一键复制产品信息
Rating icon 还可以
货号 TMAC-03223

别名 p-H2AFX (Ser139), p-H2AFX (S139), H2AFX (p-Ser139), H2AFX (p-S139)

Anti-Phospho-H2AFX (Ser139) Antibody (2B111) 是一种 Rabbit 抗体,靶向 Phospho-H2AFX (Ser139)。Anti-Phospho-H2AFX (Ser139) Antibody (2B111) 可用于 WB,IHC,ICC/IF,IP。

Anti-Phospho-H2AFX (Ser139) Antibody (2B111)
规格价格库存数量
50 μL
¥ 1,490
5日内发货
100 μL
¥ 2,495
5日内发货
库存状态实时更新,以官网显示为准,现货产品可直接加购物车下单
大包装 & 定制
加入购物车

TargetMol的所有产品仅用作科学研究或药证申报,不能被用于人体,我们不向个人提供产品和服务。请您遵守承诺用途,不得违反法律法规规定用于任何其他用途。

实验操作小课堂
常见问题解答
查看更多

资源下载:产品操作手册

产品介绍


生物活性
产品描述
Anti-Phospho-H2AFX (Ser139) Antibody (2B111) is a Rabbit antibody targeting Phospho-H2AFX (Ser139). Anti-Phospho-H2AFX (Ser139) Antibody (2B111) can be used in ICC/IF,IHC,IP,WB.
别名
p-H2AFX (Ser139), p-H2AFX (S139), H2AFX (p-Ser139), H2AFX (p-S139)
Ig Type
IgG
克隆号
2B111
反应种属
Human,Mouse,Rat
验证活性
1. Western blot analysis of Phospho-Histone H2A.X (S139) on HepG2 cell lysates using anti-Phospho-Histone H2A.X (S139) antibody at 1/1,000 dilution. Positive control: Lane 1: HepG2 cell lysate treated with etoposide, Lane 2: HepG2 cell lysate untreated.
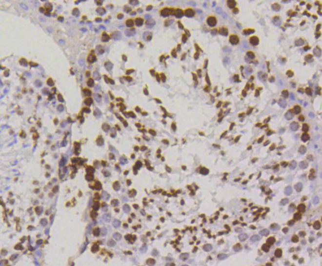
2. Immunohistochemical analysis of paraffin-embedded mouse testis tissue using anti- Phospho-Histone H2A.X (S139) antibody. Counter stained with hematoxylin.
verifiedActivityverifiedActivity
应用ICC/IFIHCIPWB
推荐剂量
WB: 1:1000-5000; IHC: 1:100-200; ICC/IF: 1:50-200; IP: 1:20-50
抗体种类
Monoclonal
宿主来源Rabbit
构建方式Recombinant Antibody
纯化方式ProA affinity purified
性状Liquid
缓冲液1*TBS (pH7.4), 1%BSA, 40%Glycerol. Preservative: 0.05% Sodium Azide.
研究背景Histone H2A.X is a member of the Histone H2A family, which is involved in nucleosomal organization of chromatin. The H2AFX gene is located in close proximity to the Porphobilinogen deaminase (PBG-D) gene in both mouse and human, and maps to chromosome 9 and 11q23, respectively. H2A.X differs from the other members of the H2A family by the presence of a highly conserved C-terminal motif. It is rapidly phosphorylated in response to ionizing radiation and plays an important role in the recognition and repair of DNA double stranded breaks. The phosphorylated form of H2A.X, designated ?-H2A.X, forms nuclear foci at the heavy chain constant region of cells involved in class switch recombination (CSR), a region-specific DNA reaction that replaces one immunoglobulin heavy chain constant region gene with another. The phosphorylated ?-H2A.X is also thought to initiate subsequent repair factors, including Rad50, Rad51 and BRCA1.
偶联与修饰
偶联
Unconjugated
其他可选修饰符
Phospho
抗原信息
免疫原
A synthesized phosphopeptide: human Histone H2A.X around the phosphorylation site of Ser139
抗原种属
human
Uniprot ID
化学信息
分子量Theoretical: 15 kDa.
储存&溶解度
储存方式Store at -20°C or -80°C for 12 months. Avoid repeated freeze-thaw cycles.
运输方式Shipping with blue ice.

计算器

  • 稀释 计算器
  • 配液 计算器
Related Tags: buy Anti-Phospho-H2AFX (Ser139) Antibody (2B111) | purchase Anti-Phospho-H2AFX (Ser139) Antibody (2B111) | Anti-Phospho-H2AFX (Ser139) Antibody (2B111) cost | order Anti-Phospho-H2AFX (Ser139) Antibody (2B111) | Anti-Phospho-H2AFX (Ser139) Antibody (2B111) molecular weight