购物车
  • TargetMol
    您的购物车当前为空

Anti-Phospho-EIF4G1 (Ser1231) Polyclonal Antibody

Synonyms: p-EIF4G1 (Ser1231), p-EIF4G1 (S1231), EIF4G1 (p-Ser1231), EIF4G1 (p-S1231)
货号 TMAC-01279 一键复制产品信息
Rating icon 还可以

Anti-Phospho-EIF4G1 (Ser1231) Polyclonal Antibody 是一种 Rabbit 抗体,靶向 Phospho-EIF4G1 (Ser1231)。Anti-Phospho-EIF4G1 (Ser1231) Polyclonal Antibody 可用于 IHC,WB。

Anti-Phospho-EIF4G1 (Ser1231) Polyclonal Antibody

一键复制产品信息
Rating icon 还可以
货号 TMAC-01279

别名 p-EIF4G1 (Ser1231), p-EIF4G1 (S1231), EIF4G1 (p-Ser1231), EIF4G1 (p-S1231)

Anti-Phospho-EIF4G1 (Ser1231) Polyclonal Antibody 是一种 Rabbit 抗体,靶向 Phospho-EIF4G1 (Ser1231)。Anti-Phospho-EIF4G1 (Ser1231) Polyclonal Antibody 可用于 IHC,WB。

Anti-Phospho-EIF4G1 (Ser1231) Polyclonal Antibody
规格价格库存数量
50 μL
¥ 1,485
5日内发货
100 μL
¥ 2,235
5日内发货
库存状态实时更新,以官网显示为准,现货产品可直接加购物车下单
大包装 & 定制
加入购物车

TargetMol的所有产品仅用作科学研究或药证申报,不能被用于人体,我们不向个人提供产品和服务。请您遵守承诺用途,不得违反法律法规规定用于任何其他用途。

实验操作小课堂
常见问题解答
查看更多

资源下载:产品操作手册

产品介绍


生物活性
产品描述
Anti-Phospho-EIF4G1 (Ser1231) Polyclonal Antibody is a Rabbit antibody targeting Phospho-EIF4G1 (Ser1231). Anti-Phospho-EIF4G1 (Ser1231) Polyclonal Antibody can be used in IHC,WB.
别名
p-EIF4G1 (Ser1231), p-EIF4G1 (S1231), EIF4G1 (p-Ser1231), EIF4G1 (p-S1231)
Ig Type
IgG
反应种属
Human
验证活性
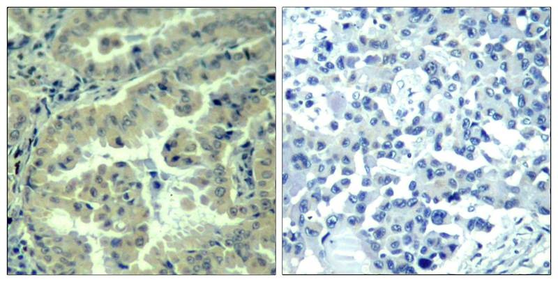
1. Immunohistochemical analysis of paraffin-embedded human lung carcinoma tissue using eIF4G (phospho-Ser1231) Antibody TMAC-01279 (left) or the same antibody preincubated with blocking peptide (right).
2. Western blot analysis of extracts from HT29 cells untreated or treated with Anisomycin using eIF4G (phospho-Ser1231) Antibody TMAC-01279.
verifiedActivityverifiedActivity
应用IHCWB
抗体种类
Polyclonal
宿主来源Rabbit
构建方式Polyclonal Antibody
纯化方式Antibodies were produced by immunizing rabbits with synthetic phosphopeptide and KLH conjugates. Antibodies were purified by affinity-chromatography using epitope-specific phosphopeptide. Non-phospho specific antibodies were removed by chromatogramphy using non-phosphopeptide.
性状Liquid
缓冲液Supplied at 1.0mg/mL in phosphate buffered saline (without Mg2+ and Ca2+), pH 7.4, 150mM NaCl, 0.02% sodium azide and 50% glycerol.
研究背景eIF4F is a multi-subunit complex, the composition of which varies with external and internal environmental conditions. It is composed of at least EIF4A, EIF4E and EIF4G1/EIF4G3. Interacts with eIF3, mutually exclusive with EIF4A1 or EIFA2, EIF4E and through its N-terminus with PAPBC1. Interacts through its C-terminus with the serine/threonine kinases MKNK1, and with MKNK2. Appears to act as a scaffold protein, holding these enzymes in place to phosphorylate EIF4E. Non-phosphorylated EIF4EBP1 competes with EIF4G1/EIF4G3 to interact with EIF4E; insulin stimulated MAP-kinase (MAPK1 and MAPK3) phosphorylation of EIF4EBP1 causes dissociation of the complex allowing EIF4G1/EIF4G3 to bind and consequent initiation of translation. EIF4G1/EIF4G3 interacts with PABPC1 to bring about circularization of the mRNA. Rapamycin can attenuate insulin stimulation mediated by FKBPs. Interacts with EIF4E3. Interacts with MIF4GD. Interacts with rotavirus A NSP3; in this interaction, NSP3 takes the place of PABPC1 thereby inducing shutoff of host protein synthesis
偶联与修饰
偶联
Unconjugated
其他可选修饰符
Phospho
抗原信息
免疫原
Peptide sequence around phosphorylation site of serine 1231 (P-V-S(p)-P-L) derived from Human eIF4G
抗原种属
human
Uniprot ID
储存&溶解度
储存方式Store at 2°C-8°C for 1 month. Store at -20°C or -80°C for 12 months. Avoid repeated freeze-thaw cycles.
运输方式Shipping with blue ice.

计算器

  • 稀释 计算器
  • 配液 计算器
Related Tags: buy Anti-Phospho-EIF4G1 (Ser1231) Polyclonal Antibody | purchase Anti-Phospho-EIF4G1 (Ser1231) Polyclonal Antibody | Anti-Phospho-EIF4G1 (Ser1231) Polyclonal Antibody cost | order Anti-Phospho-EIF4G1 (Ser1231) Polyclonal Antibody