购物车
  • TargetMol
    您的购物车当前为空

Anti-Phospho-DNM1L (Ser637) Polyclonal Antibody

Synonyms: p-DNM1L (Ser637), p-DNM1L (S637), DNM1L (p-Ser637), DNM1L (p-S637)
货号 TMAC-01187 一键复制产品信息
Rating icon 还可以

Anti-Phospho-DNM1L (Ser637) Polyclonal Antibody 是一种 Rabbit 抗体,靶向 Phospho-DNM1L (Ser637)。Anti-Phospho-DNM1L (Ser637) Polyclonal Antibody 可用于 ELISA,IF,IHC,WB。

Anti-Phospho-DNM1L (Ser637) Polyclonal Antibody

一键复制产品信息
Rating icon 还可以
货号 TMAC-01187

别名 p-DNM1L (Ser637), p-DNM1L (S637), DNM1L (p-Ser637), DNM1L (p-S637)

Anti-Phospho-DNM1L (Ser637) Polyclonal Antibody 是一种 Rabbit 抗体,靶向 Phospho-DNM1L (Ser637)。Anti-Phospho-DNM1L (Ser637) Polyclonal Antibody 可用于 ELISA,IF,IHC,WB。

Anti-Phospho-DNM1L (Ser637) Polyclonal Antibody
规格价格库存数量
50 μL
¥ 1,480
5日内发货
100 μL
¥ 2,245
5日内发货
库存状态实时更新,以官网显示为准,现货产品可直接加购物车下单
大包装 & 定制
加入购物车

TargetMol的所有产品仅用作科学研究或药证申报,不能被用于人体,我们不向个人提供产品和服务。请您遵守承诺用途,不得违反法律法规规定用于任何其他用途。

实验操作小课堂
常见问题解答
查看更多

资源下载:产品操作手册

产品介绍


生物活性
产品描述
Anti-Phospho-DNM1L (Ser637) Polyclonal Antibody is a Rabbit antibody targeting Phospho-DNM1L (Ser637). Anti-Phospho-DNM1L (Ser637) Polyclonal Antibody can be used in ELISA,IF,IHC,WB.
别名
p-DNM1L (Ser637), p-DNM1L (S637), DNM1L (p-Ser637), DNM1L (p-S637)
Ig Type
IgG
反应种属
Human,Rat,Mouse
验证活性
1. Western Blot analysis of JK cells using Phospho-DRP1 (S637) Polyclonal Antibody.
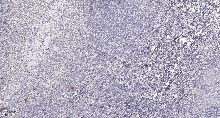
2. Immunohistochemical analysis of paraffin-embedded human tonsil. 1, Antibody was diluted at 1:200 (4°C overnight). 2, Tris-EDTA,pH9.0 was used for antigen retrieval. 3,Secondary antibody was diluted at 1:200 (room temperature, 30min).
3. Immunofluorescence analysis of A549. 1,primary Antibody (red) was diluted at 1:200 (4°C overnight). 2, Goat Anti Rabbit IgG-Alexa Fluor 594 Secondary antibody was diluted at 1:1000 (room temperature, 50min). 3, Picture B: DAPI (blue) 10min.
verifiedActivityverifiedActivityverifiedActivity
应用ELISAIFIHCWB
推荐剂量
WB: 1:500-2000; IHC: 1:100-300; IF: 1:100-300; ELISA: 1:20000
抗体种类
Polyclonal
宿主来源Rabbit
构建方式Polyclonal Antibody
纯化方式The antibody was affinity-purified from rabbit antiserum by affinity-chromatography using epitope-specific immunogen.
性状Liquid
缓冲液Liquid in PBS containing 50% glycerol, 0.5% BSA and 0.02% sodium azide.
研究背景Functions in mitochondrial and peroxisomal division. Mediates membrane fission through oligomerization into membrane-associated tubular structures that wrap around the scission site to constrict and sever the mitochondrial membrane through a GTP hydrolysis-dependent mechanism. Through its function in mitochondrial division, ensures the survival of at least some types of postmitotic neurons, including Purkinje cells, by suppressing oxidative damage. Required for normal brain development, including that of cerebellum. Facilitates developmentally regulated apoptosis during neural tube formation.
偶联与修饰
偶联
Unconjugated
其他可选修饰符
Phospho
抗原信息
免疫原
A synthesized phosphopeptide: human DRP1 around the phosphorylation site of Ser637
抗原种属
human
Uniprot ID
化学信息
分子量Actual: 82 kDa.
储存&溶解度
储存方式Store at -20°C or -80°C for 12 months. Avoid repeated freeze-thaw cycles.
运输方式Shipping with blue ice.

计算器

  • 稀释 计算器
  • 配液 计算器
Related Tags: buy Anti-Phospho-DNM1L (Ser637) Polyclonal Antibody | purchase Anti-Phospho-DNM1L (Ser637) Polyclonal Antibody | Anti-Phospho-DNM1L (Ser637) Polyclonal Antibody cost | order Anti-Phospho-DNM1L (Ser637) Polyclonal Antibody | Anti-Phospho-DNM1L (Ser637) Polyclonal Antibody molecular weight