购物车
  • TargetMol
    您的购物车当前为空

Anti-Phospho-ATM (Ser1981) Antibody (4B419)

Synonyms: p-ATM (Ser1981), p-ATM (S1981), ATM (p-Ser1981), ATM (p-S1981)
货号 TMAC-00328 一键复制产品信息
Rating icon 还可以

Anti-Phospho-ATM (Ser1981) Antibody (4B419) 是一种 Rabbit 抗体,靶向 Phospho-ATM (Ser1981)。Anti-Phospho-ATM (Ser1981) Antibody (4B419) 可用于 WB,ICC/IF,IHC,IP。

Anti-Phospho-ATM (Ser1981) Antibody (4B419)

一键复制产品信息
Rating icon 还可以
货号 TMAC-00328

别名 p-ATM (Ser1981), p-ATM (S1981), ATM (p-Ser1981), ATM (p-S1981)

Anti-Phospho-ATM (Ser1981) Antibody (4B419) 是一种 Rabbit 抗体,靶向 Phospho-ATM (Ser1981)。Anti-Phospho-ATM (Ser1981) Antibody (4B419) 可用于 WB,ICC/IF,IHC,IP。

Anti-Phospho-ATM (Ser1981) Antibody (4B419)
规格价格库存数量
50 μL
¥ 1,480
5日内发货
100 μL
¥ 2,495
5日内发货
库存状态实时更新,以官网显示为准,现货产品可直接加购物车下单
大包装 & 定制
加入购物车

TargetMol的所有产品仅用作科学研究或药证申报,不能被用于人体,我们不向个人提供产品和服务。请您遵守承诺用途,不得违反法律法规规定用于任何其他用途。

实验操作小课堂
常见问题解答
查看更多

资源下载:产品操作手册

产品介绍


生物活性
产品描述
Anti-Phospho-ATM (Ser1981) Antibody (4B419) is a Rabbit antibody targeting Phospho-ATM (Ser1981). Anti-Phospho-ATM (Ser1981) Antibody (4B419) can be used in ICC/IF,IHC,IP,WB.
别名
p-ATM (Ser1981), p-ATM (S1981), ATM (p-Ser1981), ATM (p-S1981)
Ig Type
IgG
克隆号
4B419
反应种属
Human,Mouse
验证活性
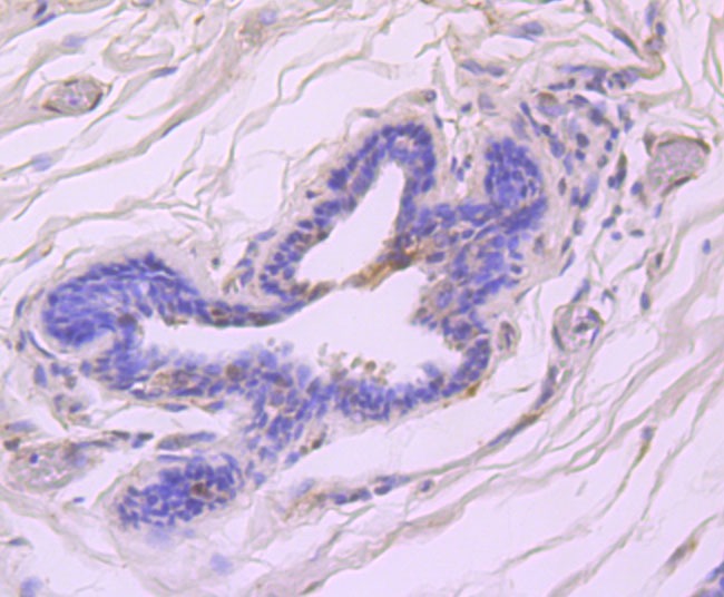
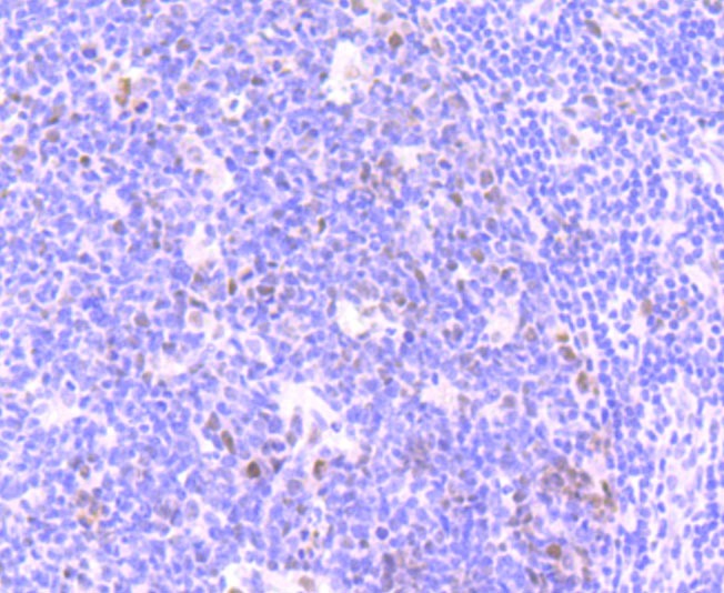
1. Immunohistochemical analysis of paraffin-embedded human tonsil tissue using anti-ATM (phospho S1981) antibody. Counter stained with hematoxylin.
2. Immunohistochemical analysis of paraffin-embedded human breast cancer tissue using anti-ATM (phospho S1981) antibody. Counter stained with hematoxylin.
3. ICC staining ATM (phospho S1981) in Hela cells (green). The nuclear counter stain is DAPI (blue). Cells were fixed in paraformaldehyde, permeabilised with 0.25% Triton X100/PBS.
4. ICC staining ATM (phospho S1981) in HepG2 cells (green). The nuclear counter stain is DAPI (blue). Cells were fixed in paraformaldehyde, permeabilised with 0.25% Triton X100/PBS.
5. ICC staining ATM (phospho S1981) in SH-SY5Y cells (green). The nuclear counter stain is DAPI (blue). Cells were fixed in paraformaldehyde, permeabilised with 0.25% Triton X100/PBS.
verifiedActivityverifiedActivityverifiedActivityverifiedActivityverifiedActivity
应用ICC/IFIHCIPWB
推荐剂量
WB: 1:500-1000; IHC: 1:50-100; ICC/IF: 1:50-200
抗体种类
Monoclonal
宿主来源Rabbit
构建方式Recombinant Antibody
纯化方式ProA affinity purified
性状Liquid
缓冲液1*TBS (pH7.4), 1%BSA, 40%Glycerol. Preservative: 0.05% Sodium Azide.
研究背景Serine / threonine protein kinase which activates checkpoint signaling upon double strand breaks (DSBs), apoptosis and genotoxic stresses such as ionizing ultraviolet A light (UVA), thus acting as a DNA damage sensor. Recognizes the substrate consensus sequence [ST] -Q. Phosphorylates 'Ser-139' of histone variant H2AX / H2AFX at double strand breaks (DSBs), recover equilibrium DNA damage response mechanism. Also plays a role in pre-B cell allelic exclusion, a process leading to expression of a single immunoglobulin heavy chain Allele to enforce clonality and monospecific recognition by the B-cell antigen receptor (BCR) expressed on individual B lymphocytes. After the introduction of DNA breaks by the RAG complex on one immunoglobulin allele, acts by mediating a repositioning of the second allele to pericentromeric heterochromatin , Soaccessability to the RAG complex and recombination of the second allele. Also involved in signal transduction and cell cycle control. May function as A genre of activation of ABL1 and SAPK. May play a role in vesicle and / or protein transport. Could play A role in T-cell development, gonad and neurological function. Plays a role in replication-dependent histone mRNA degradation. Binds DNA ends.
偶联与修饰
偶联
Unconjugated
其他可选修饰符
Phospho
抗原信息
免疫原
Synthetic phospho-peptide corresponding to residues surrounding Ser1981 of human ATM
抗原种属
human
Uniprot ID
化学信息
分子量Theoretical: 351 kDa.
储存&溶解度
储存方式Store at -20°C or -80°C for 12 months. Avoid repeated freeze-thaw cycles.
运输方式Shipping with blue ice.

计算器

  • 稀释 计算器
  • 配液 计算器
Related Tags: buy Anti-Phospho-ATM (Ser1981) Antibody (4B419) | purchase Anti-Phospho-ATM (Ser1981) Antibody (4B419) | Anti-Phospho-ATM (Ser1981) Antibody (4B419) cost | order Anti-Phospho-ATM (Ser1981) Antibody (4B419) | Anti-Phospho-ATM (Ser1981) Antibody (4B419) molecular weight