购物车
  • 全部删除
  • TargetMol
    您的购物车当前为空

Anti-NEFH Antibody (9O45)

一键复制产品信息
Rating icon 还可以
产品编号 TMAC-02785
别名 NF-H, NFH, Neurofilament triplet H protein, Neurofilament heavy polypeptide, NEFH, KIAA0845, 200 kDa neurofilament protein

Anti-NEFH Antibody (9O45) 是一种 Rabbit 抗体,靶向 NEFH。Anti-NEFH Antibody (9O45) 可用于 IHC,WB。

Anti-NEFH Antibody (9O45)

Anti-NEFH Antibody (9O45)

一键复制产品信息
Rating icon 还可以
产品编号 TMAC-02785 别名 NF-H, NFH, Neurofilament triplet H protein, Neurofilament heavy polypeptide, NEFH, KIAA0845, 200 kDa neurofilament protein

Anti-NEFH Antibody (9O45) 是一种 Rabbit 抗体,靶向 NEFH。Anti-NEFH Antibody (9O45) 可用于 IHC,WB。

规格价格库存数量
50 μL
¥ 1,490
5日内发货
100 μL
¥ 2,480
5日内发货
大包装 & 定制
加入购物车
TargetMol 的所有产品仅用作科学研究或药证申报,不能被用于人体,我们不向个人提供产品和服务。请您遵守承诺用途,不得违反法律法规规定用于任何其他用途。
实验操作小课堂
常见问题解答
查看更多
联系我们获取更多批次信息
资源下载

产品介绍

生物活性
产品描述
Anti-NEFH Antibody (9O45) is a Rabbit antibody targeting NEFH. Anti-NEFH Antibody (9O45) can be used in IHC,WB.
别名NF-H, NFH, Neurofilament triplet H protein, Neurofilament heavy polypeptide, NEFH, KIAA0845, 200 kDa neurofilament protein
Ig Type
IgG
克隆号
9O45
交叉反应
Human,Mouse,Rat
验证活性
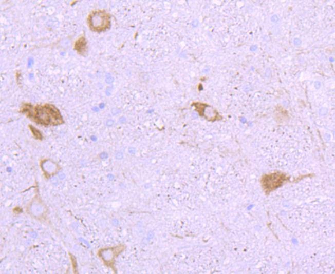
1. Immunohistochemical analysis of paraffin-embedded rat cerebellum tissue using anti-NEFH antibody. Counter stained with hematoxylin.
2. Immunohistochemical analysis of paraffin-embedded mouse brain tissue using anti-NEFH antibody. Counter stained with hematoxylin.
3. Western blot analysis of NEFH expression in human brain lysate.
verifiedActivityverifiedActivityverifiedActivity
应用IHCWB
推荐剂量
WB: 1:500-2000; IHC: 1:100-500
抗体种类
Monoclonal
宿主来源Rabbit
构建方式Recombinant Antibody
纯化方式Affinity-chromatography
性状Liquid
缓冲液Rabbit IgG in phosphate buffered saline , pH 7.4, 150mM NaCl, 0.02% sodium azide and 50% glycerol.
研究背景Neurofilaments usually contain three intermediate filament proteins: L, M, and H which are involved in the maintenance of neuronal caliber. NF-H has an important function in mature axons that is not subserved by the two smaller NF proteins.
偶联与修饰
偶联
Unconjugated
抗原信息
免疫原
A synthesized peptide: human NEFH
抗原种属
human
Uniprot ID
化学信息
分子量Theoretical: 200 kDa.
存储&运输
储存方式Store at 2°C-8°C for 1 month. Store at -20°C or -80°C for 12 months. Avoid repeated freeze-thaw cycles.
运输方式Shipping with blue ice.

计算器

  • 稀释 计算器

关键词

评论列表

4个月前
5.0
Rating icon 很棒

评论内容

Related Tags: buy Anti-NEFH Antibody (9O45) | purchase Anti-NEFH Antibody (9O45) | Anti-NEFH Antibody (9O45) cost | order Anti-NEFH Antibody (9O45) | Anti-NEFH Antibody (9O45) molecular weight