购物车
  • 全部删除
  • TargetMol
    您的购物车当前为空

Anti-Phospho-ATF2 (Thr69 or 51) Polyclonal Antibody

一键复制产品信息
Rating icon 还可以
产品编号 TMAC-00309
别名 p-ATF2 (Thr69 or 51), p-ATF2 (T69 or 51), ATF2 (p-Thr69 or 51), ATF2 (p-T69 or 51)

Anti-Phospho-ATF2 (Thr69 or 51) Polyclonal Antibody 是一种 Rabbit 抗体,靶向 Phospho-ATF2 (Thr69 or 51)。Anti-Phospho-ATF2 (Thr69 or 51) Polyclonal Antibody 可用于 IF,IHC,WB。

Anti-Phospho-ATF2 (Thr69 or 51) Polyclonal Antibody

Anti-Phospho-ATF2 (Thr69 or 51) Polyclonal Antibody

一键复制产品信息
Rating icon 还可以
产品编号 TMAC-00309 别名 p-ATF2 (Thr69 or 51), p-ATF2 (T69 or 51), ATF2 (p-Thr69 or 51), ATF2 (p-T69 or 51)

Anti-Phospho-ATF2 (Thr69 or 51) Polyclonal Antibody 是一种 Rabbit 抗体,靶向 Phospho-ATF2 (Thr69 or 51)。Anti-Phospho-ATF2 (Thr69 or 51) Polyclonal Antibody 可用于 IF,IHC,WB。

规格价格库存数量
50 μL
¥ 1,485
5日内发货
100 μL
¥ 2,235
5日内发货
大包装 & 定制
加入购物车
TargetMol 的所有产品仅用作科学研究或药证申报,不能被用于人体,我们不向个人提供产品和服务。请您遵守承诺用途,不得违反法律法规规定用于任何其他用途。
实验操作小课堂
常见问题解答
查看更多
联系我们获取更多批次信息
资源下载

产品介绍

生物活性
产品描述
Anti-Phospho-ATF2 (Thr69 or 51) Polyclonal Antibody is a Rabbit antibody targeting Phospho-ATF2 (Thr69 or 51). Anti-Phospho-ATF2 (Thr69 or 51) Polyclonal Antibody can be used in IF,IHC,WB.
别名p-ATF2 (Thr69 or 51), p-ATF2 (T69 or 51), ATF2 (p-Thr69 or 51), ATF2 (p-T69 or 51)
Ig Type
IgG
交叉反应
Human,Mouse,Rat
验证活性
1. Western blot analysis of extracts from 3T3 cells untreated or treated with Anisomycin using ATF2 (Phospho-Thr69 or 51) Antibody TMAC-00309.
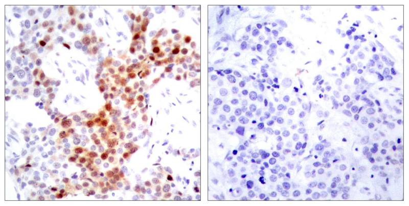
2. Immunohistochemical analysis of paraffin-embedded human breast carcinoma tissue using ATF2 (Phospho-Thr69 or 51) Antibody TMAC-00309 (left) or the same antibody preincubated with blocking peptide (right).
3. Immunofluorescence staining of methanol-fixed Hela cells using ATF2 (Phospho-Thr69 or 51) Antibody TMAC-00309.
verifiedActivityverifiedActivityverifiedActivity
应用IFIHCWB
抗体种类
Polyclonal
宿主来源Rabbit
构建方式Polyclonal Antibody
纯化方式Antibodies were produced by immunizing rabbits with synthetic phosphopeptide and KLH conjugates. Antibodies were purified by affinity-chromatography using epitope-specific phosphopeptide. Non-phospho specific antibodies were removed by chromatogramphy using non-phosphopeptide.
性状Liquid
缓冲液Supplied at 1.0mg/mL in phosphate buffered saline (without Mg2+ and Ca2+), pH 7.4, 150mM NaCl, 0.02% sodium azide and 50% glycerol.
研究背景Transcriptional activator, probably constitutive, which binds to the cAMP-responsive element (CRE) (consensus: 5'-GTGACGT[AC][AG]-3'), a sequence present in many viral and cellular promoters. Interaction with JUN redirects JUN to bind to CRES preferentially over the 12-O-tetradecanoylphorbol-13-acetate response elements (TRES) as part of an ATF2-c-Jun complex.
偶联与修饰
偶联
Unconjugated
其他可选修饰符
Phospho
抗原信息
免疫原
Peptide sequence around phosphorylation site of threonine 69 or 51 (D-Q-T(p)-P-T) derived from Human ATF2
抗原种属
human
Uniprot ID
存储&运输
储存方式Store at 2°C-8°C for 1 month. Store at -20°C or -80°C for 12 months. Avoid repeated freeze-thaw cycles.
运输方式Shipping with blue ice.

计算器

  • 稀释 计算器

关键词

评论列表

4个月前
5.0
Rating icon 很棒

评论内容

Related Tags: buy Anti-Phospho-ATF2 (Thr69 or 51) Polyclonal Antibody | purchase Anti-Phospho-ATF2 (Thr69 or 51) Polyclonal Antibody | Anti-Phospho-ATF2 (Thr69 or 51) Polyclonal Antibody cost | order Anti-Phospho-ATF2 (Thr69 or 51) Polyclonal Antibody