购物车
  • 全部删除
  • TargetMol
    您的购物车当前为空

Anti-Phospho-AKT1 (Ser124) Antibody (1H96)

一键复制产品信息
Rating icon 还可以
产品编号 TMAC-03187
别名 p-AKT1 (Ser124), p-AKT1 (S124), AKT1 (p-Ser124), AKT1 (p-S124)

Anti-Phospho-AKT1 (Ser124) Antibody (1H96) 是一种 Rabbit 抗体,靶向 Phospho-AKT1 (Ser124)。Anti-Phospho-AKT1 (Ser124) Antibody (1H96) 可用于 WB,ICC/IF,IHC,IP。

Anti-Phospho-AKT1 (Ser124) Antibody (1H96)

Anti-Phospho-AKT1 (Ser124) Antibody (1H96)

一键复制产品信息
Rating icon 还可以
产品编号 TMAC-03187 别名 p-AKT1 (Ser124), p-AKT1 (S124), AKT1 (p-Ser124), AKT1 (p-S124)

Anti-Phospho-AKT1 (Ser124) Antibody (1H96) 是一种 Rabbit 抗体,靶向 Phospho-AKT1 (Ser124)。Anti-Phospho-AKT1 (Ser124) Antibody (1H96) 可用于 WB,ICC/IF,IHC,IP。

规格价格库存数量
50 μL
¥ 1,480
5日内发货
100 μL
¥ 2,490
5日内发货
大包装 & 定制
加入购物车
TargetMol 的所有产品仅用作科学研究或药证申报,不能被用于人体,我们不向个人提供产品和服务。请您遵守承诺用途,不得违反法律法规规定用于任何其他用途。
实验操作小课堂
常见问题解答
查看更多
联系我们获取更多批次信息
资源下载

产品介绍

生物活性
产品描述
Anti-Phospho-AKT1 (Ser124) Antibody (1H96) is a Rabbit antibody targeting Phospho-AKT1 (Ser124). Anti-Phospho-AKT1 (Ser124) Antibody (1H96) can be used in ICC/IF,IHC,IP,WB.
别名p-AKT1 (Ser124), p-AKT1 (S124), AKT1 (p-Ser124), AKT1 (p-S124)
Ig Type
IgG
克隆号
1H96
交叉反应
Human,Mouse,Rat
验证活性
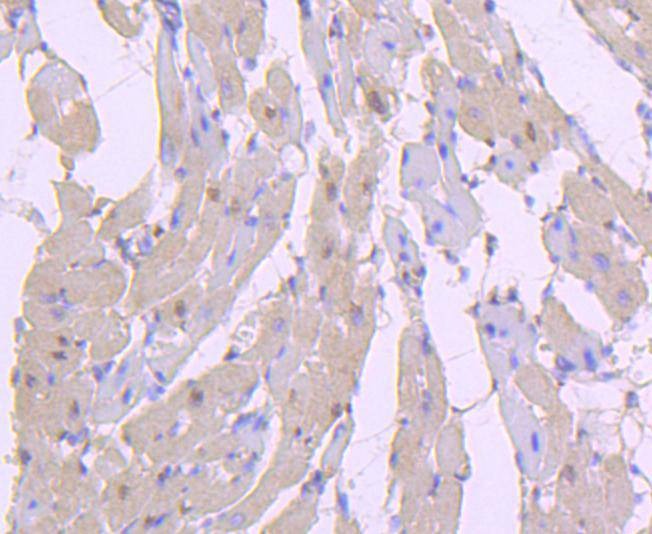
1. Immunohistochemical analysis of paraffin-embedded rat heart tissue using anti-Phospho-AKT1 (S124) antibody. Counter stained with hematoxylin.
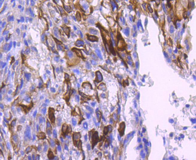
2. Immunohistochemical analysis of paraffin-embedded human breast carcinoma tissue using anti-Phospho-AKT1 (S124) antibody. Counter stained with hematoxylin.
3. ICC staining Phospho-AKT1 (S124) in PC-3M cells (green). The nuclear counter stain is DAPI (blue). Cells were fixed in paraformaldehyde, permeabilised with 0.25% Triton X100/PBS.
4. ICC staining Phospho-AKT1 (S124) in NIH/3T3 cells (green). The nuclear counter stain is DAPI (blue). Cells were fixed in paraformaldehyde, permeabilised with 0.25% Triton X100/PBS.
5. ICC staining Phospho-AKT1 (S124) in MCF-7 cells (green). The nuclear counter stain is DAPI (blue). Cells were fixed in paraformaldehyde, permeabilised with 0.25% Triton X100/PBS.
verifiedActivityverifiedActivityverifiedActivityverifiedActivityverifiedActivity
应用ICC/IFIHCIPWB
推荐剂量
WB: 1:1000; IHC: 1:50-200; ICC/IF: 1:50-200
抗体种类
Monoclonal
宿主来源Rabbit
构建方式Recombinant Antibody
纯化方式ProA affinity purified
性状Liquid
缓冲液1*TBS (pH7.4), 1%BSA, 40%Glycerol. Preservative: 0.05% Sodium Azide.
研究背景The serine/threonine kinase Akt family contains several members, including Akt1 (also designated PKB or RacPK), Akt2 (also designated PKBβ or RacPK-βb) and Akt 3 (also designated PKBγ or thyoma viral proto-oncogene 3), which exhibit sequence homology with the protein kinase A and C families and are encoded by the c-Akt proto-oncogene. All members of the Akt family have a pleckstrin homology domain. Akt1 and Akt2 are activated by PDGF stimulation. Activation is dependent on PDGFR-β Tyr residues 740 and 751, which bind the subunit of the phosphatidylinositol 3-kinase (PI 3-kinase) complex. Activation of Akt1 by Insulin or Insulin-growth factor-1(IGF-1) results in phosphorylation of both Thr 308 and Ser 473. Phosphorylation of both residues is important to generate a high level of Akt1 activity. The phosphorylation of Thr 308 is not dependent on phosphorylation of Ser 473 in vivo. Thus, Akt proteins become phosphorylated and activated in Insulin/IGF-1-stimulated cells by an upstream kinase(s). The activation of Akt1 and Akt2 is inhibited by the PI kinase inhibitor wortmannin, suggesting that the protein signals downstream of the PI kinases.
偶联与修饰
偶联
Unconjugated
其他可选修饰符
Phospho
抗原信息
免疫原
A synthesized phosphopeptide: human AKT1 around the phosphorylation site of Ser124
抗原种属
human
Uniprot ID
化学信息
分子量Theoretical: 56 kDa.
存储&运输
储存方式Store at -20°C or -80°C for 12 months. Avoid repeated freeze-thaw cycles.
运输方式Shipping with blue ice.

计算器

  • 稀释 计算器

关键词

评论列表

4个月前
5.0
Rating icon 很棒

评论内容

Related Tags: buy Anti-Phospho-AKT1 (Ser124) Antibody (1H96) | purchase Anti-Phospho-AKT1 (Ser124) Antibody (1H96) | Anti-Phospho-AKT1 (Ser124) Antibody (1H96) cost | order Anti-Phospho-AKT1 (Ser124) Antibody (1H96) | Anti-Phospho-AKT1 (Ser124) Antibody (1H96) molecular weight