购物车
  • 全部删除
  • TargetMol
    您的购物车当前为空

Anti-Phospho-CtBP1 (Ser422) Polyclonal Antibody

一键复制产品信息
Rating icon 还可以
产品编号 TMAC-01005
别名 p-CtBP1 (Ser422), p-CtBP1 (S422), CtBP1 (p-Ser422), CtBP1 (p-S422)

Anti-Phospho-CtBP1 (Ser422) Polyclonal Antibody 是一种 Rabbit 抗体,靶向 Phospho-CtBP1 (Ser422)。Anti-Phospho-CtBP1 (Ser422) Polyclonal Antibody 可用于 IHC,WB。

Anti-Phospho-CtBP1 (Ser422) Polyclonal Antibody

Anti-Phospho-CtBP1 (Ser422) Polyclonal Antibody

一键复制产品信息
Rating icon 还可以
产品编号 TMAC-01005 别名 p-CtBP1 (Ser422), p-CtBP1 (S422), CtBP1 (p-Ser422), CtBP1 (p-S422)

Anti-Phospho-CtBP1 (Ser422) Polyclonal Antibody 是一种 Rabbit 抗体,靶向 Phospho-CtBP1 (Ser422)。Anti-Phospho-CtBP1 (Ser422) Polyclonal Antibody 可用于 IHC,WB。

规格价格库存数量
50 μL
¥ 1,495
5日内发货
100 μL
¥ 2,240
5日内发货
大包装 & 定制
加入购物车
TargetMol 的所有产品仅用作科学研究或药证申报,不能被用于人体,我们不向个人提供产品和服务。请您遵守承诺用途,不得违反法律法规规定用于任何其他用途。
实验操作小课堂
常见问题解答
查看更多
联系我们获取更多批次信息
资源下载

产品介绍

生物活性
产品描述
Anti-Phospho-CtBP1 (Ser422) Polyclonal Antibody is a Rabbit antibody targeting Phospho-CtBP1 (Ser422). Anti-Phospho-CtBP1 (Ser422) Polyclonal Antibody can be used in IHC,WB.
别名p-CtBP1 (Ser422), p-CtBP1 (S422), CtBP1 (p-Ser422), CtBP1 (p-S422)
Ig Type
IgG
交叉反应
Human,Mouse,Rat
验证活性
1. Western blot analysis of extracts from Jurkat cells treated with TNF using CtBP1 (Phospho-Ser422) Antibody TMAC-01005. The lane on the right is treated with the antigen-specific peptide.
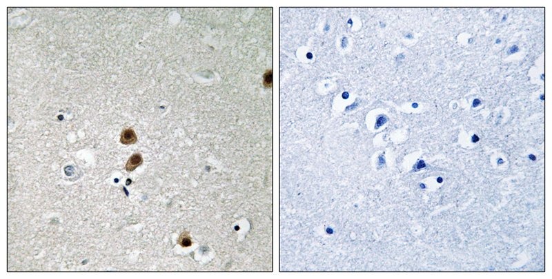
2. Immunohistochemical analysis of paraffin-embedded human brain tissue, using CtBP1 (Phospho-Ser422) antibody TMAC-01005 (left) or the same antibody preincubated with blocking peptide (right).
verifiedActivityverifiedActivity
应用IHCWB
推荐剂量
WB: 1:500-1000; IHC: 1:50-100
抗体种类
Polyclonal
宿主来源Rabbit
构建方式Polyclonal Antibody
纯化方式Antibodies were produced by immunizing rabbits with synthetic phosphopeptide and KLH conjugates. Antibodies were purified by affinity-chromatography using epitope-specific phosphopeptide. Non-phospho specific antibodies were removed by chromatogramphy using non-phosphopeptide.
性状Liquid
缓冲液Rabbit IgG in phosphate buffered saline (without Mg2+ and Ca2+), pH 7.4, 150mM NaCl, 0.02% sodium azide and 50% glycerol.
研究背景This gene encodes a protein that binds to the C-terminus of adenovirus E1A proteins. This phosphoprotein is a transcriptional repressor and may play a role during cellular proliferation. This protein and the product of a second closely related gene, CTBP2, can dimerize. Both proteins can also interact with a polycomb group protein complex which participates in regulation of gene expression during development. Alternative splicing of transcripts from this gene results in multiple transcript variants.
偶联与修饰
偶联
Unconjugated
其他可选修饰符
Phospho
抗原信息
免疫原
Peptide sequence around phosphorylation site of Serine 422(A-P-S(p)-P-G) derived from Human CtBP1
抗原种属
human
Uniprot ID
化学信息
分子量Actual: 48 kDa.
存储&运输
储存方式Store at -20°C or -80°C for 12 months. Avoid repeated freeze-thaw cycles.
运输方式Shipping with blue ice.

计算器

  • 稀释 计算器

关键词

评论列表

4个月前
5.0
Rating icon 很棒

评论内容

Related Tags: buy Anti-Phospho-CtBP1 (Ser422) Polyclonal Antibody | purchase Anti-Phospho-CtBP1 (Ser422) Polyclonal Antibody | Anti-Phospho-CtBP1 (Ser422) Polyclonal Antibody cost | order Anti-Phospho-CtBP1 (Ser422) Polyclonal Antibody | Anti-Phospho-CtBP1 (Ser422) Polyclonal Antibody molecular weight