购物车
  • 全部删除
  • TargetMol
    您的购物车当前为空

Anti-Phospho-CTNNB1 (Ser715) Polyclonal Antibody

一键复制产品信息
Rating icon 还可以
产品编号 TMAC-00428
别名 p-CTNNB1 (Ser715), p-CTNNB1 (S715), CTNNB1 (p-Ser715), CTNNB1 (p-S715)

Anti-Phospho-CTNNB1 (Ser715) Polyclonal Antibody 是一种 Rabbit 抗体,靶向 Phospho-CTNNB1 (Ser715)。Anti-Phospho-CTNNB1 (Ser715) Polyclonal Antibody 可用于 IHC,WB。

Anti-Phospho-CTNNB1 (Ser715) Polyclonal Antibody

Anti-Phospho-CTNNB1 (Ser715) Polyclonal Antibody

一键复制产品信息
Rating icon 还可以
产品编号 TMAC-00428 别名 p-CTNNB1 (Ser715), p-CTNNB1 (S715), CTNNB1 (p-Ser715), CTNNB1 (p-S715)

Anti-Phospho-CTNNB1 (Ser715) Polyclonal Antibody 是一种 Rabbit 抗体,靶向 Phospho-CTNNB1 (Ser715)。Anti-Phospho-CTNNB1 (Ser715) Polyclonal Antibody 可用于 IHC,WB。

规格价格库存数量
50 μL
¥ 1,495
5日内发货
100 μL
¥ 2,235
5日内发货
大包装 & 定制
加入购物车
TargetMol 的所有产品仅用作科学研究或药证申报,不能被用于人体,我们不向个人提供产品和服务。请您遵守承诺用途,不得违反法律法规规定用于任何其他用途。
实验操作小课堂
常见问题解答
查看更多
联系我们获取更多批次信息
资源下载

产品介绍

生物活性
产品描述
Anti-Phospho-CTNNB1 (Ser715) Polyclonal Antibody is a Rabbit antibody targeting Phospho-CTNNB1 (Ser715). Anti-Phospho-CTNNB1 (Ser715) Polyclonal Antibody can be used in IHC,WB.
别名p-CTNNB1 (Ser715), p-CTNNB1 (S715), CTNNB1 (p-Ser715), CTNNB1 (p-S715)
Ig Type
IgG
交叉反应
Human,Mouse,Rat
验证活性
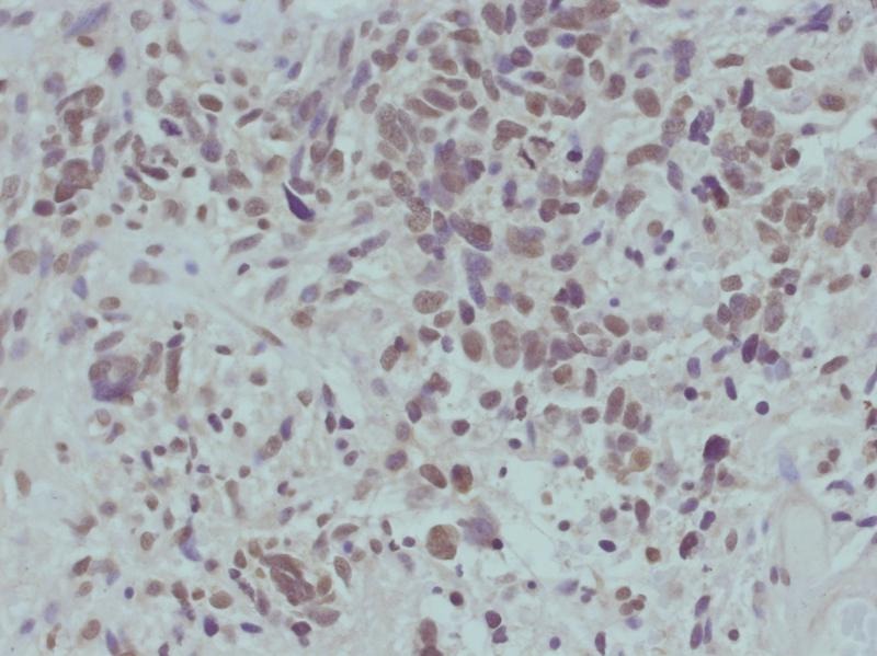
1. Immunohistochemical analysis of paraffin-embedded human primary glioblastoma multiforme (GBM) specimens using beta-catenin (Phospho-Ser715) Antibody TMAC-00428.
2. Western blot analysis of extract from U87 cells transfected with either PKCd siRNA targeting or control siRNA were treated with Wnt3a (100 ng ml 1) for 8 h. WB was performed with nuclearlysates of the cells with the beta-catenin (Phospho-Ser715) Antibody TMAC-00428.
verifiedActivityverifiedActivity
应用IHCWB
推荐剂量
WB: 1:500-1000; IHC: 1:50-100
抗体种类
Polyclonal
宿主来源Rabbit
构建方式Polyclonal Antibody
纯化方式Antibodies were produced by immunizing rabbits with synthetic phosphopeptide and KLH conjugates. Antibodies were purified by affinity-chromatography using epitope-specific phosphopeptide. Non-phospho specific antibodies were removed by chromatogramphy using non-phosphopeptide.
性状Liquid
缓冲液Supplied at 1.0mg/mL in phosphate buffered saline (without Mg2+ and Ca2+), pH 7.4, 150mM NaCl, 0.02% sodium azide and 50% glycerol.
研究背景Key downstream component of the canonical Wnt signaling pathway. In the absence of Wnt, forms a complex with AXIN1, AXIN2, APC, CSNK1A1 and GSK3B that promotes phosphorylation on N-terminal Ser and Thr residues and ubiquitination of CTNNB1 via BTRC and its subsequent degradation by the proteasome. In the presence of Wnt ligand, CTNNB1 is not ubiquitinated and accumulates in the nucleus, where it acts as a coactivator for transcription factors of the TCF/LEF family, leading to activate Wnt responsive genes. Involved in the regulation of cell adhesion. Acts as a negative regulator of centrosome cohesion. Involved in the CDK2/PTPN6/CTNNB1/CEACAM1 pathway of insulin internalization. Blocks anoikis of malignant kidney and intestinal epithelial cells and promotes their anchorage-independent growth by down-regulating DAPK2. Disrupts PML function and PML-NB formation by inhibiting RANBP2-mediated sumoylation of PML
偶联与修饰
偶联
Unconjugated
其他可选修饰符
Phospho
抗原信息
免疫原
Peptide sequence around phosphorylation site of serine 715 (D-P-S(p)-Y-R) derived from Human beta-catenin
抗原种属
human
Uniprot ID
化学信息
分子量Actual: 92 kDa.
存储&运输
储存方式Store at -20°C or -80°C for 12 months. Avoid repeated freeze-thaw cycles.
运输方式Shipping with blue ice.

计算器

  • 稀释 计算器

关键词

评论列表

4个月前
5.0
Rating icon 很棒

评论内容

Related Tags: buy Anti-Phospho-CTNNB1 (Ser715) Polyclonal Antibody | purchase Anti-Phospho-CTNNB1 (Ser715) Polyclonal Antibody | Anti-Phospho-CTNNB1 (Ser715) Polyclonal Antibody cost | order Anti-Phospho-CTNNB1 (Ser715) Polyclonal Antibody | Anti-Phospho-CTNNB1 (Ser715) Polyclonal Antibody molecular weight