购物车
  • TargetMol
    您的购物车当前为空

Anti-MMP17 Antibody (1E489)

Synonyms: MTMMP4, MT-MMP 4, MTMMP 4, MT4-MMP, MT4MMP, MT4 MMP, MT MMP4, MT MMP 4, MMP17_HUMAN, MMP 17, Membrane-type-4 matrix metalloproteinase, Membrane-type matrix metalloproteinase 4, Membrane type matrix metalloproteinase 4, Membrane type 4 matrix metalloproteinase, Matrix metalloproteinase-17, Matrix metalloproteinase 17 membrane inserted, Matrix metalloproteinase 17
货号 TMAC-02620 一键复制产品信息
Rating icon 还可以

Anti-MMP17 Antibody (1E489) 是一种 Rabbit 抗体,靶向 MMP17。Anti-MMP17 Antibody (1E489) 可用于 ICC,IF,IHC,WB。

Anti-MMP17 Antibody (1E489)

一键复制产品信息
Rating icon 还可以
货号 TMAC-02620

别名 MTMMP4, MT-MMP 4, MTMMP 4, MT4-MMP, MT4MMP, MT4 MMP, MT MMP4, MT MMP 4, MMP17_HUMAN, MMP 17, Membrane-type-4 matrix metalloproteinase, Membrane-type matrix metalloproteinase 4, Membrane type matrix metalloproteinase 4, Membrane type 4 matrix metalloproteinase, Matrix metalloproteinase-17, Matrix metalloproteinase 17 membrane inserted, Matrix metalloproteinase 17

Anti-MMP17 Antibody (1E489) 是一种 Rabbit 抗体,靶向 MMP17。Anti-MMP17 Antibody (1E489) 可用于 ICC,IF,IHC,WB。

Anti-MMP17 Antibody (1E489)
规格价格库存数量
50 μL
¥ 1,480
5日内发货
100 μL
¥ 2,485
5日内发货
库存状态实时更新,以官网显示为准,现货产品可直接加购物车下单
大包装 & 定制
加入购物车

TargetMol的所有产品仅用作科学研究或药证申报,不能被用于人体,我们不向个人提供产品和服务。请您遵守承诺用途,不得违反法律法规规定用于任何其他用途。

实验操作小课堂
常见问题解答
查看更多

资源下载:产品操作手册

产品介绍


生物活性
产品描述
Anti-MMP17 Antibody (1E489) is a Rabbit antibody targeting MMP17. Anti-MMP17 Antibody (1E489) can be used in ICC,IF,IHC,WB.
别名
MTMMP4, MT-MMP 4, MTMMP 4, MT4-MMP, MT4MMP, MT4 MMP, MT MMP4, MT MMP 4, MMP17_HUMAN, MMP 17, Membrane-type-4 matrix metalloproteinase, Membrane-type matrix metalloproteinase 4, Membrane type matrix metalloproteinase 4, Membrane type 4 matrix metalloproteinase, Matrix metalloproteinase-17, Matrix metalloproteinase 17 membrane inserted, Matrix metalloproteinase 17
Ig Type
IgG
克隆号
1E489
反应种属
Human,Mouse,Rat
验证活性
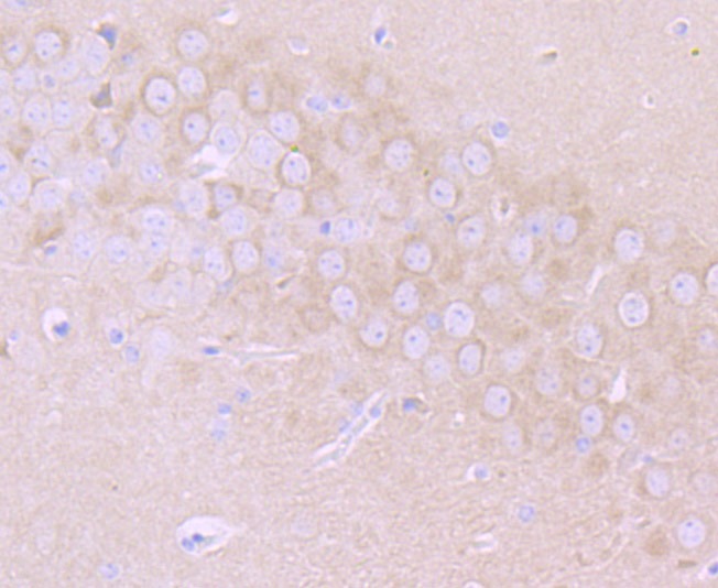
1. Immunohistochemical analysis of paraffin-embedded mouse brain tissue using anti-MMP17 antibody. Counter stained with hematoxylin.
2. ICC staining MMP17 in A549 cells (green). The nuclear counter stain is DAPI (blue). Cells were fixed in paraformaldehyde, permeabilised with 0.25% Triton X100/PBS.
3. ICC staining MMP17 in MCF-7 cells (green). The nuclear counter stain is DAPI (blue). Cells were fixed in paraformaldehyde, permeabilised with 0.25% Triton X100/PBS.
verifiedActivityverifiedActivityverifiedActivity
应用ICCIFIHCWB
推荐剂量
IHC: 1:50; ICC: 1:50
抗体种类
Monoclonal
宿主来源Rabbit
构建方式Recombinant Antibody
纯化方式ProA affinity purified
性状Liquid
缓冲液1*TBS (pH7.4), 1%BSA, 40%Glycerol. Preservative: 0.05% Sodium Azide.
研究背景Endopeptidase that degrades various components of the extracellular matrix, such as fibrin. May be involved in the activation of membrane-bound precursors of growth factors or inflammatory mediators, such as tumor necrosis factor-alpha. May also be involved in tumoral process. Cleaves pro-TNF-alpha at the '74-Ala-|-Gln-75' site. Not obvious if able to proteolytically activate progelatinase A. Does not hydrolyze collagen types I, II, III, IV and V, gelatin, fibronectin, laminin, decorin nor alpha1-antitrypsin.
偶联与修饰
偶联
Unconjugated
抗原信息
免疫原
Recombinant Protein: human MMP17 aa 1-250
抗原种属
human
Uniprot ID
化学信息
分子量Theoretical: 67 kDa.
储存&溶解度
储存方式Store at -20°C or -80°C for 12 months. Avoid repeated freeze-thaw cycles.
运输方式Shipping with blue ice.

计算器

  • 稀释 计算器
  • 配液 计算器
Related Tags: buy Anti-MMP17 Antibody (1E489) | purchase Anti-MMP17 Antibody (1E489) | Anti-MMP17 Antibody (1E489) cost | order Anti-MMP17 Antibody (1E489) | Anti-MMP17 Antibody (1E489) molecular weight