购物车
  • 全部删除
  • TargetMol
    您的购物车当前为空

Anti-Phospho-CDC42 (Ser71) Antibody (7R21)

一键复制产品信息
Rating icon 还可以
产品编号 TMAC-03256
别名 p-CDC42 (Ser71), p-CDC42 (S71), CDC42 (p-Ser71), CDC42 (p-S71)

Anti-Phospho-CDC42 (Ser71) Antibody (7R21) 是一种 Rabbit 抗体,靶向 Phospho-CDC42 (Ser71)。Anti-Phospho-CDC42 (Ser71) Antibody (7R21) 可用于 ICC/IF,IHC,WB。

Anti-Phospho-CDC42 (Ser71) Antibody (7R21)

Anti-Phospho-CDC42 (Ser71) Antibody (7R21)

一键复制产品信息
Rating icon 还可以
产品编号 TMAC-03256 别名 p-CDC42 (Ser71), p-CDC42 (S71), CDC42 (p-Ser71), CDC42 (p-S71)

Anti-Phospho-CDC42 (Ser71) Antibody (7R21) 是一种 Rabbit 抗体,靶向 Phospho-CDC42 (Ser71)。Anti-Phospho-CDC42 (Ser71) Antibody (7R21) 可用于 ICC/IF,IHC,WB。

规格价格库存数量
50 μL
¥ 1,490
5日内发货
100 μL
¥ 2,495
5日内发货
大包装 & 定制
加入购物车
TargetMol 的所有产品仅用作科学研究或药证申报,不能被用于人体,我们不向个人提供产品和服务。请您遵守承诺用途,不得违反法律法规规定用于任何其他用途。
实验操作小课堂
常见问题解答
查看更多
联系我们获取更多批次信息
资源下载

产品介绍

生物活性
产品描述
Anti-Phospho-CDC42 (Ser71) Antibody (7R21) is a Rabbit antibody targeting Phospho-CDC42 (Ser71). Anti-Phospho-CDC42 (Ser71) Antibody (7R21) can be used in ICC/IF,IHC,WB.
别名p-CDC42 (Ser71), p-CDC42 (S71), CDC42 (p-Ser71), CDC42 (p-S71)
Ig Type
IgG
克隆号
7R21
交叉反应
Human
验证活性
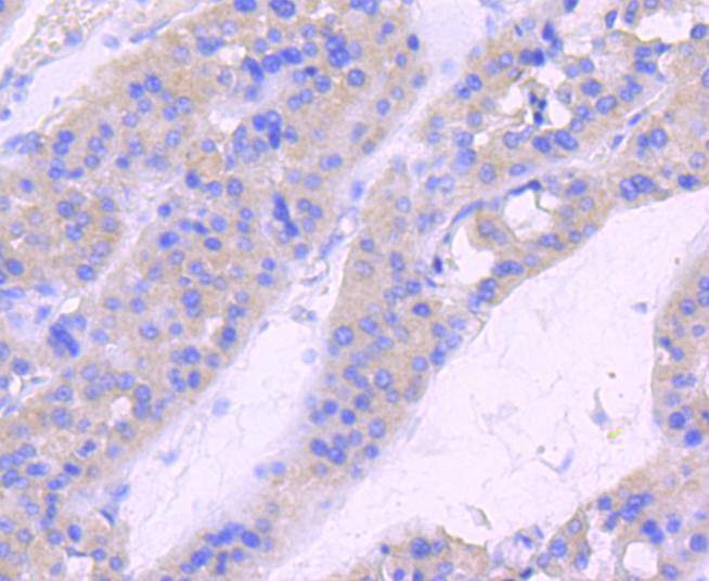
1. Immunohistochemical analysis of paraffin-embedded human lung cancer tissue using anti-Phospho-Rac1+Cdc42 (Ser71) antibody. Counter stained with hematoxylin.
2. Immunohistochemical analysis of paraffin-embedded human liver cancer tissue using anti-Phospho-Rac1+Cdc42 (Ser71) antibody. Counter stained with hematoxylin.
3. ICC staining Phospho-Rac1+Cdc42 (Ser71) in A431 cells (green). The nuclear counter stain is DAPI (blue). Cells were fixed in paraformaldehyde, permeabilised with 0.25% Triton X100/PBS.
4. ICC staining Phospho-Rac1+Cdc42 (Ser71) in Hela cells (green). The nuclear counter stain is DAPI (blue). Cells were fixed in paraformaldehyde, permeabilised with 0.25% Triton X100/PBS.
verifiedActivityverifiedActivityverifiedActivityverifiedActivity
应用ICC/IFIHCWB
推荐剂量
WB: 1:500-1000; IHC: 1:50-200; ICC/IF: 1:50-200
抗体种类
Monoclonal
宿主来源Rabbit
构建方式Recombinant Antibody
纯化方式ProA affinity purified
性状Liquid
缓冲液1*TBS (pH7.4), 1%BSA, 40%Glycerol. Preservative: 0.05% Sodium Azide.
研究背景A large number of low molecular weight GTP-binding proteins of the Ras superfamily have been identified in eukaryotic cells; they regulate many fundamental processes such as cell growth, vesicle traffic and cytoskeletal organization. GTPase-activating proteins accelerate the intrinsic rate of GTP hydrolysis of Ras-related proteins, resulting in downregulation of their active form. Rac 1 is activated in a type I interferon (IFN) dependent manner; its function is required for downstream engagement of the p38 MAP kinase pathway. The p38 MAP kinase plays an essential role in IFN-dependent transcriptional regulation. The serine/threonine kinase Akt, of the phospho-inositide 3-kinase signal transduction pathway phosphorylates serine 71 of Rac 1. The superfamily of GTP-binding proteins, for which the Ras proteins are prototypes, has been implicated in regulation of diverse biological activities involving various aspects of cell growth and division.One mammalian member of the family, Cdc42, has an amino acid sequence that is similar to those of various members of the Ras superfamily proteins, including N-, K- and H-Ras, Rho proteins and the Rac proteins. On the basis of in vitro phosphorylation studies, it has been suggested that human Cdc42 may function in the signaling pathway of the EGF receptor or related growth factor receptor protein kinases. The Dbl oncogene has been shown to specifically catalyze dissociation of GDP from human Cdc42.
偶联与修饰
偶联
Unconjugated
其他可选修饰符
Phospho
抗原信息
免疫原
A synthesized phosphopeptide: human CDC42 around the phosphorylation site of Ser71
抗原种属
human
Uniprot ID
化学信息
分子量Theoretical: 23/21 kDa.
存储&运输
储存方式Store at -20°C or -80°C for 12 months. Avoid repeated freeze-thaw cycles.
运输方式Shipping with blue ice.

计算器

  • 稀释 计算器

关键词

评论列表

4个月前
5.0
Rating icon 很棒

评论内容

Related Tags: buy Anti-Phospho-CDC42 (Ser71) Antibody (7R21) | purchase Anti-Phospho-CDC42 (Ser71) Antibody (7R21) | Anti-Phospho-CDC42 (Ser71) Antibody (7R21) cost | order Anti-Phospho-CDC42 (Ser71) Antibody (7R21) | Anti-Phospho-CDC42 (Ser71) Antibody (7R21) molecular weight