购物车
  • TargetMol
    您的购物车当前为空

Anti-OS9 Antibody (8R432)

Synonyms: Protein OS-9, OS 9, Amplified in osteosarcoma 9
货号 TMAC-02926 一键复制产品信息
Rating icon 还可以

Anti-OS9 Antibody (8R432) 是一种 Rabbit 抗体,靶向 OS9。Anti-OS9 Antibody (8R432) 可用于 IHC,IP,WB。

Anti-OS9 Antibody (8R432)

一键复制产品信息
Rating icon 还可以
货号 TMAC-02926

别名 Protein OS-9, OS 9, Amplified in osteosarcoma 9

Anti-OS9 Antibody (8R432) 是一种 Rabbit 抗体,靶向 OS9。Anti-OS9 Antibody (8R432) 可用于 IHC,IP,WB。

Anti-OS9 Antibody (8R432)
规格价格库存数量
50 μL
¥ 1,490
5日内发货
100 μL
¥ 2,485
5日内发货
库存状态实时更新,以官网显示为准,现货产品可直接加购物车下单
大包装 & 定制
加入购物车

TargetMol的所有产品仅用作科学研究或药证申报,不能被用于人体,我们不向个人提供产品和服务。请您遵守承诺用途,不得违反法律法规规定用于任何其他用途。

实验操作小课堂
常见问题解答
查看更多

资源下载:产品操作手册

产品介绍


生物活性
产品描述
Anti-OS9 Antibody (8R432) is a Rabbit antibody targeting OS9. Anti-OS9 Antibody (8R432) can be used in IHC,IP,WB.
别名
Protein OS-9, OS 9, Amplified in osteosarcoma 9
Ig Type
IgG
克隆号
8R432
反应种属
Human,Mouse,Rat
验证活性
1. Western blot analysis of OS9 on mouse testis and rat testis tissue lysates using anti-OS9 antibody at 1/2,000 dilution.
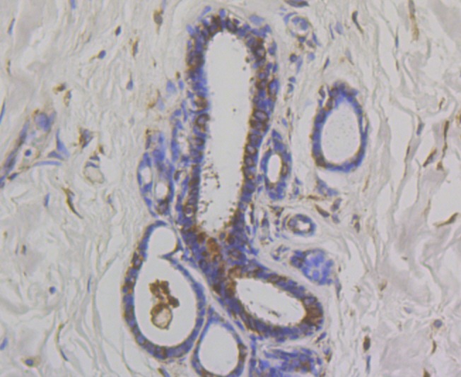
2. Immunohistochemical analysis of paraffin-embedded rat epididymis tissue using anti-OS9 antibody. Counter stained with hematoxylin.
3. Immunohistochemical analysis of paraffin-embedded human breast cancer tissue using anti-OS9 antibody. Counter stained with hematoxylin.
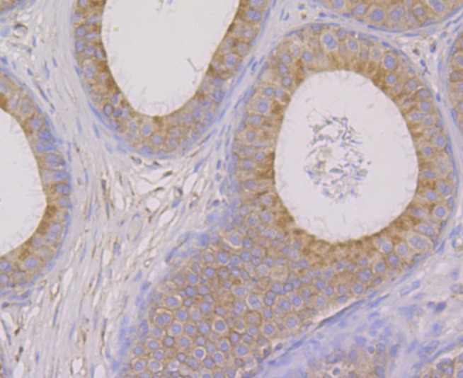
4. Immunohistochemical analysis of paraffin-embedded human placenta tissue using anti-OS9 antibody. Counter stained with hematoxylin.
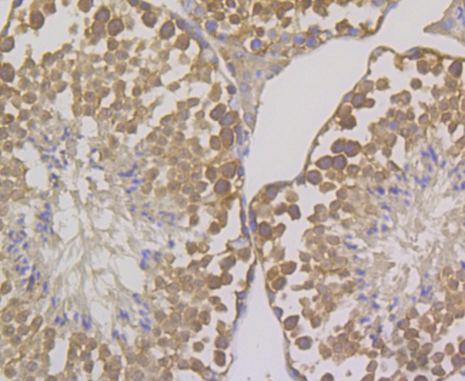
5. Immunohistochemical analysis of paraffin-embedded mouse testis tissue using anti-OS9 antibody. Counter stained with hematoxylin.
verifiedActivityverifiedActivityverifiedActivityverifiedActivityverifiedActivity
应用IHCIPWB
推荐剂量
WB: 1:500-2000; IHC: 1:50-200; IP: 1:10-50
抗体种类
Monoclonal
宿主来源Rabbit
构建方式Recombinant Antibody
纯化方式ProA affinity purified
性状Liquid
缓冲液1*TBS (pH7.4), 1%BSA, 40%Glycerol. Preservative: 0.05% Sodium Azide.
研究背景Lectin which functions in endoplasmic reticulum (ER) quality control and ER-associated degradation (ERAD). May bind terminally misfolded non-glycosylated proteins as well as improperly folded glycoproteins, retain them in the ER, and possibly transfer them to the ubiquitination machinery and promote their degradation. Possible targets include TRPV4.
偶联与修饰
偶联
Unconjugated
抗原信息
免疫原
Recombinant Protein: C-terminal Human OS9
抗原种属
human
Uniprot ID
化学信息
分子量Theoretical: 76 kDa.
储存&溶解度
储存方式Store at -20°C or -80°C for 12 months. Avoid repeated freeze-thaw cycles.
运输方式Shipping with blue ice.

计算器

  • 稀释 计算器
  • 配液 计算器
Related Tags: buy Anti-OS9 Antibody (8R432) | purchase Anti-OS9 Antibody (8R432) | Anti-OS9 Antibody (8R432) cost | order Anti-OS9 Antibody (8R432) | Anti-OS9 Antibody (8R432) molecular weight