购物车
  • 全部删除
  • TargetMol
    您的购物车当前为空

Anti-Phospho-G3BP1 (Ser232) Polyclonal Antibody

一键复制产品信息
Rating icon 还可以
产品编号 TMAC-01579
别名 p-G3BP1 (Ser232), p-G3BP1 (S232), G3BP1 (p-Ser232), G3BP1 (p-S232)

Anti-Phospho-G3BP1 (Ser232) Polyclonal Antibody 是一种 Rabbit 抗体,靶向 Phospho-G3BP1 (Ser232)。Anti-Phospho-G3BP1 (Ser232) Polyclonal Antibody 可用于 IF,IHC,WB。

Anti-Phospho-G3BP1 (Ser232) Polyclonal Antibody

Anti-Phospho-G3BP1 (Ser232) Polyclonal Antibody

一键复制产品信息
Rating icon 还可以
产品编号 TMAC-01579 别名 p-G3BP1 (Ser232), p-G3BP1 (S232), G3BP1 (p-Ser232), G3BP1 (p-S232)

Anti-Phospho-G3BP1 (Ser232) Polyclonal Antibody 是一种 Rabbit 抗体,靶向 Phospho-G3BP1 (Ser232)。Anti-Phospho-G3BP1 (Ser232) Polyclonal Antibody 可用于 IF,IHC,WB。

规格价格库存数量
50 μL
¥ 1,480
5日内发货
100 μL
¥ 2,230
5日内发货
大包装 & 定制
加入购物车
TargetMol 的所有产品仅用作科学研究或药证申报,不能被用于人体,我们不向个人提供产品和服务。请您遵守承诺用途,不得违反法律法规规定用于任何其他用途。
实验操作小课堂
常见问题解答
查看更多
联系我们获取更多批次信息
资源下载

产品介绍

生物活性
产品描述
Anti-Phospho-G3BP1 (Ser232) Polyclonal Antibody is a Rabbit antibody targeting Phospho-G3BP1 (Ser232). Anti-Phospho-G3BP1 (Ser232) Polyclonal Antibody can be used in IF,IHC,WB.
别名p-G3BP1 (Ser232), p-G3BP1 (S232), G3BP1 (p-Ser232), G3BP1 (p-S232)
Ig Type
IgG
交叉反应
Human
验证活性
1. Western blot analysis of extracts from 293 cells untreated or treated with starvation using G3BP-1 (Phospho-Ser232) Antibody TMAC-01579.
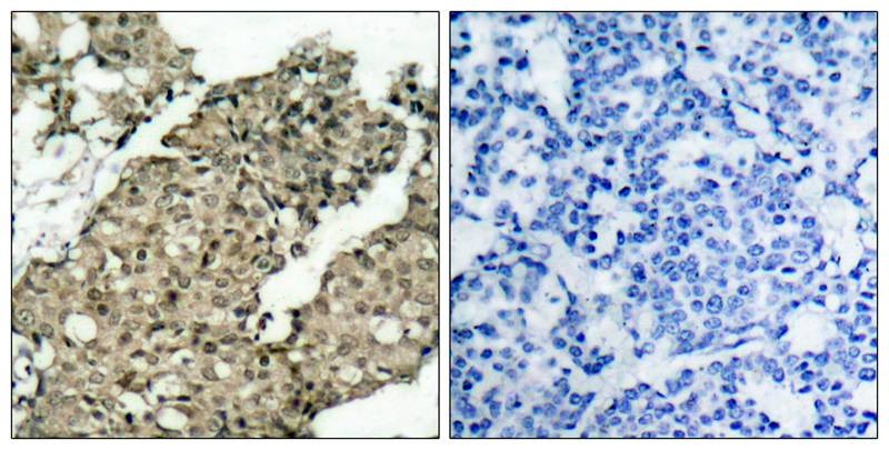
2. Immunohistochemical analysis of paraffin-embedded human breast carcinoma tissue using G3BP-1 (Phospho-Ser232) Antibody TMAC-01579(left) or the same antibody preincubated with blocking peptide (right).
3. Immunofluorescence staining of methanol-fixed Hela cells using G3BP-1 (Phospho-Ser232) Antibody TMAC-01579.
verifiedActivityverifiedActivityverifiedActivity
应用IFIHCWB
抗体种类
Polyclonal
宿主来源Rabbit
构建方式Polyclonal Antibody
纯化方式Antibodies were produced by immunizing rabbits with synthetic phosphopeptide and KLH conjugates. Antibodies were purified by affinity-chromatography using epitope-specific phosphopeptide. Non-phospho specific antibodies were removed by chromatogramphy using non-phosphopeptide.
性状Liquid
缓冲液Supplied at 1.0mg/mL in phosphate buffered saline (without Mg2+ and Ca2+), pH 7.4, 150mM NaCl, 0.02% sodium azide and 50% glycerol.
研究背景May be a regulated effector of stress granule assembly. Phosphorylation-dependent sequence-specific endoribonuclease in vitro. Cleaves exclusively between cytosine and adenine and cleaves MYC mRNA preferentially at the 3'-UTR. ATP- and magnesium-dependent helicase. Unwinds preferentially partial DNA and RNA duplexes having a 17 bp annealed portion and either a hanging 3' tail or hanging tails at both 5'- and 3'-ends. Unwinds DNA/DNA, RNA/DNA, and RNA/RNA substrates with comparable efficiency. Acts unidirectionally by moving in the 5' to 3' direction along the bound single-stranded DNA.
偶联与修饰
偶联
Unconjugated
其他可选修饰符
Phospho
抗原信息
免疫原
Peptide sequence around phosphorylation site of serine 232 (S-S-S(p)-P-A) derived from Human G3BP-1
抗原种属
human
Uniprot ID
存储&运输
储存方式Store at 2°C-8°C for 1 month. Store at -20°C or -80°C for 12 months. Avoid repeated freeze-thaw cycles.
运输方式Shipping with blue ice.

计算器

  • 稀释 计算器

关键词

评论列表

4个月前
5.0
Rating icon 很棒

评论内容

Related Tags: buy Anti-Phospho-G3BP1 (Ser232) Polyclonal Antibody | purchase Anti-Phospho-G3BP1 (Ser232) Polyclonal Antibody | Anti-Phospho-G3BP1 (Ser232) Polyclonal Antibody cost | order Anti-Phospho-G3BP1 (Ser232) Polyclonal Antibody