购物车
  • TargetMol
    您的购物车当前为空

Anti-P-Selectin Antibody (3L556)

Synonyms: P-selectin, PADGEM, Leukocyte-endothelial cell adhesion molecule 3, LECAM3, Granule membrane protein 140, GMP-140, CD62 antigen-like family member P
货号 TMAC-00725 一键复制产品信息
Rating icon 还可以

Anti-P-Selectin Antibody (3L556) 是一种 Rabbit 抗体,靶向 P-Selectin。Anti-P-Selectin Antibody (3L556) 可用于 IHC,WB。

Anti-P-Selectin Antibody (3L556)

一键复制产品信息
Rating icon 还可以
货号 TMAC-00725

别名 P-selectin, PADGEM, Leukocyte-endothelial cell adhesion molecule 3, LECAM3, Granule membrane protein 140, GMP-140, CD62 antigen-like family member P

Anti-P-Selectin Antibody (3L556) 是一种 Rabbit 抗体,靶向 P-Selectin。Anti-P-Selectin Antibody (3L556) 可用于 IHC,WB。

Anti-P-Selectin Antibody (3L556)
规格价格库存数量
50 μL
¥ 1,485
5日内发货
100 μL
¥ 2,485
5日内发货
库存状态实时更新,以官网显示为准,现货产品可直接加购物车下单
大包装 & 定制
加入购物车

TargetMol的所有产品仅用作科学研究或药证申报,不能被用于人体,我们不向个人提供产品和服务。请您遵守承诺用途,不得违反法律法规规定用于任何其他用途。

实验操作小课堂
常见问题解答
查看更多

资源下载:产品操作手册

产品介绍


生物活性
产品描述
Anti-P-Selectin Antibody (3L556) is a Rabbit antibody targeting P-Selectin. Anti-P-Selectin Antibody (3L556) can be used in IHC,WB.
别名
P-selectin, PADGEM, Leukocyte-endothelial cell adhesion molecule 3, LECAM3, Granule membrane protein 140, GMP-140, CD62 antigen-like family member P
Ig Type
IgG
克隆号
3L556
反应种属
Human
验证活性
1. Western blot analysis of CD62P on different cells lysates using anti-CD62P antibody at 1/500 dilution. Positive control: Line1: HUVEC, Line2: Human placenta.
2. Immunohistochemical analysis of paraffin-embedded human tonsil tissue using anti-CD62P antibody. Counter stained with hematoxylin.
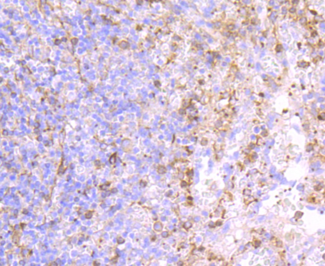
3. Immunohistochemical analysis of paraffin-embedded human spleen tissue using anti-CD62P antibody. Counter stained with hematoxylin.
verifiedActivityverifiedActivityverifiedActivity
应用IHCWB
推荐剂量
WB: 1:1000-2000; IHC: 1:50-200
抗体种类
Monoclonal
宿主来源Rabbit
构建方式Recombinant Antibody
纯化方式ProA affinity purified
性状Liquid
缓冲液1*TBS (pH7.4), 1%BSA, 40%Glycerol. Preservative: 0.05% Sodium Azide.
研究背景Selectins, also designated CD62 antigens, comprise a family of carbohydrate-binding proteins involved in mediating cellular interactions with leukocytes. L-Selectin (also designated LECAM-1 or CD62L) is expressed on the majority of B and naive T cells and on most monocytes, neutrophils and eosinophils. L-Selectin interacts with specific carbohydrates expressed by activated endothelial cells. P-Selectin (also designated GMP-140 or CD62P), expressed on activated platelets and endothelial cells, and E-Selectin (also designated ELMA-1 or CD62E), expressed on endothelial cells, exhibit overlapping ligand specificities. Both recognize sialyl-Le (x) as a ligand and bind to specific carbohydrates on neutrophils and monocytes.
偶联与修饰
偶联
Unconjugated
抗原信息
免疫原
Recombinant Protein
Uniprot ID
化学信息
分子量Theoretical: 100 kDa.
储存&溶解度
储存方式Store at -20°C or -80°C for 12 months. Avoid repeated freeze-thaw cycles.
运输方式Shipping with blue ice.

计算器

  • 稀释 计算器
  • 配液 计算器
Related Tags: buy Anti-P-Selectin Antibody (3L556) | purchase Anti-P-Selectin Antibody (3L556) | Anti-P-Selectin Antibody (3L556) cost | order Anti-P-Selectin Antibody (3L556) | Anti-P-Selectin Antibody (3L556) molecular weight