购物车
  • 全部删除
  • TargetMol
    您的购物车当前为空

Anti-Phospho-FKHR (Ser256) Polyclonal Antibody

一键复制产品信息
Rating icon 还可以
产品编号 TMAC-01493
别名 p-FKHR (Ser256), p-FKHR (S256), FKHR (p-Ser256), FKHR (p-S256)

Anti-Phospho-FKHR (Ser256) Polyclonal Antibody 是一种 Rabbit 抗体,靶向 Phospho-FKHR (Ser256)。Anti-Phospho-FKHR (Ser256) Polyclonal Antibody 可用于 ELISA,IF,IHC,WB。

Anti-Phospho-FKHR (Ser256) Polyclonal Antibody

Anti-Phospho-FKHR (Ser256) Polyclonal Antibody

一键复制产品信息
Rating icon 还可以
产品编号 TMAC-01493 别名 p-FKHR (Ser256), p-FKHR (S256), FKHR (p-Ser256), FKHR (p-S256)

Anti-Phospho-FKHR (Ser256) Polyclonal Antibody 是一种 Rabbit 抗体,靶向 Phospho-FKHR (Ser256)。Anti-Phospho-FKHR (Ser256) Polyclonal Antibody 可用于 ELISA,IF,IHC,WB。

规格价格库存数量
50 μL
¥ 1,485
5日内发货
100 μL
¥ 2,245
5日内发货
大包装 & 定制
加入购物车
TargetMol 的所有产品仅用作科学研究或药证申报,不能被用于人体,我们不向个人提供产品和服务。请您遵守承诺用途,不得违反法律法规规定用于任何其他用途。
实验操作小课堂
常见问题解答
查看更多
联系我们获取更多批次信息
资源下载

产品介绍

生物活性
产品描述
Anti-Phospho-FKHR (Ser256) Polyclonal Antibody is a Rabbit antibody targeting Phospho-FKHR (Ser256). Anti-Phospho-FKHR (Ser256) Polyclonal Antibody can be used in ELISA,IF,IHC,WB.
别名p-FKHR (Ser256), p-FKHR (S256), FKHR (p-Ser256), FKHR (p-S256)
Ig Type
IgG
交叉反应
Human,Mouse,Rat,Drosophila
验证活性
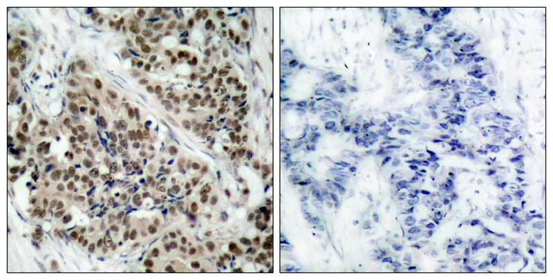
1. Immunohistochemical analysis of paraffin-embedded human breast carcinoma tissue using FKHR (Phospho-Ser256) Antibody TMAC-01493 (left) or the same antibody preincubated with blocking peptide (right).
2. Immunofluorescence staining of methanol-fixed MCF7 cells using FKHR(Phospho-Ser256) Antibody TMAC-01493.
3. Immunofluorescence staining of methanol-fixed MEF cells untreated or treated with LY2904 using FKHR (Phospho-Ser256) Antibody TMAC-01493.
4. Immunoprecipitation analysis of extracts of 293T cells incubated with FKHR (Phospho-Ser256) Antibody.
5. Western blot analysis of FKHR (Phospho-Ser256) expression in 293T, 293T Insulin, 293T EGF, 293T H202, HUVEC Insulin, HUVEC EGF, Mouse Brain, Mouse Lung, Rat Brain, Rat Heart.
verifiedActivityverifiedActivityverifiedActivityverifiedActivityverifiedActivity
应用ELISAIFIHCWB
抗体种类
Polyclonal
宿主来源Rabbit
构建方式Polyclonal Antibody
纯化方式Antibodies were produced by immunizing rabbits with synthetic phosphopeptide and KLH conjugates. Antibodies were purified by affinity-chromatography using epitope-specific phosphopeptide. Non-phospho specific antibodies were removed by chromatogramphy using non-phosphopeptide.
性状Liquid
缓冲液Supplied at 1.0mg/mL in phosphate buffered saline (without Mg2+ and Ca2+), pH 7.4, 150mM NaCl, 0.02% sodium azide and 50% glycerol.
研究背景Transcription factor that is the main target of insulin signaling and regulates metabolic homeostasis in response to oxidative stress. Binds to the insulin response element (IRE) with consensus sequence 5'-TT[G/A]TTTTG-3' and the related Daf-16 family binding element (DBE) with consensus sequence 5'-TT[G/A]TTTAC-3'. Activity suppressed by insulin. Main regulator of redox balance and osteoblast numbers and controls bone mass. Orchestrates the endocrine function of the skeleton in regulating glucose metabolism. Acts syngernistically with ATF4 to suppress osteocalcin/BGLAP activity, increasing glucose levels and triggering glucose intolerance and insulin insensitivity. Also suppresses the transcriptional activity of RUNX2, an upstream activator of osteocalcin/BGLAP. In hepatocytes, promotes gluconeogenesis by acting together with PPARGC1A to activate the expression of genes such as IGFBP1, G6PC and PPCK1. Important regulator of cell death acting downstream of CDK1, PKB/AKT1 and SKT4/MST1. Promotes neural cell death. Mediates insulin action on adipose. Regulates the expression of adipogenic genes such as PPARG during preadipocyte differentiation and, adipocyte size and adipose tissue-specific gene expression in response to excessive calorie intake. Regulates the transcriptional activity of GADD45A and repair of nitric oxide-damaged DNA in beta-cells.
偶联与修饰
偶联
Unconjugated
其他可选修饰符
Phospho
抗原信息
免疫原
Peptide sequence around phosphorylation site of serine 256 (A-A-S(p)-M-D) derived from Human FKHR
抗原种属
human
Uniprot ID
化学信息
分子量Theoretical: 82 kDa.
存储&运输
储存方式Store at 2°C-8°C for 1 month. Store at -20°C or -80°C for 12 months. Avoid repeated freeze-thaw cycles.
运输方式Shipping with blue ice.

计算器

  • 稀释 计算器

关键词

评论列表

4个月前
5.0
Rating icon 很棒

评论内容

Related Tags: buy Anti-Phospho-FKHR (Ser256) Polyclonal Antibody | purchase Anti-Phospho-FKHR (Ser256) Polyclonal Antibody | Anti-Phospho-FKHR (Ser256) Polyclonal Antibody cost | order Anti-Phospho-FKHR (Ser256) Polyclonal Antibody | Anti-Phospho-FKHR (Ser256) Polyclonal Antibody molecular weight