购物车
  • TargetMol
    您的购物车当前为空

Anti-Phospho-ATF-4 (Ser245) Polyclonal Antibody 2

Synonyms: p-ATF-4 (Ser245), p-ATF-4 (S245), ATF-4 (p-Ser245), ATF-4 (p-S245)
货号 TMAC-00315 一键复制产品信息
Rating icon 还可以

Anti-Phospho-ATF-4 (Ser245) Polyclonal Antibody 是一种 Rabbit 抗体,靶向 Phospho-ATF-4 (Ser245)。Anti-Phospho-ATF-4 (Ser245) Polyclonal Antibody 可用于 IHC,WB。

Anti-Phospho-ATF-4 (Ser245) Polyclonal Antibody 2

一键复制产品信息
Rating icon 还可以
货号 TMAC-00315

别名 p-ATF-4 (Ser245), p-ATF-4 (S245), ATF-4 (p-Ser245), ATF-4 (p-S245)

Anti-Phospho-ATF-4 (Ser245) Polyclonal Antibody 是一种 Rabbit 抗体,靶向 Phospho-ATF-4 (Ser245)。Anti-Phospho-ATF-4 (Ser245) Polyclonal Antibody 可用于 IHC,WB。

Anti-Phospho-ATF-4 (Ser245) Polyclonal Antibody 2
规格价格库存数量
50 μL
¥ 1,495
5日内发货
100 μL
¥ 2,235
5日内发货
库存状态实时更新,以官网显示为准,现货产品可直接加购物车下单
大包装 & 定制
加入购物车

TargetMol的所有产品仅用作科学研究或药证申报,不能被用于人体,我们不向个人提供产品和服务。请您遵守承诺用途,不得违反法律法规规定用于任何其他用途。

实验操作小课堂
常见问题解答
查看更多

资源下载:产品操作手册

产品介绍


生物活性
产品描述
Anti-Phospho-ATF-4 (Ser245) Polyclonal Antibody is a Rabbit antibody targeting Phospho-ATF-4 (Ser245). Anti-Phospho-ATF-4 (Ser245) Polyclonal Antibody can be used in IHC,WB.
别名
p-ATF-4 (Ser245), p-ATF-4 (S245), ATF-4 (p-Ser245), ATF-4 (p-S245)
Ig Type
IgG
反应种属
Human
验证活性
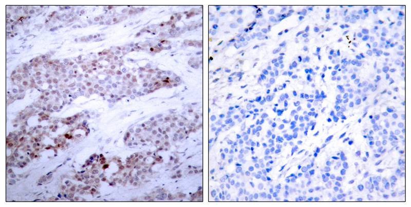
1. Immunohistochemical analysis of paraffin-embedded human breast carcinoma tissue using ATF4 (Phospho-Ser245) Antibody TMAC-00315 (left) or the same antibody preincubated with blocking peptide (right).
2. Western Blot analysis of various cell lysis using Antibody diluted at 1:500.
verifiedActivityverifiedActivity
应用IHCWB
抗体种类
Polyclonal
宿主来源Rabbit
构建方式Polyclonal Antibody
纯化方式Antibodies were produced by immunizing rabbits with synthetic phosphopeptide and KLH conjugates. Antibodies were purified by affinity-chromatography using epitope-specific phosphopeptide. Non-phospho specific antibodies were removed by chromatogramphy using non-phosphopeptide.
性状Liquid
缓冲液Supplied at 1.0mg/mL in phosphate buffered saline (without Mg2+ and Ca2+), pH 7.4, 150mM NaCl, 0.02% sodium azide and 50% glycerol.
研究背景ATF4 encodes a transcription factor that was originally identified as a widely expressed mammalian DNA binding protein that could bind a tax-responsive enhancer element in the LTR of HTLV-1. The encoded protein was also isolated and characterized as the cAMP-response element binding protein 2 (CREB-2). The protein encoded by this gene belongs to a family of DNA-binding proteins that includes the AP-1 family of transcription factors, cAMP-response element binding proteins (CREBs) and CREB-like proteins. These transcription factors share a leucine zipper region that is involved in protein-protein interactions, located C-terminal to a stretch of basic amino acids that functions as a DNA binding domain. Two alternative transcripts encoding the same protein have been described. Two pseudogenes are located on the X chromsome at q28 in a region containing a large inverted duplication.
偶联与修饰
偶联
Unconjugated
其他可选修饰符
Phospho
抗原信息
免疫原
Peptide sequence around phosphorylation site of serine 245 (N-R-S(p)-L-P) derived from Human ATF4
抗原种属
human
Uniprot ID
储存&溶解度
储存方式Store at 2°C-8°C for 1 month. Store at -20°C or -80°C for 12 months. Avoid repeated freeze-thaw cycles.
运输方式Shipping with blue ice.

计算器

  • 稀释 计算器
  • 配液 计算器
Related Tags: buy Anti-Phospho-ATF-4 (Ser245) Polyclonal Antibody 2 | purchase Anti-Phospho-ATF-4 (Ser245) Polyclonal Antibody 2 | Anti-Phospho-ATF-4 (Ser245) Polyclonal Antibody 2 cost | order Anti-Phospho-ATF-4 (Ser245) Polyclonal Antibody 2