购物车
  • TargetMol
    您的购物车当前为空

Anti-MVP Antibody (8H895)

Synonyms: VAULT1, VAULT 1, testicular secretory protein Li 30, MVP_HUMAN, MVP, Major vault protein, rat, homolog of, Major vault protein, Lung resistance-related protein, Lung resistance related protein, LRP
货号 TMAC-02697 一键复制产品信息
Rating icon 还可以

Anti-MVP Antibody (8H895) 是一种 Rabbit 抗体,靶向 MVP。Anti-MVP Antibody (8H895) 可用于 IHC,IP,WB。

Anti-MVP Antibody (8H895)

一键复制产品信息
Rating icon 还可以
货号 TMAC-02697

别名 VAULT1, VAULT 1, testicular secretory protein Li 30, MVP_HUMAN, MVP, Major vault protein, rat, homolog of, Major vault protein, Lung resistance-related protein, Lung resistance related protein, LRP

Anti-MVP Antibody (8H895) 是一种 Rabbit 抗体,靶向 MVP。Anti-MVP Antibody (8H895) 可用于 IHC,IP,WB。

Anti-MVP Antibody (8H895)
规格价格库存数量
50 μL
¥ 1,490
5日内发货
100 μL
¥ 2,480
5日内发货
库存状态实时更新,以官网显示为准,现货产品可直接加购物车下单
大包装 & 定制
加入购物车

TargetMol的所有产品仅用作科学研究或药证申报,不能被用于人体,我们不向个人提供产品和服务。请您遵守承诺用途,不得违反法律法规规定用于任何其他用途。

实验操作小课堂
常见问题解答
查看更多

资源下载:产品操作手册

产品介绍


生物活性
产品描述
Anti-MVP Antibody (8H895) is a Rabbit antibody targeting MVP. Anti-MVP Antibody (8H895) can be used in IHC,IP,WB.
别名
VAULT1, VAULT 1, testicular secretory protein Li 30, MVP_HUMAN, MVP, Major vault protein, rat, homolog of, Major vault protein, Lung resistance-related protein, Lung resistance related protein, LRP
Ig Type
IgG
克隆号
8H895
反应种属
Human
验证活性
1. Western blot analysis of DDAH1 on human kidney (1) and human liver (2) tissue lysate using anti-DDAH1 antibody at 1/1,000 dilution.
2. Immunohistochemical analysis of paraffin-embedded human prostate tissue using anti-DDAH1 antibody. Counter stained with hematoxylin.
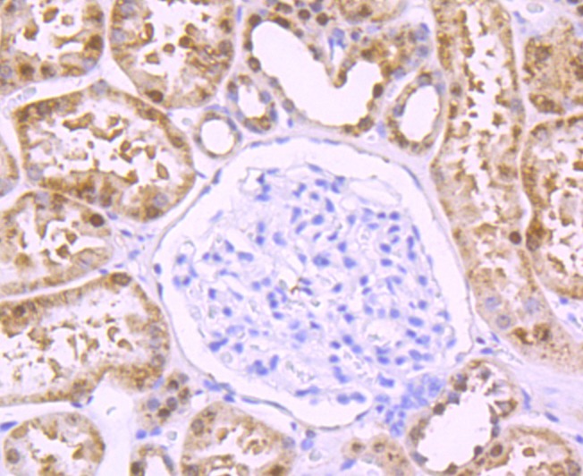
3. Immunohistochemical analysis of paraffin-embedded human kidney tissue using anti-DDAH1 antibody. Counter stained with hematoxylin.
verifiedActivityverifiedActivityverifiedActivity
应用IHCIPWB
推荐剂量
WB: 1:500-2000; IHC: 1:50-200
抗体种类
Monoclonal
宿主来源Rabbit
构建方式Recombinant Antibody
纯化方式ProA affinity purified
性状Liquid
缓冲液1*TBS (pH7.4), 1%BSA, 40%Glycerol. Preservative: 0.05% Sodium Azide.
研究背景DDAH, a dimethylarginine dimethylaminohydrolase, hydrolyzes dimethyl arginine (ADMA) and monomethyl arginine (MMA), both inhibitors of nitric oxide synthases, and may be involved in in-vivo modulation of nitric oxide production. Impairment of DDAH causes ADMA accumulation and a reduction in cGMP generation. DDAH II, the predominant DDAH isoform in endothelial cells, facilitates the induction of nitric oxide synthesis by all-trans-Retinoic acid (atRA). DDAH proteins are highly expressed in colon, kidney, stomach and liver tissues.
偶联与修饰
偶联
Unconjugated
抗原信息
免疫原
Recombinant Protein
储存&溶解度
储存方式Store at -20°C or -80°C for 12 months. Avoid repeated freeze-thaw cycles.
运输方式Shipping with blue ice.

计算器

  • 稀释 计算器
  • 配液 计算器
Related Tags: buy Anti-MVP Antibody (8H895) | purchase Anti-MVP Antibody (8H895) | Anti-MVP Antibody (8H895) cost | order Anti-MVP Antibody (8H895)