购物车
  • 全部删除
  • TargetMol
    您的购物车当前为空

Anti-Myoglobin Antibody (7Y20)

一键复制产品信息
Rating icon 还可以
产品编号 TMAC-02723
别名 PVALB, Myoglobin, MGC13548, MB

Anti-Myoglobin Antibody (7Y20) 是一种 Rabbit 抗体,靶向 Myoglobin。Anti-Myoglobin Antibody (7Y20) 可用于 ICC/IF,IHC,IP,WB。

Anti-Myoglobin Antibody (7Y20)

Anti-Myoglobin Antibody (7Y20)

一键复制产品信息
Rating icon 还可以
产品编号 TMAC-02723 别名 PVALB, Myoglobin, MGC13548, MB

Anti-Myoglobin Antibody (7Y20) 是一种 Rabbit 抗体,靶向 Myoglobin。Anti-Myoglobin Antibody (7Y20) 可用于 ICC/IF,IHC,IP,WB。

规格价格库存数量
50 μL
¥ 1,495
5日内发货
100 μL
¥ 2,480
5日内发货
大包装 & 定制
加入购物车
TargetMol 的所有产品仅用作科学研究或药证申报,不能被用于人体,我们不向个人提供产品和服务。请您遵守承诺用途,不得违反法律法规规定用于任何其他用途。
实验操作小课堂
常见问题解答
查看更多
联系我们获取更多批次信息
资源下载

产品介绍

生物活性
产品描述
Anti-Myoglobin Antibody (7Y20) is a Rabbit antibody targeting Myoglobin. Anti-Myoglobin Antibody (7Y20) can be used in ICC/IF,IHC,IP,WB.
别名PVALB, Myoglobin, MGC13548, MB
Ig Type
IgG
克隆号
7Y20
交叉反应
Human,Mouse,Rat
验证活性
1. Western blot analysis of Myoglobin on human skeletal muscle lysates using anti-Myoglobin antibody at 1/1,000 dilution.
2. Immunohistochemical analysis of paraffin-embedded mouse skeletal muscle tissue using anti-Myoglobin antibody. Counter stained with hematoxylin.
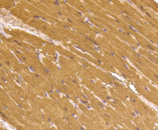
3. Immunohistochemical analysis of paraffin-embedded mouse heart tissue using anti-Myoglobin antibody. Counter stained with hematoxylin.
4. ICC staining Myoglobin in C2C12 cells (green). The nuclear counter stain is DAPI (blue). Cells were fixed in paraformaldehyde, permeabilised with 0.25% Triton X100/PBS.
verifiedActivityverifiedActivityverifiedActivityverifiedActivity
应用ICC/IFIHCIPWB
推荐剂量
WB: 1:1000-5000; IHC: 1:50-200; ICC/IF: 1:50-200
抗体种类
Monoclonal
宿主来源Rabbit
构建方式Recombinant Antibody
纯化方式ProA affinity purified
性状Liquid
缓冲液1*TBS (pH7.4), 1%BSA, 40%Glycerol. Preservative: 0.05% Sodium Azide.
研究背景Myoglobin is a cytosolic oxygen binding protein responsible for the storage and diffusion of oxygen within myocytes. Expression of myoglobin is highest in skeletal and cardiac muscle. Myoglobin is necessary for the maintenance of mitochondrial respiration during heavy and sustained contractile activity, and it is thought to transport oxygen from erythroyctes to mitochondria. The genomic structure of myoglobin appears to be conserved across a broad range of species, and contains a putative polyadenylation signal and a polypyrimidine-rich region. Human myoglobin is specified by a single gene, and it has been identified in human smooth muscle.
偶联与修饰
偶联
Unconjugated
抗原信息
免疫原
Recombinant Protein
Uniprot ID
化学信息
分子量Theoretical: 17 kDa.
存储&运输
储存方式Store at -20°C or -80°C for 12 months. Avoid repeated freeze-thaw cycles.
运输方式Shipping with blue ice.

计算器

  • 稀释 计算器

关键词

评论列表

4个月前
5.0
Rating icon 很棒

评论内容

Related Tags: buy Anti-Myoglobin Antibody (7Y20) | purchase Anti-Myoglobin Antibody (7Y20) | Anti-Myoglobin Antibody (7Y20) cost | order Anti-Myoglobin Antibody (7Y20) | Anti-Myoglobin Antibody (7Y20) molecular weight