购物车
  • 全部删除
  • TargetMol
    您的购物车当前为空

Anti-NSE/ENO2 Antibody (8L64)

一键复制产品信息
Rating icon 还可以
产品编号 TMAC-02894
别名 NSE, HEL-S-279, enolase 2 (γ, neuronal), enolase 2 (gamma, neuronal)

Anti-NSE/ENO2 Antibody (8L64) 是一种 Rabbit 抗体,靶向 NSE/ENO2。Anti-NSE/ENO2 Antibody (8L64) 可用于 ICC,IHC,WB。

Anti-NSE/ENO2 Antibody (8L64)

Anti-NSE/ENO2 Antibody (8L64)

一键复制产品信息
Rating icon 还可以
产品编号 TMAC-02894 别名 NSE, HEL-S-279, enolase 2 (γ, neuronal), enolase 2 (gamma, neuronal)

Anti-NSE/ENO2 Antibody (8L64) 是一种 Rabbit 抗体,靶向 NSE/ENO2。Anti-NSE/ENO2 Antibody (8L64) 可用于 ICC,IHC,WB。

规格价格库存数量
50 μL
¥ 1,480
5日内发货
100 μL
¥ 2,480
5日内发货
大包装 & 定制
加入购物车
TargetMol 的所有产品仅用作科学研究或药证申报,不能被用于人体,我们不向个人提供产品和服务。请您遵守承诺用途,不得违反法律法规规定用于任何其他用途。
实验操作小课堂
常见问题解答
查看更多
联系我们获取更多批次信息
资源下载

产品介绍

生物活性
产品描述
Anti-NSE/ENO2 Antibody (8L64) is a Rabbit antibody targeting NSE/ENO2. Anti-NSE/ENO2 Antibody (8L64) can be used in ICC,IHC,WB.
别名NSE, HEL-S-279, enolase 2 (γ, neuronal), enolase 2 (gamma, neuronal)
Ig Type
IgG
克隆号
8L64
交叉反应
Human,Mouse,Rat,zebrafish
验证活性
1. Western blot analysis of NSE on different lysates using anti-NSE antibody at 1/1,000 dilution. Positive control: Lane 1: HepG2, Lane 2: Hela, Lane 3: 293.
2. Western blot analysis of NSE on hybrid fish (crucian-carp) brain tissue lysates using anti-NSE antibody at 1/500 dilution.
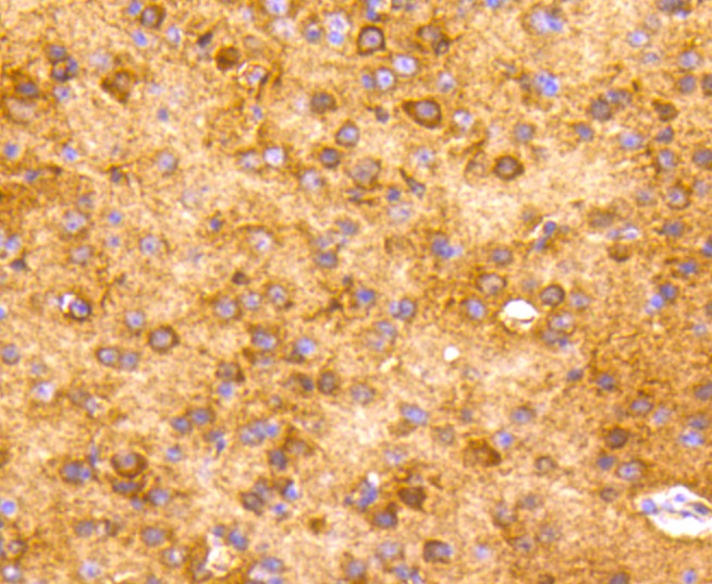
3. Immunohistochemical analysis of paraffin-embedded rat brain tissue using anti-NSE antibody. Counter stained with hematoxylin.
4. Immunohistochemical analysis of paraffin-embedded human tonsil tissue using anti-NSE antibody. Counter stained with hematoxylin.
5. ICC staining NSE in SH-SY-5Y cells (green). The nuclear counter stain is DAPI (blue). Cells were fixed in paraformaldehyde, permeabilised with 0.25% Triton X100/PBS.
6. ICC staining NSE in 293 cells (green). The nuclear counter stain is DAPI (blue). Cells were fixed in paraformaldehyde, permeabilised with 0.25% Triton X100/PBS.
verifiedActivityverifiedActivityverifiedActivityverifiedActivityverifiedActivityverifiedActivity
应用ICCIHCWB
推荐剂量
WB: 1:1000-2000; IHC: 1:50-200; ICC: 1:50-200
抗体种类
Monoclonal
宿主来源Rabbit
构建方式Recombinant Antibody
纯化方式ProA affinity purified
性状Liquid
缓冲液1*TBS (pH7.4), 1%BSA, 40%Glycerol. Preservative: 0.05% Sodium Azide.
研究背景Enolases have been characterized as highly conserved cytoplasmic glycolytic enzymes that may be involved in differentiation. Three isoenzymes have been identified, α Enolase, β Enolase and γ Enolase. α Enolase expression has been detected on most tissues, whereas β Enolase is expressed predominantly in muscle tissue and γ Enolase is detected only in nervous tissue. These isoforms exist as both homodimers and heterodimers, and they play a role in converting phosphoglyceric acid to phosphenolpyruvic acid in the glycolytic pathway.
偶联与修饰
偶联
Unconjugated
抗原信息
免疫原
Recombinant Protein
Uniprot ID
化学信息
分子量Theoretical: 47 kDa.
存储&运输
储存方式Store at -20°C or -80°C for 12 months. Avoid repeated freeze-thaw cycles.
运输方式Shipping with blue ice.

计算器

  • 稀释 计算器

关键词

评论列表

4个月前
5.0
Rating icon 很棒

评论内容

Related Tags: buy Anti-NSE/ENO2 Antibody (8L64) | purchase Anti-NSE/ENO2 Antibody (8L64) | Anti-NSE/ENO2 Antibody (8L64) cost | order Anti-NSE/ENO2 Antibody (8L64) | Anti-NSE/ENO2 Antibody (8L64) molecular weight