购物车
  • TargetMol
    您的购物车当前为空

Anti-PCK1 Antibody (7Q973)

Synonyms: Serine-protein kinase PCK1, Phosphoenolpyruvate carboxykinase, cytosolic [GTP], PEPCK-C, PEPCK1, PCK1, cytosolic [GTP]
货号 TMAC-03096 一键复制产品信息
Rating icon 还可以

Anti-PCK1 Antibody (7Q973) 是一种 Rabbit 抗体,靶向 PCK1。Anti-PCK1 Antibody (7Q973) 可用于 ICC,IHC,WB。

Anti-PCK1 Antibody (7Q973)

一键复制产品信息
Rating icon 还可以
货号 TMAC-03096

别名 Serine-protein kinase PCK1, Phosphoenolpyruvate carboxykinase, cytosolic [GTP], PEPCK-C, PEPCK1, PCK1, cytosolic [GTP]

Anti-PCK1 Antibody (7Q973) 是一种 Rabbit 抗体,靶向 PCK1。Anti-PCK1 Antibody (7Q973) 可用于 ICC,IHC,WB。

Anti-PCK1 Antibody (7Q973)
规格价格库存数量
50 μL
¥ 1,485
5日内发货
100 μL
¥ 2,485
5日内发货
库存状态实时更新,以官网显示为准,现货产品可直接加购物车下单
大包装 & 定制
加入购物车

TargetMol的所有产品仅用作科学研究或药证申报,不能被用于人体,我们不向个人提供产品和服务。请您遵守承诺用途,不得违反法律法规规定用于任何其他用途。

实验操作小课堂
常见问题解答
查看更多

资源下载:产品操作手册

产品介绍


生物活性
产品描述
Anti-PCK1 Antibody (7Q973) is a Rabbit antibody targeting PCK1. Anti-PCK1 Antibody (7Q973) can be used in ICC,IHC,WB.
别名
Serine-protein kinase PCK1, Phosphoenolpyruvate carboxykinase, cytosolic [GTP], PEPCK-C, PEPCK1, PCK1, cytosolic [GTP]
Ig Type
IgG
克隆号
7Q973
反应种属
Human
验证活性
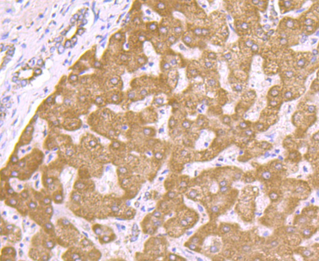
1. Immunohistochemical analysis of paraffin-embedded human liver tissue using anti-PCK1 antibody. Counter stained with hematoxylin.
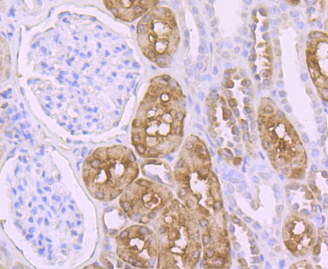
2. Immunohistochemical analysis of paraffin-embedded human kidney tissue using anti-PCK1 antibody. Counter stained with hematoxylin.
3. ICC staining PCK1 in 293T cells (green). The nuclear counter stain is DAPI (blue). Cells were fixed in paraformaldehyde, permeabilised with 0.25% Triton X100/PBS.
4. ICC staining PCK1 in HepG2 cells (green). The nuclear counter stain is DAPI (blue). Cells were fixed in paraformaldehyde, permeabilised with 0.25% Triton X100/PBS.
5. ICC staining PCK1 in SH-SY5Y cells (green). The nuclear counter stain is DAPI (blue). Cells were fixed in paraformaldehyde, permeabilised with 0.25% Triton X100/PBS.
verifiedActivityverifiedActivityverifiedActivityverifiedActivityverifiedActivity
应用ICCIHCWB
推荐剂量
IHC: 1:50-200; ICC: 1:50-200
抗体种类
Monoclonal
宿主来源Rabbit
构建方式Recombinant Antibody
纯化方式ProA affinity purified
性状Liquid
缓冲液1*TBS (pH7.4), 1%BSA, 40%Glycerol. Preservative: 0.05% Sodium Azide.
研究背景Normal adjustment to changes in blood glucose levels depends on insulin signaling as well as enzymes involved in the regulation of gluconeogenesis. Pathological changes to this process are central to the type 2 diabetes phenotype. Phosphoenolpyruvate carboxykinase (PEPCK) plays an important role in this process by stimulating hepatic glucose production. PEPCK expression increases in response to glucagon and glucocorticoids, while insulin suppresses expression. Modulation of the signals governing PEPCK levels present a potential therapeutic approach to the treatment of insulin resistance and consequently obesity. The cytosolic form of PEPCK, known as PEPCK-C, and the mitochondrial form, known as PEPCK-M, are encoded by two different nuclear genes in mouse, human and chicken.
偶联与修饰
偶联
Unconjugated
抗原信息
免疫原
Recombinant Protein
Uniprot ID
化学信息
分子量Theoretical: 69 kDa.
储存&溶解度
储存方式Store at -20°C or -80°C for 12 months. Avoid repeated freeze-thaw cycles.
运输方式Shipping with blue ice.

计算器

  • 稀释 计算器
  • 配液 计算器

关键词

Related Tags: buy Anti-PCK1 Antibody (7Q973) | purchase Anti-PCK1 Antibody (7Q973) | Anti-PCK1 Antibody (7Q973) cost | order Anti-PCK1 Antibody (7Q973) | Anti-PCK1 Antibody (7Q973) molecular weight