购物车
  • TargetMol
    您的购物车当前为空

Anti-Phospho-FAK (Tyr397) Polyclonal Antibody

Synonyms: PTK 2, Protein-tyrosine kinase 2, Protein Tyrosine Kinase Cytoplasmic, Protein tyrosine kinase 2, Protein phosphatase 1 regulatory subunit 71, PPP1R71, pp125FAK, p-FAK (Y397), p-FAK (Tyr397), p125FAK, FRNK, Focal adhesion kinase-related nonkinase, Focal adhesion kinase 1, FAK1, FAK related non kinase polypeptide, FAK 1, FAK (p-Y397), FAK (p-Tyr397), FADK 1, FADK
货号 TMAB-01411 一键复制产品信息
Rating icon 还可以

Anti-Phospho-FAK (Tyr397) Polyclonal Antibody 是一种 Rabbit 抗体,靶向 Phospho-FAK (Tyr397)。Anti-Phospho-FAK (Tyr397) Polyclonal Antibody 可用于 ICC/IF, IF, IHC-Fr, IHC-P, WB。

Anti-Phospho-FAK (Tyr397) Polyclonal Antibody

一键复制产品信息
Rating icon 还可以
货号 TMAB-01411

别名 PTK 2, Protein-tyrosine kinase 2, Protein Tyrosine Kinase Cytoplasmic, Protein tyrosine kinase 2, Protein phosphatase 1 regulatory subunit 71, PPP1R71, pp125FAK, p-FAK (Y397), p-FAK (Tyr397), p125FAK, FRNK, Focal adhesion kinase-related nonkinase, Focal adhesion kinase 1, FAK1, FAK related non kinase polypeptide, FAK 1, FAK (p-Y397), FAK (p-Tyr397), FADK 1, FADK

Anti-Phospho-FAK (Tyr397) Polyclonal Antibody 是一种 Rabbit 抗体,靶向 Phospho-FAK (Tyr397)。Anti-Phospho-FAK (Tyr397) Polyclonal Antibody 可用于 ICC/IF, IF, IHC-Fr, IHC-P, WB。

Anti-Phospho-FAK (Tyr397) Polyclonal Antibody
规格价格库存数量
50 μL
¥ 1,160
5日内发货
100 μL
¥ 1,975
5日内发货
200 μL
¥ 2,795
5日内发货
库存状态实时更新,以官网显示为准,现货产品可直接加购物车下单
大包装 & 定制
加入购物车

TargetMol的所有产品仅用作科学研究或药证申报,不能被用于人体,我们不向个人提供产品和服务。请您遵守承诺用途,不得违反法律法规规定用于任何其他用途。

实验操作小课堂
常见问题解答
查看更多

资源下载:产品操作手册

产品介绍


生物活性
产品描述
Anti-Phospho-FAK (Tyr397) Polyclonal Antibody is a Rabbit antibody targeting Phospho-FAK (Tyr397). Anti-Phospho-FAK (Tyr397) Polyclonal Antibody can be used in ICC/IF, IF, IHC-Fr, IHC-P, WB.
别名
PTK 2, Protein-tyrosine kinase 2, Protein Tyrosine Kinase Cytoplasmic, Protein tyrosine kinase 2, Protein phosphatase 1 regulatory subunit 71, PPP1R71, pp125FAK, p-FAK (Y397), p-FAK (Tyr397), p125FAK, FRNK, Focal adhesion kinase-related nonkinase, Focal adhesion kinase 1, FAK1, FAK related non kinase polypeptide, FAK 1, FAK (p-Y397), FAK (p-Tyr397), FADK 1, FADK
Ig Type
IgG
反应种属
Human,Mouse,Rat (predicted:Chicken,Dog,Cow,Horse,Rabbit)
验证活性
1. Sample:
Thymus (Mouse) Lysate at 40 μg
Primary: Anti-p-FAK (Tyr397) (TMAB-01411) at 1/300 dilution
Secondary: IRDye800CW Goat Anti-Rabbit IgG at 1/20000 dilution
Predicted band size: 116 kDa
Observed band size: 116 kDa
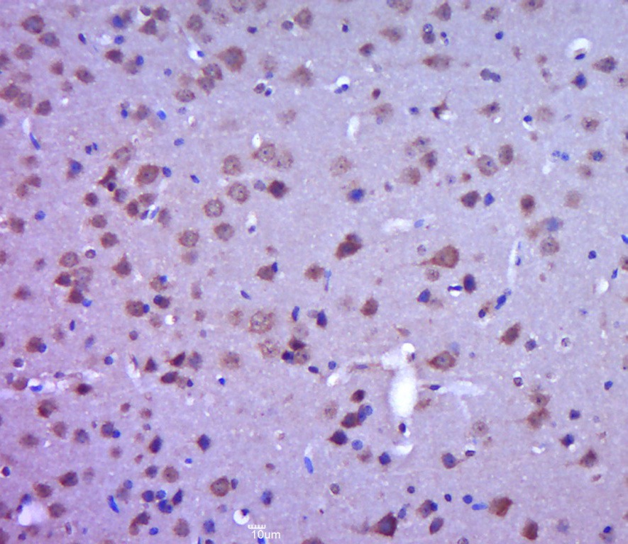
2. Paraformaldehyde-fixed, paraffin embedded (mouse brain tissue); Antigen retrieval by boiling in sodium citrate buffer (pH6.0) for 15 min; Block endogenous peroxidase by 3% hydrogen peroxide for 20 min; Blocking buffer (normal goat serum) at 37°C for 30 min; Antibody incubation with (P-FAK (Tyr397)) Polyclonal Antibody, Unconjugated (TMAB-01411) at 1:400 overnight at 4°C, followed by a conjugated secondary for 20 min and DAB staining.
3. Sample:
Lane 1: Cerebrum (Mouse) Lysate at 40 μg
Lane 2: Testis (Mouse) Lysate at 40 μg
Lane 3: NIH/3T3 (Mouse) Cell Lysate at 30 μg
Lane 4: Cerebrum (Rat) Lysate at 40 μg
Lane 5: Adrenal gland (Rat) Lysate at 40 μg
Lane 6: Testis (Rat) Lysate at 40 μg
Lane 7: 293T (Human) Cell Lysate at 30 μg
Lane 8: A431 (Human) Cell Lysate at 30 μg
Lane 9: Huvec (Human) Cell Lysate at 30 μg
Lane 10: MDA-MB-231 (Human) Cell Lysate at 30 μg
Lane 11: A549 (Human) Cell Lysate at 30 μg
Primary: Anti-Phospho-FAK (Tyr397) (TMAB-01411) at 1/1000 dilution
Secondary: IRDye800CW Goat Anti-Rabbit IgG at 1/20000 dilution
Predicted band size: 125 kDa
Observed band size: 125 kDa
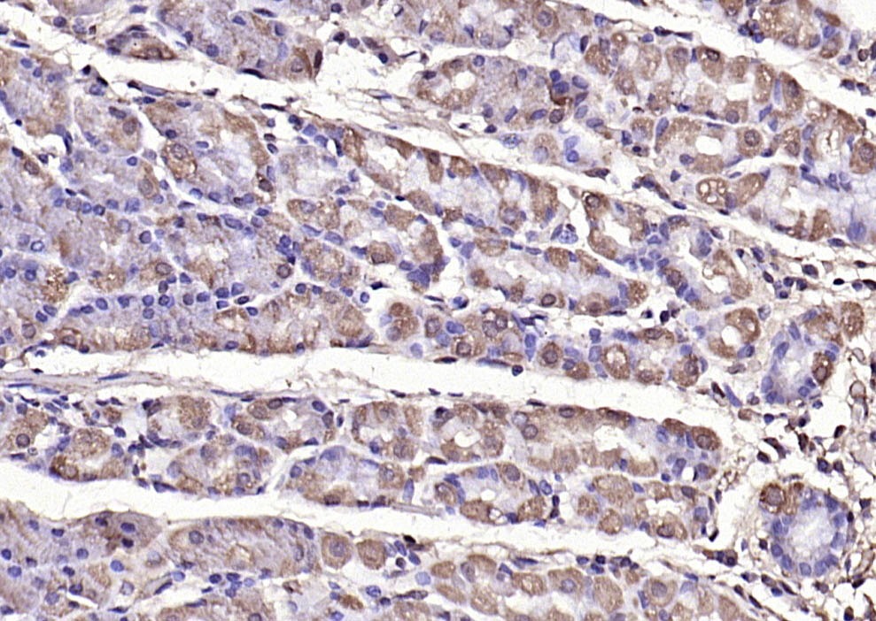
4. Paraformaldehyde-fixed, paraffin embedded (human gastric carcinoma); Antigen retrieval by boiling in sodium citrate buffer (pH6.0) for 15 min; Block endogenous peroxidase by 3% hydrogen peroxide for 20 min; Blocking buffer (normal goat serum) at 37°C for 30 min; Antibody incubation with (Phospho-FAK (Tyr397)) Polyclonal Antibody, Unconjugated (TMAB-01411) at 1:200 overnight at 4°C, followed by operating according to SP Kit (Rabbit) instructionsand DAB staining.
5. Hela cell; 4% Paraformaldehyde-fixed; Triton X-100 at room temperature for 20 min; Blocking buffer (normal goat serum) at 37°C for 20 min; Antibody incubation with (Phospho-FAK (Tyr397)) polyclonal Antibody, Unconjugated (TMAB-01411) 1:50, 90 minutes at 37°C; followed by a conjugated Goat Anti-Rabbit IgG antibody at 37°C for 90 minutes, DAPI (blue) was used to stain the cell nucleus.
verifiedActivityverifiedActivityverifiedActivityverifiedActivityverifiedActivity
应用ICC/IFIFIHC-FrIHC-PWB
推荐剂量
ICC/IF=1:100-500; IF=1:100-500; IHC-Fr=1:100-500; IHC-P=1:100-500; WB=1:500-2000
抗体种类
Polyclonal
宿主来源Rabbit
亚细胞定位Cell junction, focal adhesion. Cell membrane; Peripheral membrane protein; Cytoplasmic side. Cytoplasm, cell cortex. Cytoplasm, cytoskeleton. Cytoplasm, cytoskeleton, centrosome. Nucleus. Note=Constituent of focal adhesions. Detected at microtubules.
组织特异性Detected in B and T-lymphocytes. Isoform 1 and isoform 6 are detected in lung fibroblasts (at protein level). Ubiquitous.
构建方式Polyclonal Antibody
纯化方式Protein A purified
性状Liquid
缓冲液0.01M TBS (pH7.4) with 1% BSA, 0.02% Proclin300 and 50% Glycerol.
浓度1 mg/mL
研究背景Non-receptor protein-tyrosine kinase implicated in signaling pathways involved in cell motility, proliferation and apoptosis. Activated by tyrosine-phosphorylation in response to either integrin clustering induced by cell adhesion or antibody cross-linking, or via G-protein coupled receptor (GPCR) occupancy by ligands such as bombesin or lysophosphatidic acid, or via LDL receptor occupancy. Plays a potential role in oncogenic transformations resulting in increased kinase activity. [SUBCELLULAR LOCATION] Cell junction, focal adhesion. Cell membrane; Peripheral membrane protein; Cytoplasmic side. Note=Constituent of focal adhesions.
抗原信息
免疫原
KLH cunjugated Synthesised phosphopeptide: human FAK around the phosphorylation site of Tyr397
抗原种属
Human
基因名称
PTK2
基因ID
蛋白名称
Focal adhesion kinase 1
Uniprot ID
研究领域
FAK family,Integrins,Focal Adhesions,FAK / PYK
功能
Non-receptor protein-tyrosine kinase that plays an essential role in regulating cell migration, adhesion, spreading, reorganization of the actin cytoskeleton, formation and disassembly of focal adhesions and cell protrusions, cell cycle progression, cell proliferation and apoptosis. Required for early embryonic development and placenta development. Required for embryonic angiogenesis, normal cardiomyocyte migration and proliferation, and normal heart development. Regulates axon growth and neuronal cell migration, axon branching and synapse formation; required for normal development of the nervous system. Plays a role in osteogenesis and differentiation of osteoblasts. Functions in integrin signal transduction, but also in signaling downstream of numerous growth factor receptors, G-protein coupled receptors (GPCR), EPHA2, netrin receptors and LDL receptors. Forms multisubunit signaling complexes with SRC and SRC family members upon activation; this leads to the phosphorylation of additional tyrosine residues, creating binding sites for scaffold proteins, effectors and substrates. Regulates numerous signaling pathways. Promotes activation of phosphatidylinositol 3-kinase and the AKT1 signaling cascade. Promotes activation of MAPK1/ERK2, MAPK3/ERK1 and the MAP kinase signaling cascade. Promotes localized and transient activation of guanine nucleotide exchange factors (GEFs) and GTPase-activating proteins (GAPs), and thereby modulates the activity of Rho family GTPases. Signaling via CAS family members mediates activation of RAC1. Recruits the ubiquitin ligase MDM2 to P53/TP53 in the nucleus, and thereby regulates P53/TP53 activity, P53/TP53 ubiquitination and proteasomal degradation. Phosphorylates SRC; this increases SRC kinase activity. Phosphorylates ACTN1, ARHGEF7, GRB7, RET and WASL. Promotes phosphorylation of PXN and STAT1; most likely PXN and STAT1 are phosphorylated by a SRC family kinase that is recruited to autophosphorylated PTK2/FAK1, rather than by PTK2/FAK1 itself. Promotes phosphorylation of BCAR1; GIT2 and SHC1; this requires both SRC and PTK2/FAK1. Promotes phosphorylation of BMX and PIK3R1. Isoform 6 (FRNK) does not contain a kinase domain and inhibits PTK2/FAK1 phosphorylation and signaling. Its enhanced expression can attenuate the nuclear accumulation of LPXN and limit its ability to enhance serum response factor (SRF)-dependent gene transcription.
化学信息
分子量Theoretical: 116 kDa. Actual: 125 kDa.
储存&溶解度
储存方式Store at -20°C or -80°C for 12 months. Avoid repeated freeze-thaw cycles.
运输方式Shipping with blue ice.

计算器

  • 稀释 计算器
  • 配液 计算器
Related Tags: buy Anti-Phospho-FAK (Tyr397) Polyclonal Antibody | purchase Anti-Phospho-FAK (Tyr397) Polyclonal Antibody | Anti-Phospho-FAK (Tyr397) Polyclonal Antibody cost | order Anti-Phospho-FAK (Tyr397) Polyclonal Antibody | Anti-Phospho-FAK (Tyr397) Polyclonal Antibody molecular weight