购物车
  • 全部删除
  • TargetMol
    您的购物车当前为空

Anti-Phospho-EGFR (Tyr1092) Antibody (6T663)

一键复制产品信息
Rating icon 还可以
产品编号 TMAC-03209
别名 p-EGFR (Y1092), p-EGFR (Tyr1092), EGFR (p-Y1092), EGFR (p-Tyr1092)

Anti-Phospho-EGFR (Tyr1092) Antibody (6T663) 是一种 Rabbit 抗体,靶向 Phospho-EGFR (Tyr1092)。Anti-Phospho-EGFR (Tyr1092) Antibody (6T663) 可用于 WB,ICC/IF,IHC。

Anti-Phospho-EGFR (Tyr1092) Antibody (6T663)

Anti-Phospho-EGFR (Tyr1092) Antibody (6T663)

一键复制产品信息
Rating icon 还可以
产品编号 TMAC-03209 别名 p-EGFR (Y1092), p-EGFR (Tyr1092), EGFR (p-Y1092), EGFR (p-Tyr1092)

Anti-Phospho-EGFR (Tyr1092) Antibody (6T663) 是一种 Rabbit 抗体,靶向 Phospho-EGFR (Tyr1092)。Anti-Phospho-EGFR (Tyr1092) Antibody (6T663) 可用于 WB,ICC/IF,IHC。

规格价格库存数量
50 μL
¥ 1,480
5日内发货
100 μL
¥ 2,480
5日内发货
大包装 & 定制
加入购物车
TargetMol 的所有产品仅用作科学研究或药证申报,不能被用于人体,我们不向个人提供产品和服务。请您遵守承诺用途,不得违反法律法规规定用于任何其他用途。
实验操作小课堂
常见问题解答
查看更多
联系我们获取更多批次信息
资源下载

产品介绍

生物活性
产品描述
Anti-Phospho-EGFR (Tyr1092) Antibody (6T663) is a Rabbit antibody targeting Phospho-EGFR (Tyr1092). Anti-Phospho-EGFR (Tyr1092) Antibody (6T663) can be used in ICC/IF,IHC,WB.
别名p-EGFR (Y1092), p-EGFR (Tyr1092), EGFR (p-Y1092), EGFR (p-Tyr1092)
Ig Type
IgG
克隆号
6T663
交叉反应
Human,Mouse
验证活性
1. Western blot analysis of Phospho-EGFR (Y1092) on different lysates using anti-Phospho-EGFR (Y1092) antibody at 1/1,000 dilution. Positive control: Lane 1: A431 treated with EGF, Lane 2: Untreated A431.
2. Immunohistochemical analysis of paraffin-embedded human tonsil tissue using anti-Phospho-EGFR (Y1092) antibody. Counter stained with hematoxylin.
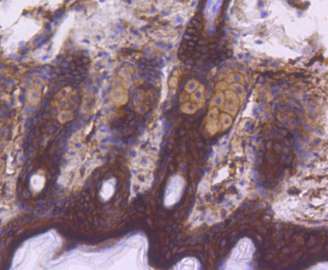
3. Immunohistochemical analysis of paraffin-embedded mouse skin tissue using anti-Phospho-EGFR (Y1092) antibody. Counter stained with hematoxylin.
4. ICC staining Phospho-EGFR (Y1092) in BT-20 cells (green). The nuclear counter stain is DAPI (blue). Cells were fixed in paraformaldehyde, permeabilised with 0.25% Triton X100/PBS.
verifiedActivityverifiedActivityverifiedActivityverifiedActivity
应用ICC/IFIHCWB
推荐剂量
WB: 1:1000-2000; IHC: 1:50-200; ICC/IF: 1:50-200
抗体种类
Monoclonal
宿主来源Rabbit
构建方式Recombinant Antibody
纯化方式ProA affinity purified
性状Liquid
缓冲液1*TBS (pH7.4), 1%BSA, 40%Glycerol. Preservative: 0.05% Sodium Azide.
研究背景Epidermal growth factor mediates its effects on cell growth through its inter-action with a cell surface glycoprotein designated the EGF receptor. Binding of EGF or TGF alpha to the EGF receptor activates tyrosine-specific protein kinase activity intrinsic to the EGF receptor. The carboxy terminal tyrosine residues on EGFR, Tyr 1068 and Tyr 1173, are the major sites of autophosphorylation, which occurs as a result of EGF binding. Once activated, EGFR mediates the binding of the phosphotyrosine binding (PTB) domain of GRB2 through direct interactions with Tyr 1068 and Tyr 1086 and through indirect interactions with Tyr 1173 in the Ras signaling pathway. Tyr 1173 of EGFR also functions as a kinase substrate. Phosphorylation of Tyr 992, Tyr 1068 and Tyr 1086 is required for conformational change in the C-terminal tail of the EGF receptor.
偶联与修饰
偶联
Unconjugated
其他可选修饰符
Phospho
抗原信息
免疫原
A synthesized phosphopeptide: human EGFR around the phosphorylation site of Tyr1092
抗原种属
human
Uniprot ID
化学信息
分子量Theoretical: 170 kDa.
存储&运输
储存方式Store at -20°C or -80°C for 12 months. Avoid repeated freeze-thaw cycles.
运输方式Shipping with blue ice.

计算器

  • 稀释 计算器

关键词

评论列表

4个月前
5.0
Rating icon 很棒

评论内容

Related Tags: buy Anti-Phospho-EGFR (Tyr1092) Antibody (6T663) | purchase Anti-Phospho-EGFR (Tyr1092) Antibody (6T663) | Anti-Phospho-EGFR (Tyr1092) Antibody (6T663) cost | order Anti-Phospho-EGFR (Tyr1092) Antibody (6T663) | Anti-Phospho-EGFR (Tyr1092) Antibody (6T663) molecular weight