购物车
  • 全部删除
  • TargetMol
    您的购物车当前为空

Anti-Phospho-DDR1 (Tyr513) Polyclonal Antibody

一键复制产品信息
Rating icon 还可以
产品编号 TMAC-01129
别名 p-DDR1 (Y513), p-DDR1 (Tyr513), DDR1 (p-Y513), DDR1 (p-Tyr513)

Anti-Phospho-DDR1 (Tyr513) Polyclonal Antibody 是一种 Rabbit 抗体,靶向 Phospho-DDR1 (Tyr513)。Anti-Phospho-DDR1 (Tyr513) Polyclonal Antibody 可用于 IHC,WB。

Anti-Phospho-DDR1 (Tyr513) Polyclonal Antibody

Anti-Phospho-DDR1 (Tyr513) Polyclonal Antibody

一键复制产品信息
Rating icon 还可以
产品编号 TMAC-01129 别名 p-DDR1 (Y513), p-DDR1 (Tyr513), DDR1 (p-Y513), DDR1 (p-Tyr513)

Anti-Phospho-DDR1 (Tyr513) Polyclonal Antibody 是一种 Rabbit 抗体,靶向 Phospho-DDR1 (Tyr513)。Anti-Phospho-DDR1 (Tyr513) Polyclonal Antibody 可用于 IHC,WB。

规格价格库存数量
50 μL
¥ 1,480
5日内发货
100 μL
¥ 2,480
5日内发货
大包装 & 定制
加入购物车
TargetMol 的所有产品仅用作科学研究或药证申报,不能被用于人体,我们不向个人提供产品和服务。请您遵守承诺用途,不得违反法律法规规定用于任何其他用途。
实验操作小课堂
常见问题解答
查看更多
联系我们获取更多批次信息
资源下载

产品介绍

生物活性
产品描述
Anti-Phospho-DDR1 (Tyr513) Polyclonal Antibody is a Rabbit antibody targeting Phospho-DDR1 (Tyr513). Anti-Phospho-DDR1 (Tyr513) Polyclonal Antibody can be used in IHC,WB.
别名p-DDR1 (Y513), p-DDR1 (Tyr513), DDR1 (p-Y513), DDR1 (p-Tyr513)
Ig Type
IgG
交叉反应
Human
验证活性
1. Western blot analysis of extracts from JK cells (Lane 2), using DDR1 (Phospho-Tyr513) Antibody TMAC-01129. The lane on the left is treated with antigen-specific peptide.
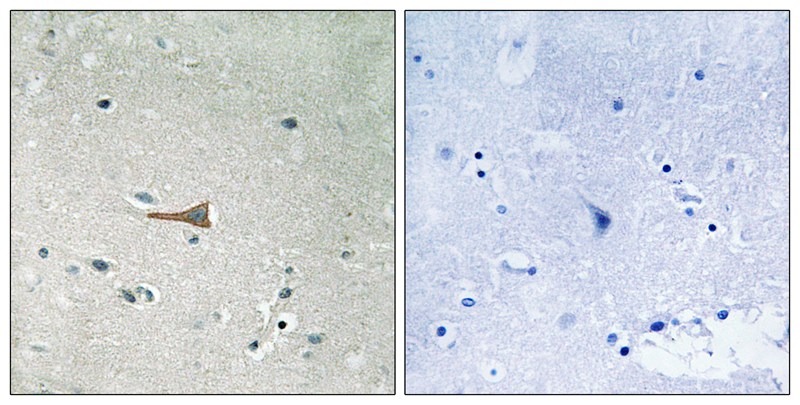
2. Immunohistochemical analysis of paraffin-embedded human brain tissue using DDR1 (Phospho-Tyr513) antibody TMAC-01129 (left) or the same antibody preincubated with blocking peptide (right).
verifiedActivityverifiedActivity
应用IHCWB
推荐剂量
WB: 1:500-1000; IHC: 1:50-100
抗体种类
Polyclonal
宿主来源Rabbit
构建方式Polyclonal Antibody
纯化方式Antibodies were produced by immunizing rabbits with synthetic phosphopeptide and KLH conjugates. Antibodies were purified by affinity-chromatography using epitope-specific phosphopeptide. Non-phospho specific antibodies were removed by chromatogramphy using non-phosphopeptide.
性状Liquid
缓冲液Rabbit IgG in phosphate buffered saline (without Mg2+ and Ca2+), pH 7.4, 150mM NaCl, 0.02% sodium azide and 50% glycerol.
研究背景Receptor tyrosine kinases (RTKs) play a key role in the communication of cells with their microenvironment. These molecules are involved in the regulation of cell growth, differentiation and metabolism. The protein encoded by this gene is a RTK that is widely expressed in normal and transformed epithelial cells and is activated by various types of collagen. This protein belongs to a subfamily of tyrosine kinase receptors with a homology region to the Dictyostelium discoideum protein discoidin I in their extracellular domain. Its autophosphorylation is achieved by all collagens so far tested (type I to type VI).
偶联与修饰
偶联
Unconjugated
其他可选修饰符
Phospho
抗原信息
免疫原
Peptide sequence around phosphorylation site of tyrosine 513 (K-K-Y(p)-V-R) derived from Human DDR1
抗原种属
human
Uniprot ID
化学信息
分子量Actual: 110 kDa.
存储&运输
储存方式Store at -20°C or -80°C for 12 months. Avoid repeated freeze-thaw cycles.
运输方式Shipping with blue ice.

计算器

  • 稀释 计算器

关键词

评论列表

4个月前
5.0
Rating icon 很棒

评论内容

Related Tags: buy Anti-Phospho-DDR1 (Tyr513) Polyclonal Antibody | purchase Anti-Phospho-DDR1 (Tyr513) Polyclonal Antibody | Anti-Phospho-DDR1 (Tyr513) Polyclonal Antibody cost | order Anti-Phospho-DDR1 (Tyr513) Polyclonal Antibody | Anti-Phospho-DDR1 (Tyr513) Polyclonal Antibody molecular weight