购物车
  • 全部删除
  • TargetMol
    您的购物车当前为空

Anti-NFKB1 Antibody (6X277)

一键复制产品信息
Rating icon 还可以
产品编号 TMAC-02821
别名 Nuclear factor of kappa light polypeptide gene enhancer in B-cells 1, Nuclear factor NF-kappa-B p105 subunit, NFKB1, EBP-1, DNA-binding factor KBF1

Anti-NFKB1 Antibody (6X277) 是一种 Mouse 抗体,靶向 NFKB1。Anti-NFKB1 Antibody (6X277) 可用于 ICC,IHC,WB。

Anti-NFKB1 Antibody (6X277)

Anti-NFKB1 Antibody (6X277)

一键复制产品信息
Rating icon 还可以
产品编号 TMAC-02821 别名 Nuclear factor of kappa light polypeptide gene enhancer in B-cells 1, Nuclear factor NF-kappa-B p105 subunit, NFKB1, EBP-1, DNA-binding factor KBF1

Anti-NFKB1 Antibody (6X277) 是一种 Mouse 抗体,靶向 NFKB1。Anti-NFKB1 Antibody (6X277) 可用于 ICC,IHC,WB。

规格价格库存数量
50 μL
¥ 1,990
5日内发货
100 μL
¥ 2,985
5日内发货
大包装 & 定制
加入购物车
TargetMol 的所有产品仅用作科学研究或药证申报,不能被用于人体,我们不向个人提供产品和服务。请您遵守承诺用途,不得违反法律法规规定用于任何其他用途。
实验操作小课堂
常见问题解答
查看更多
联系我们获取更多批次信息
资源下载

产品介绍

生物活性
产品描述
Anti-NFKB1 Antibody (6X277) is a Mouse antibody targeting NFKB1. Anti-NFKB1 Antibody (6X277) can be used in ICC,IHC,WB.
别名Nuclear factor of kappa light polypeptide gene enhancer in B-cells 1, Nuclear factor NF-kappa-B p105 subunit, NFKB1, EBP-1, DNA-binding factor KBF1
克隆号
6X277
交叉反应
Human,Mouse
验证活性
1. Western blot analysis of NF-κB p105/p50 on MCF-7 cell lysates.
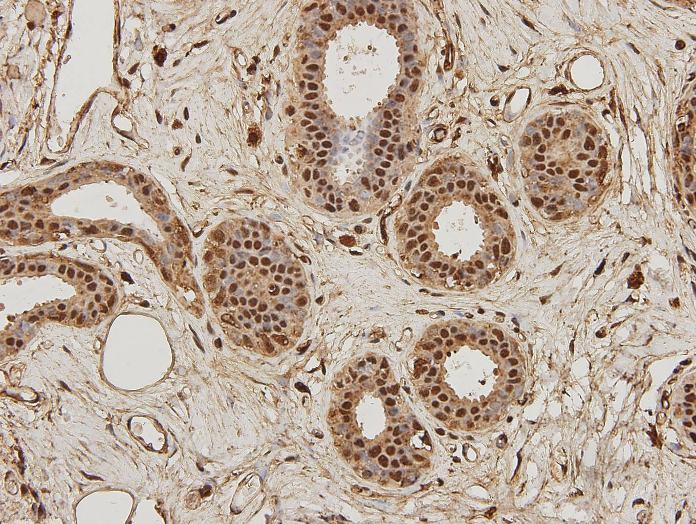
2. Immunohistochemical analysis of paraffin-embedded human breast carcinoma tissue using anti-NF-κB p105/p50 antibody. Counter stained with hematoxylin.
3. ICC staining NF-κB p105/p50 in HepG2 cells (red). Cells were fixed in paraformaldehyde, permeabilised with 0.25% Triton X100/PBS.
verifiedActivityverifiedActivityverifiedActivity
应用ICCIHCWB
推荐剂量
WB: 1:1000-2000; IHC: 1:200-500; ICC: 1:200
抗体种类
Monoclonal
宿主来源Mouse
构建方式Hybridoma Monoclonal Antibody
纯化方式ProA affinity purified
性状Liquid
缓冲液1*TBS (pH7.4), 1%BSA, 40%Glycerol. Preservative: 0.05% Sodium Azide.
研究背景NF-kappa-B is a pleiotropic transcription factor present in almost all cell types and is the endpoint of a series of signal transduction events that are initiated by a vast array of stimuli related to many biological processes such as inflammation, immunity, differentiation, cell growth, tumorigenesis and apoptosis. NF-kappa-B is a homo- or heterodimeric complex formed by the Rel-like domain-containing proteins RELA/p65, RELB, NFKB1/p105, NFKB1/p50, REL and NFKB2/p52 and the heterodimeric p65-p50 complex appears to be most abundant one. The dimers bind at kappa-B sites in the DNA of their target genes and the individual dimers have distinct preferences for different kappa-B sites that they can bind with distinguishable affinity and specificity. Different dimer combinations act as transcriptional activators or repressors, respectively. NF-kappa-B is controlled by various mechanisms of post-translational modification and subcellular compartmentalization as well as by interactions with other cofactors or corepressors. NF-kappa-B heterodimeric p65-p50 and RelB-p50 complexes are transcriptional activators.
偶联与修饰
偶联
Unconjugated
抗原信息
免疫原
KLH conjugated synthetic peptide: NF-κB p105/p50
Uniprot ID
化学信息
分子量Theoretical: 50 kDa.
存储&运输
储存方式Store at -20°C or -80°C for 12 months. Avoid repeated freeze-thaw cycles.
运输方式Shipping with blue ice.

计算器

  • 稀释 计算器

关键词

评论列表

4个月前
5.0
Rating icon 很棒

评论内容

Related Tags: buy Anti-NFKB1 Antibody (6X277) | purchase Anti-NFKB1 Antibody (6X277) | Anti-NFKB1 Antibody (6X277) cost | order Anti-NFKB1 Antibody (6X277) | Anti-NFKB1 Antibody (6X277) molecular weight