购物车
  • TargetMol
    您的购物车当前为空

Anti-NRP1 Antibody (4D9)

Synonyms: VEGF165R, NRP, NP1, Neuropilin-1, neuropilin 1, CD304, BDCA4
货号 TMAC-02788 一键复制产品信息
Rating icon 还可以

Anti-NRP1 Antibody (4D9) 是一种 Rabbit 抗体,靶向 NRP1。Anti-NRP1 Antibody (4D9) 可用于 FCM,ICC/IF,IHC,IP,WB。

Anti-NRP1 Antibody (4D9)

一键复制产品信息
Rating icon 还可以
货号 TMAC-02788

别名 VEGF165R, NRP, NP1, Neuropilin-1, neuropilin 1, CD304, BDCA4

Anti-NRP1 Antibody (4D9) 是一种 Rabbit 抗体,靶向 NRP1。Anti-NRP1 Antibody (4D9) 可用于 FCM,ICC/IF,IHC,IP,WB。

Anti-NRP1 Antibody (4D9)
规格价格库存数量
50 μL
¥ 1,495
5日内发货
100 μL
¥ 2,495
5日内发货
库存状态实时更新,以官网显示为准,现货产品可直接加购物车下单
大包装 & 定制
加入购物车

TargetMol的所有产品仅用作科学研究或药证申报,不能被用于人体,我们不向个人提供产品和服务。请您遵守承诺用途,不得违反法律法规规定用于任何其他用途。

实验操作小课堂
常见问题解答
查看更多

资源下载:产品操作手册

产品介绍


生物活性
产品描述
Anti-NRP1 Antibody (4D9) is a Rabbit antibody targeting NRP1. Anti-NRP1 Antibody (4D9) can be used in FCM,ICC/IF,IHC,IP,WB.
别名
VEGF165R, NRP, NP1, Neuropilin-1, neuropilin 1, CD304, BDCA4
Ig Type
IgG
克隆号
4D9
反应种属
Human,Mouse,Rat
验证活性
1. Western blot analysis of Neuropilin-1 on different lysates using anti-Neuropilin-1 antibody at 1/1,000 dilution. Positive control: Lane 1: Mouse heart, Lane 2: Mouse liver, Lane 3: Mouse kidney, Lane 4: Human liver.
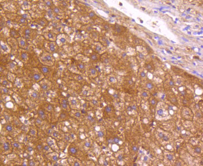
2. Immunohistochemical analysis of paraffin-embedded human liver tissue using anti-Neuropilin-1 antibody. Counter stained with hematoxylin.
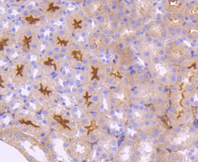
3. Immunohistochemical analysis of paraffin-embedded human kidney tissue using anti-Neuropilin-1 antibody. Counter stained with hematoxylin.
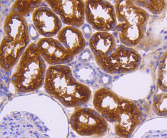
4. Immunohistochemical analysis of paraffin-embedded mouse kidney tissue using anti-Neuropilin-1 antibody. Counter stained with hematoxylin.
5. ICC staining Neuropilin-1 in SHG-44 cells (green). The nuclear counter stain is DAPI (blue). Cells were fixed in paraformaldehyde, permeabilised with 0.25% Triton X100/PBS.
6. ICC staining Neuropilin-1 in MCF-7 cells (green). The nuclear counter stain is DAPI (blue). Cells were fixed in paraformaldehyde, permeabilised with 0.25% Triton X100/PBS.
7. ICC staining Neuropilin-1 in HUVEC cells (green). The nuclear counter stain is DAPI (blue). Cells were fixed in paraformaldehyde, permeabilised with 0.25% Triton X100/PBS.
8. Flow cytometric analysis of Hela cells with Neuropilin-1 antibody at 1/50 dilution (red) compared with an unlabelled control (cells without incubation with primary antibody; black). Alexa Fluor 488-conjugated goat anti rabbit IgG was used as the secondary antibody.
verifiedActivityverifiedActivityverifiedActivityverifiedActivityverifiedActivityverifiedActivityverifiedActivityverifiedActivity
应用FCMICC/IFIHCIPWB
推荐剂量
WB: 1:1000-5000; IHC: 1:50-200; ICC/IF: 1:50-200; FCM: 1:50-100
抗体种类
Monoclonal
宿主来源Rabbit
构建方式Recombinant Antibody
纯化方式ProA affinity purified
性状Liquid
缓冲液1*TBS (pH7.4), 1%BSA, 40%Glycerol. Preservative: 0.05% Sodium Azide.
研究背景Neuropilin is a type I transmembrane receptor that has been implicated in aspects of axon growth and guidance and has been shown to act as a high affinity receptor for class III semaphorins and vascular endothelial growth factor (VEGF). A closely related protein, neuropilin-2, shares a common domain structure and signifcant homology with neuropilin and also acts as a receptor for the class III semaphorins and VEGF. Both neuropilins are involved in regulating many physiological pathways including axonal guidance and angiogenesis, however they exhibit differential expression in the adult vasculature. Neuropilin-2 is polysialylated and expressed on the surface of dendritic cells. It is also expressed by venous and lymphatic endothelium. Neuropilin is expressed predominantly by arterial endothelium.
偶联与修饰
偶联
Unconjugated
抗原信息
免疫原
Recombinant Protein
Uniprot ID
化学信息
分子量Theoretical: 120 kDa.
储存&溶解度
储存方式Store at -20°C or -80°C for 12 months. Avoid repeated freeze-thaw cycles.
运输方式Shipping with blue ice.

计算器

  • 稀释 计算器
  • 配液 计算器
Related Tags: buy Anti-NRP1 Antibody (4D9) | purchase Anti-NRP1 Antibody (4D9) | Anti-NRP1 Antibody (4D9) cost | order Anti-NRP1 Antibody (4D9) | Anti-NRP1 Antibody (4D9) molecular weight