购物车
  • TargetMol
    您的购物车当前为空

Anti-Phospho-GSK3A/B (Tyr216/279) Antibody (3N852)

Synonyms: Serine/threonine protein kinase GSK3A, Phospho-GSK3A/GSK3B (Y216, 279), p-GSK3A/GSK3B (Y216, 279), p-GSK3A/GSK3B (Tyr216, 279), GSK3alpha, GSK3A/GSK3B (p-Y216, 279), GSK3A/GSK3B (p-Tyr216, 279), Gsk3a, GSK-3 alpha, GSK 3A, GSK 3 alpha, Glycogen synthase kinase-3 alpha, Glycogen synthase kinase 3 alpha, DKFZp686D0638
货号 TMAC-03221 一键复制产品信息
Rating icon 还可以

Anti-Phospho-GSK3A/B (Tyr216/279) Antibody (3N852) 是一种 Rabbit 抗体,靶向 Phospho-GSK3A/B (Tyr216/279)。Anti-Phospho-GSK3A/B (Tyr216/279) Antibody (3N852) 可用于 WB,ICC,IHC,IP。

Anti-Phospho-GSK3A/B (Tyr216/279) Antibody (3N852)

一键复制产品信息
Rating icon 还可以
货号 TMAC-03221

别名 Serine/threonine protein kinase GSK3A, Phospho-GSK3A/GSK3B (Y216, 279), p-GSK3A/GSK3B (Y216, 279), p-GSK3A/GSK3B (Tyr216, 279), GSK3alpha, GSK3A/GSK3B (p-Y216, 279), GSK3A/GSK3B (p-Tyr216, 279), Gsk3a, GSK-3 alpha, GSK 3A, GSK 3 alpha, Glycogen synthase kinase-3 alpha, Glycogen synthase kinase 3 alpha, DKFZp686D0638

Anti-Phospho-GSK3A/B (Tyr216/279) Antibody (3N852) 是一种 Rabbit 抗体,靶向 Phospho-GSK3A/B (Tyr216/279)。Anti-Phospho-GSK3A/B (Tyr216/279) Antibody (3N852) 可用于 WB,ICC,IHC,IP。

Anti-Phospho-GSK3A/B (Tyr216/279) Antibody (3N852)
规格价格库存数量
50 μL
¥ 1,485
5日内发货
100 μL
¥ 2,490
5日内发货
库存状态实时更新,以官网显示为准,现货产品可直接加购物车下单
大包装 & 定制
加入购物车

TargetMol的所有产品仅用作科学研究或药证申报,不能被用于人体,我们不向个人提供产品和服务。请您遵守承诺用途,不得违反法律法规规定用于任何其他用途。

实验操作小课堂
常见问题解答
查看更多

资源下载:产品操作手册

产品介绍


生物活性
产品描述
Anti-Phospho-GSK3A/B (Tyr216/279) Antibody (3N852) is a Rabbit antibody targeting Phospho-GSK3A/B (Tyr216/279). Anti-Phospho-GSK3A/B (Tyr216/279) Antibody (3N852) can be used in ICC,IHC,IP,WB.
别名
Serine/threonine protein kinase GSK3A, Phospho-GSK3A/GSK3B (Y216, 279), p-GSK3A/GSK3B (Y216, 279), p-GSK3A/GSK3B (Tyr216, 279), GSK3alpha, GSK3A/GSK3B (p-Y216, 279), GSK3A/GSK3B (p-Tyr216, 279), Gsk3a, GSK-3 alpha, GSK 3A, GSK 3 alpha, Glycogen synthase kinase-3 alpha, Glycogen synthase kinase 3 alpha, DKFZp686D0638
Ig Type
IgG
克隆号
3N852
反应种属
Human,Mouse,Rat
验证活性
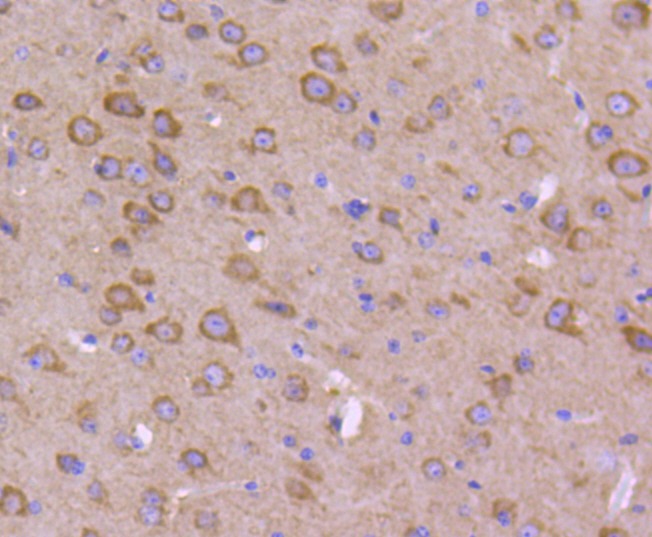
1. Immunohistochemical analysis of paraffin-embedded rat brain tissue using anti-Phospho-GSK3 (alpha+beta) (Y216+Y279) antibody. Counter stained with hematoxylin.
2. Immunohistochemical analysis of paraffin-embedded human breast carcinoma tissue using anti-Phospho-GSK3 (alpha+beta) (Y216+Y279) antibody. Counter stained with hematoxylin.
3. Immunohistochemical analysis of paraffin-embedded mouse brain tissue using anti-Phospho-GSK3 (alpha+beta) (Y216+Y279) antibody. Counter stained with hematoxylin.
4. ICC staining Phospho-GSK3 (alpha+beta) (Y216+Y279) in A431 cells (green). The nuclear counter stain is DAPI (blue). Cells were fixed in paraformaldehyde, permeabilised with 0.25% Triton X100/PBS.
5. ICC staining Phospho-GSK3 (alpha+beta) (Y216+Y279) in Hela cells (green). The nuclear counter stain is DAPI (blue). Cells were fixed in paraformaldehyde, permeabilised with 0.25% Triton X100/PBS.
6. ICC staining Phospho-GSK3 (alpha+beta) (Y216+Y279) in MCF-7 cells (green). The nuclear counter stain is DAPI (blue). Cells were fixed in paraformaldehyde, permeabilised with 0.25% Triton X100/PBS.
verifiedActivityverifiedActivityverifiedActivityverifiedActivityverifiedActivityverifiedActivity
应用ICCIHCIPWB
推荐剂量
WB: 1:1000; IHC: 1:50-200; ICC: 1:100-500
抗体种类
Monoclonal
宿主来源Rabbit
构建方式Recombinant Antibody
纯化方式ProA affinity purified
性状Liquid
缓冲液1*TBS (pH7.4), 1%BSA, 40%Glycerol. Preservative: 0.05% Sodium Azide.
研究背景Glycogen synthase kinase-3α (GSK-3α) and GSK-3β are highly similar isoforms of serine/ threonine kinases that regulate metabolic enzymes and transcription factors, which are responsible for coordinating processes such as glycogen synthesis and cell adhesion. GSK-3β activity is also required for nuclear activity of Rel dimers, which mediate an apoptotic response to TNFα in mice. GSK-3 catalytic kinase activity is controlled through differential phosphorylation of serine/threonine residues, which have an inhibitory effect, and tyrosine residues, which have an activating effect. Growth factor stimulation of mammalian cells expressing GSK-3α and GSK-3β induces phosphorylation of Ser 21 and Ser 9, respectively, through a phosphatidylinositol 3-kinase (PI 3-K)-protein kinase B (PKB)-dependent pathway, thereby enhancing proliferative signals. Additionally, GSK-3 physically associates with cAMP-dependent protein kinase A (PKA), which phosphorylates Ser 21 of GSK-3α or Ser 9 of GSK-3β and inactivates both forms. GSK-3α/β is positively regulated by phosphorylation on Tyr 279 and Tyr 216, respectively. Activated GSK-3α/β participates in energy metabolism, neuronal cell development, and body pattern formation. Tyrosine dephosphorylation of GSK-3 is involved in its extracellular signal-dependent inactivation.
偶联与修饰
偶联
Unconjugated
其他可选修饰符
Phospho
抗原信息
免疫原
A synthesized phosphopeptide: human GSK3(alpha+beta) around the phosphorylation site of Tyr216 and 279
抗原种属
human
Uniprot ID
化学信息
分子量Theoretical: 51 kDa.
储存&溶解度
储存方式Store at -20°C or -80°C for 12 months. Avoid repeated freeze-thaw cycles.
运输方式Shipping with blue ice.

计算器

  • 稀释 计算器
  • 配液 计算器
Related Tags: buy Anti-Phospho-GSK3A/B (Tyr216/279) Antibody (3N852) | purchase Anti-Phospho-GSK3A/B (Tyr216/279) Antibody (3N852) | Anti-Phospho-GSK3A/B (Tyr216/279) Antibody (3N852) cost | order Anti-Phospho-GSK3A/B (Tyr216/279) Antibody (3N852) | Anti-Phospho-GSK3A/B (Tyr216/279) Antibody (3N852) molecular weight