购物车
  • 全部删除
  • TargetMol
    您的购物车当前为空

Anti-Mono-methyl-Histone H2B type 1-B (Lys5) Polyclonal Antibody

一键复制产品信息
Rating icon 还可以
产品编号 TMAC-01874
别名 Mono-methyl-Histone H2B type 1-B (K5), Mono-Me-Histone H2B type 1-B (Lys5), Mono-Me-Histone H2B type 1-B (K5), MonoMe-H2K5, Histone H2K5-monomethylated, H2K5me

Anti-Mono-methyl-Histone H2B type 1-B (Lys5) Polyclonal Antibody 是一种 Rabbit 抗体,靶向 Mono-methyl-Histone H2B type 1-B (Lys5)。Anti-Mono-methyl-Histone H2B type 1-B (Lys5) Polyclonal Antibody 可用于 WB。

Anti-Mono-methyl-Histone H2B type 1-B (Lys5) Polyclonal Antibody

Anti-Mono-methyl-Histone H2B type 1-B (Lys5) Polyclonal Antibody

一键复制产品信息
Rating icon 还可以
产品编号 TMAC-01874 别名 Mono-methyl-Histone H2B type 1-B (K5), Mono-Me-Histone H2B type 1-B (Lys5), Mono-Me-Histone H2B type 1-B (K5), MonoMe-H2K5, Histone H2K5-monomethylated, H2K5me

Anti-Mono-methyl-Histone H2B type 1-B (Lys5) Polyclonal Antibody 是一种 Rabbit 抗体,靶向 Mono-methyl-Histone H2B type 1-B (Lys5)。Anti-Mono-methyl-Histone H2B type 1-B (Lys5) Polyclonal Antibody 可用于 WB。

规格价格库存数量
50 μL
¥ 1,495
5日内发货
100 μL
¥ 2,230
5日内发货
大包装 & 定制
加入购物车
TargetMol 的所有产品仅用作科学研究或药证申报,不能被用于人体,我们不向个人提供产品和服务。请您遵守承诺用途,不得违反法律法规规定用于任何其他用途。
实验操作小课堂
常见问题解答
查看更多
联系我们获取更多批次信息
资源下载

产品介绍

生物活性
产品描述
Anti-Mono-methyl-Histone H2B type 1-B (Lys5) Polyclonal Antibody is a Rabbit antibody targeting Mono-methyl-Histone H2B type 1-B (Lys5). Anti-Mono-methyl-Histone H2B type 1-B (Lys5) Polyclonal Antibody can be used in WB.
别名Mono-methyl-Histone H2B type 1-B (K5), Mono-Me-Histone H2B type 1-B (Lys5), Mono-Me-Histone H2B type 1-B (K5), MonoMe-H2K5, Histone H2K5-monomethylated, H2K5me
Ig Type
IgG
交叉反应
Human,Mouse,Rat
验证活性
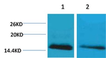
1. Western blot analysis of 1) Hela, 2)3T3, using TMAC-01874 diluted at 1:2,000.
verifiedActivity
应用WB
推荐剂量
WB: 1:500-1000
抗体种类
Polyclonal
宿主来源Rabbit
构建方式Polyclonal Antibody
纯化方式Affinity purification using immunogen.
性状Liquid
缓冲液Rabbit Antiserum, containing 0.02% sodium azide as Preservative and 50% Glycerol.
研究背景Histone H2B is one of the 5 main histone proteins involved in the structure of chromatin in eukaryotic cells.
偶联与修饰
偶联
Unconjugated
其他可选修饰符
Methylated/Acetylated
抗原信息
免疫原
A synthesized monomethylpeptide: human histone H2B around the Monomethylation site of Lys25
抗原种属
human
Uniprot ID
化学信息
分子量Actual: 14 kDa.
存储&运输
储存方式Store at -20°C or -80°C for 12 months. Avoid repeated freeze-thaw cycles.
运输方式Shipping with blue ice.

计算器

  • 稀释 计算器

关键词

评论列表

4个月前
5.0
Rating icon 很棒

评论内容

Related Tags: buy Anti-Mono-methyl-Histone H2B type 1-B (Lys5) Polyclonal Antibody | purchase Anti-Mono-methyl-Histone H2B type 1-B (Lys5) Polyclonal Antibody | Anti-Mono-methyl-Histone H2B type 1-B (Lys5) Polyclonal Antibody cost | order Anti-Mono-methyl-Histone H2B type 1-B (Lys5) Polyclonal Antibody | Anti-Mono-methyl-Histone H2B type 1-B (Lys5) Polyclonal Antibody molecular weight