购物车
  • TargetMol
    您的购物车当前为空

Anti-Myosin Light Chain 2 Antibody (9W601)

Synonyms: ventricular/cardiac muscle isoform, Slow cardiac myosin regulatory light chain 2, RLC of myosin, Regulatory light chain of myosin, Myosin regulatory light chain 2 ventricular/cardiac muscle isoform, Myosin regulatory light chain 2, Myosin light polypeptide 2 regulatory cardiac slow, Myosin light chain 2 regulatory cardiac slow, MYL2, MYL 2, MLRV_HUMAN, MLC-2v, MLC-2, MLC2, MLC 2v, CMH10, Cardiac ventricular myosin light chain 2, Cardiac myosin light chain-2
货号 TMAC-02730 一键复制产品信息
Rating icon 还可以

Anti-Myosin Light Chain 2 Antibody (9W601) 是一种 Rabbit 抗体,靶向 Myosin Light Chain 2。Anti-Myosin Light Chain 2 Antibody (9W601) 可用于 IHC,IP,WB。

Anti-Myosin Light Chain 2 Antibody (9W601)

一键复制产品信息
Rating icon 还可以
货号 TMAC-02730

别名 ventricular/cardiac muscle isoform, Slow cardiac myosin regulatory light chain 2, RLC of myosin, Regulatory light chain of myosin, Myosin regulatory light chain 2 ventricular/cardiac muscle isoform, Myosin regulatory light chain 2, Myosin light polypeptide 2 regulatory cardiac slow, Myosin light chain 2 regulatory cardiac slow, MYL2, MYL 2, MLRV_HUMAN, MLC-2v, MLC-2, MLC2, MLC 2v, CMH10, Cardiac ventricular myosin light chain 2, Cardiac myosin light chain-2

Anti-Myosin Light Chain 2 Antibody (9W601) 是一种 Rabbit 抗体,靶向 Myosin Light Chain 2。Anti-Myosin Light Chain 2 Antibody (9W601) 可用于 IHC,IP,WB。

Anti-Myosin Light Chain 2 Antibody (9W601)
规格价格库存数量
50 μL
¥ 1,490
5日内发货
100 μL
¥ 2,480
5日内发货
库存状态实时更新,以官网显示为准,现货产品可直接加购物车下单
大包装 & 定制
加入购物车

TargetMol的所有产品仅用作科学研究或药证申报,不能被用于人体,我们不向个人提供产品和服务。请您遵守承诺用途,不得违反法律法规规定用于任何其他用途。

实验操作小课堂
常见问题解答
查看更多

资源下载:产品操作手册

产品介绍


生物活性
产品描述
Anti-Myosin Light Chain 2 Antibody (9W601) is a Rabbit antibody targeting Myosin Light Chain 2. Anti-Myosin Light Chain 2 Antibody (9W601) can be used in IHC,IP,WB.
别名
ventricular/cardiac muscle isoform, Slow cardiac myosin regulatory light chain 2, RLC of myosin, Regulatory light chain of myosin, Myosin regulatory light chain 2 ventricular/cardiac muscle isoform, Myosin regulatory light chain 2, Myosin light polypeptide 2 regulatory cardiac slow, Myosin light chain 2 regulatory cardiac slow, MYL2, MYL 2, MLRV_HUMAN, MLC-2v, MLC-2, MLC2, MLC 2v, CMH10, Cardiac ventricular myosin light chain 2, Cardiac myosin light chain-2
Ig Type
IgG
克隆号
9W601
反应种属
Human,Mouse,Rat,zebrafish
验证活性
1. Western blot analysis of Myosin Light Chain 2 on different lysates using anti-Myosin Light Chain 2 antibody at 1/1,000 dilution. Positive control: Lane 1: mouse heart tissue lysate, Lane 2: rat heart tissue lysate.
2. Western blot analysis of Myosin Light Chain 2 on hybrid fish (crucian-carp) skin tissue lysate using anti-Myosin Light Chain 2 antibody at 1/500 dilution.
3. Immunohistochemical analysis of paraffin-embedded mouse skeletal muscle tissue using anti-Myosin Light Chain 2 antibody. Counter stained with hematoxylin.
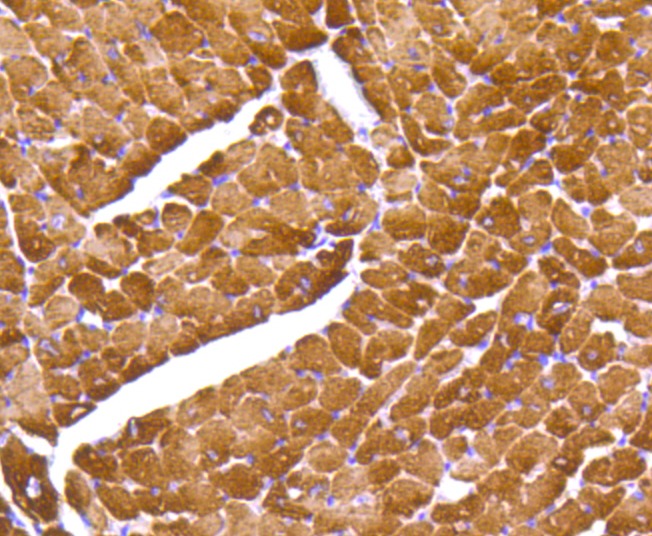
4. Immunohistochemical analysis of paraffin-embedded mouse heart tissue using anti-Myosin Light Chain 2 antibody. Counter stained with hematoxylin.
verifiedActivityverifiedActivityverifiedActivityverifiedActivity
应用IHCIPWB
推荐剂量
WB: 1:1000-5000; IHC: 1:50-200
抗体种类
Monoclonal
宿主来源Rabbit
构建方式Recombinant Antibody
纯化方式ProA affinity purified
性状Liquid
缓冲液1*TBS (pH7.4), 1%BSA, 40%Glycerol. Preservative: 0.05% Sodium Azide.
研究背景Encoded by the MYL2 gene, myosin regulatory light chain 2, ventricular/cardiac muscle isoform, also designated MLC-2 or MLC2v, is part of a hexameric complex of two heavy chains and four light chains predominantly expressed in adult cardiac ventricle muscle. Myosin regulatory light chain 2 binds calcium and has been shown to be a useful molecular marker for cardiac chamber specification. The co-expression of myosin regulatory light chain 7 (MYL7) and myosin regulatory light chain 2 in the outflow tract and atrioventricular canal, together with the single expression in the atrial (MYL7) and ventricular (MYL2) myocardium, permits the delineation of their boundaries. At the amino acid level there is 96% homology between the human and mouse myosin regulatory light chain sequences. Mutations in MYL2 are correlated with mid-left ventricular chamber type hypertrophic cardiomyopathy (MVC2) as well as familial hypertrophic cardiomyopathy type 10 (CMH10).
偶联与修饰
偶联
Unconjugated
抗原信息
免疫原
Recombinant Protein
Uniprot ID
化学信息
分子量Theoretical: 19 kDa.
储存&溶解度
储存方式Store at -20°C or -80°C for 12 months. Avoid repeated freeze-thaw cycles.
运输方式Shipping with blue ice.

计算器

  • 稀释 计算器
  • 配液 计算器
Related Tags: buy Anti-Myosin Light Chain 2 Antibody (9W601) | purchase Anti-Myosin Light Chain 2 Antibody (9W601) | Anti-Myosin Light Chain 2 Antibody (9W601) cost | order Anti-Myosin Light Chain 2 Antibody (9W601) | Anti-Myosin Light Chain 2 Antibody (9W601) molecular weight