购物车
  • 全部删除
  • TargetMol
    您的购物车当前为空

Anti-NMDAR2A Antibody (4O151)

一键复制产品信息
Rating icon 还可以
产品编号 TMAC-02860
别名 OTTHUMP00000174531, OTTHUMP00000160135, NR2A, NR 2A, NMDE1, NMDAR2A, NMDAR 2A, NMDA Receptor Type 2A, NMDA receptor subtype 2A, N Methyl D Aspartate Receptor Subtype 2A, N methyl D aspartate receptor channel, subunit epsilon 1, HNR2A, GRIN2A, GRIN 2A, Glutamate receptor ionotropic N methyl D aspartate 2A, Glutamate receptor, Glutamate [NMDA] receptor subunit epsilon 1

Anti-NMDAR2A Antibody (4O151) 是一种 Rabbit 抗体,靶向 NMDAR2A。Anti-NMDAR2A Antibody (4O151) 可用于 IHC,WB。

Anti-NMDAR2A Antibody (4O151)

Anti-NMDAR2A Antibody (4O151)

一键复制产品信息
Rating icon 还可以
产品编号 TMAC-02860 别名 OTTHUMP00000174531, OTTHUMP00000160135, NR2A, NR 2A, NMDE1, NMDAR2A, NMDAR 2A, NMDA Receptor Type 2A, NMDA receptor subtype 2A, N Methyl D Aspartate Receptor Subtype 2A, N methyl D aspartate receptor channel, subunit epsilon 1, HNR2A, GRIN2A, GRIN 2A, Glutamate receptor ionotropic N methyl D aspartate 2A, Glutamate receptor, Glutamate [NMDA] receptor subunit epsilon 1

Anti-NMDAR2A Antibody (4O151) 是一种 Rabbit 抗体,靶向 NMDAR2A。Anti-NMDAR2A Antibody (4O151) 可用于 IHC,WB。

规格价格库存数量
50 μL
¥ 1,495
5日内发货
100 μL
¥ 2,485
5日内发货
大包装 & 定制
加入购物车
TargetMol 的所有产品仅用作科学研究或药证申报,不能被用于人体,我们不向个人提供产品和服务。请您遵守承诺用途,不得违反法律法规规定用于任何其他用途。
实验操作小课堂
常见问题解答
查看更多
联系我们获取更多批次信息
资源下载

产品介绍

生物活性
产品描述
Anti-NMDAR2A Antibody (4O151) is a Rabbit antibody targeting NMDAR2A. Anti-NMDAR2A Antibody (4O151) can be used in IHC,WB.
别名OTTHUMP00000174531, OTTHUMP00000160135, NR2A, NR 2A, NMDE1, NMDAR2A, NMDAR 2A, NMDA Receptor Type 2A, NMDA receptor subtype 2A, N Methyl D Aspartate Receptor Subtype 2A, N methyl D aspartate receptor channel, subunit epsilon 1, HNR2A, GRIN2A, GRIN 2A, Glutamate receptor ionotropic N methyl D aspartate 2A, Glutamate receptor, Glutamate [NMDA] receptor subunit epsilon 1
Ig Type
IgG
克隆号
4O151
交叉反应
Human,Mouse,Rat
验证活性
1. Western blot analysis of NMDAR2A on rat brain tissue lysate using anti-NMDAR2A antibody at 1/1,000 dilution.
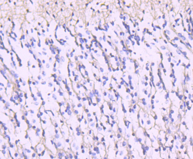
2. Immunohistochemical analysis of paraffin-embedded rat brain tissue using anti-NMDAR2A antibody. Counter stained with hematoxylin.
3. Immunohistochemical analysis of paraffin-embedded rat skin tissue using anti-NMDAR2A antibody. Counter stained with hematoxylin.
4. Immunohistochemical analysis of paraffin-embedded human brain tissue using anti-NMDAR2A antibody. Counter stained with hematoxylin.
5. Immunohistochemical analysis of paraffin-embedded mouse small intestine tissue using anti-NMDAR2A antibody. Counter stained with hematoxylin.
verifiedActivityverifiedActivityverifiedActivityverifiedActivityverifiedActivity
应用IHCWB
推荐剂量
WB: 1:500; IHC: 1:50-100
抗体种类
Monoclonal
宿主来源Rabbit
构建方式Recombinant Antibody
纯化方式ProA affinity purified
性状Liquid
缓冲液1*TBS (pH7.4), 1%BSA, 40%Glycerol. Preservative: 0.05% Sodium Azide.
研究背景NMDAR2A is a member of the glutamate-gated ion channel protein family. The encoded protein is an N-methyl-D-aspartate (NMDA) receptor subunit. NMDA receptors are both ligand-gated and voltage-dependent, and are involved in long-term potentiation, an activity-dependent increase in the efficiency of synaptic transmission thought to underlie certain kinds of memory and learning.
偶联与修饰
偶联
Unconjugated
抗原信息
免疫原
Recombinant Protein
Uniprot ID
化学信息
分子量Theoretical: 165 kDa.
存储&运输
储存方式Store at -20°C or -80°C for 12 months. Avoid repeated freeze-thaw cycles.
运输方式Shipping with blue ice.

计算器

  • 稀释 计算器

评论列表

4个月前
5.0
Rating icon 很棒

评论内容

Related Tags: buy Anti-NMDAR2A Antibody (4O151) | purchase Anti-NMDAR2A Antibody (4O151) | Anti-NMDAR2A Antibody (4O151) cost | order Anti-NMDAR2A Antibody (4O151) | Anti-NMDAR2A Antibody (4O151) molecular weight