购物车
  • TargetMol
    您的购物车当前为空

Anti-NEFH Antibody (9C4)

Synonyms: NF-H, NFH, Neurofilament triplet H protein, Neurofilament heavy polypeptide, NEFH, KIAA0845, 200 kDa neurofilament protein
货号 TMAC-02807 一键复制产品信息
Rating icon 还可以

Anti-NEFH Antibody (9C4) 是一种 Mouse 抗体,靶向 NEFH。Anti-NEFH Antibody (9C4) 可用于 IF,IHC-P,IP,WB。

Anti-NEFH Antibody (9C4)

一键复制产品信息
Rating icon 还可以
货号 TMAC-02807

别名 NF-H, NFH, Neurofilament triplet H protein, Neurofilament heavy polypeptide, NEFH, KIAA0845, 200 kDa neurofilament protein

Anti-NEFH Antibody (9C4) 是一种 Mouse 抗体,靶向 NEFH。Anti-NEFH Antibody (9C4) 可用于 IF,IHC-P,IP,WB。

Anti-NEFH Antibody (9C4)
规格价格库存数量
50 μL
¥ 1,985
5日内发货
100 μL
¥ 2,980
5日内发货
库存状态实时更新,以官网显示为准,现货产品可直接加购物车下单
大包装 & 定制
加入购物车

TargetMol的所有产品仅用作科学研究或药证申报,不能被用于人体,我们不向个人提供产品和服务。请您遵守承诺用途,不得违反法律法规规定用于任何其他用途。

实验操作小课堂
常见问题解答
查看更多

资源下载:产品操作手册

产品介绍


生物活性
产品描述
Anti-NEFH Antibody (9C4) is a Mouse antibody targeting NEFH. Anti-NEFH Antibody (9C4) can be used in IF,IHC-P,IP,WB.
别名
NF-H, NFH, Neurofilament triplet H protein, Neurofilament heavy polypeptide, NEFH, KIAA0845, 200 kDa neurofilament protein
克隆号
9C4
反应种属
Human,Mouse,Rat
验证活性
1. Western blot analysis of NF-H expression in rat brain (A) and mouse brain (B) tissue extracts.
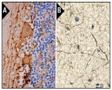
2. Immunoperoxidase staining of formalin fixed, paraffin-embedded human cerebellum tissue showing membrane and cytoplasmic staining of Purkinje cells and neuropil staining in granular layer and molecular layer (A). Immunoperoxidase staining of formalin fixed, paraffin-embedded human cerebellum tissue showing membrane and cytoplasmic staining of Purkinje cells and neuropil staining in granular layer and molecular layer (B).
verifiedActivityverifiedActivity
应用IFIHC-PIPWB
推荐剂量
WB: 1:500-1000; IHC-P: 1:50-500; IP: 1-2 μg per 100-500 μg of total protein(1 ml of cell lysate)
抗体种类
Monoclonal
宿主来源Mouse
构建方式Hybridoma Monoclonal Antibody
纯化方式ProA affinity purified
性状Liquid
缓冲液1*TBS (pH7.4), 1%BSA, 40%Glycerol. Preservative: 0.05% Sodium Azide.
研究背景Neurofilament-H (NF-H), for neurofilament heavy polypeptide, a member of the intermediate filament family, is a major component of neuronal cytoskeletons. Neurofilaments are dynamic structures; they contain phosphorylation sites for a large number of protein kinases, including protein kinase A, protein kinase C, cyclin-dependent kinase 5, extracellular signal regulated kinase, glycogen synthase kinase-3, and stress-activated protein kinase gamma. In addition to their role in the control of axon caliber, neurofilaments may affect other cytoskeletal elements, such as microtubules and Actin filaments. Changes in neurofilament phosphorylation or metabolism are frequently observed in neurodegenerative diseases, including amyotrophic lateral sclerosis (ALS), Parkinson's disease and Alzheimer's disease.
偶联与修饰
偶联
Unconjugated
抗原信息
免疫原
A neurofilament NF-H protein isolated from a cytoskeletal preparation from brain tissue homogenate of calf origin
Uniprot ID
化学信息
分子量Theoretical: 200 kDa.
储存&溶解度
储存方式Store at -20°C or -80°C for 12 months. Avoid repeated freeze-thaw cycles.
运输方式Shipping with blue ice.

计算器

  • 稀释 计算器
  • 配液 计算器

关键词

Related Tags: buy Anti-NEFH Antibody (9C4) | purchase Anti-NEFH Antibody (9C4) | Anti-NEFH Antibody (9C4) cost | order Anti-NEFH Antibody (9C4) | Anti-NEFH Antibody (9C4) molecular weight