购物车
  • TargetMol
    您的购物车当前为空

Anti-MMP11 Antibody (2X863)

Synonyms: MMP 11
货号 TMAC-02616 一键复制产品信息
Rating icon 还可以

Anti-MMP11 Antibody (2X863) 是一种 Rabbit 抗体,靶向 MMP11。

Anti-MMP11 Antibody (2X863)

一键复制产品信息
Rating icon 还可以
货号 TMAC-02616

别名 MMP 11

Anti-MMP11 Antibody (2X863) 是一种 Rabbit 抗体,靶向 MMP11。

Anti-MMP11 Antibody (2X863)
规格价格库存数量
50 μL
¥ 1,480
5日内发货
100 μL
¥ 2,480
5日内发货
库存状态实时更新,以官网显示为准,现货产品可直接加购物车下单
大包装 & 定制
加入购物车

TargetMol的所有产品仅用作科学研究或药证申报,不能被用于人体,我们不向个人提供产品和服务。请您遵守承诺用途,不得违反法律法规规定用于任何其他用途。

实验操作小课堂
常见问题解答
查看更多

资源下载:产品操作手册

产品介绍


生物活性
产品描述
Anti-MMP11 Antibody (2X863) is a Rabbit antibody targeting MMP11.
别名
MMP 11
Ig Type
IgG
克隆号
2X863
验证活性
1. Western blot analysis of MMP11 on mouse spleen lysates using anti-MMP11 antibody at 1/1,000 dilution.
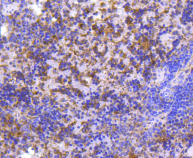
2. Immunohistochemical analysis of paraffin-embedded human spleen tissue using anti-MMP11 antibody. Counter stained with hematoxylin.
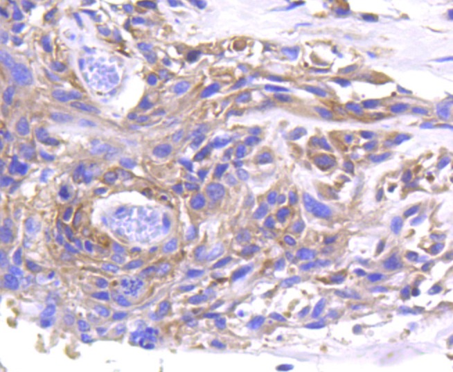
3. Immunohistochemical analysis of paraffin-embedded human breast carcinoma tissue using anti-MMP11 antibody. Counter stained with hematoxylin.
4. Immunohistochemical analysis of paraffin-embedded mouse spleen tissue using anti-MMP11 antibody. Counter stained with hematoxylin.
5. ICC staining MMP11 in SW480 cells (green). The nuclear counter stain is DAPI (blue). Cells were fixed in paraformaldehyde, permeabilised with 0.25% Triton X100/PBS.
6. ICC staining MMP11 in MCF-7 cells (green). The nuclear counter stain is DAPI (blue). Cells were fixed in paraformaldehyde, permeabilised with 0.25% Triton X100/PBS.
7. ICC staining MMP11 in A549 cells (green). The nuclear counter stain is DAPI (blue). Cells were fixed in paraformaldehyde, permeabilised with 0.25% Triton X100/PBS.
verifiedActivityverifiedActivityverifiedActivityverifiedActivityverifiedActivityverifiedActivityverifiedActivity
抗体种类
Monoclonal
宿主来源Rabbit
构建方式Recombinant Antibody
性状Liquid
偶联与修饰
偶联
Unconjugated
储存&溶解度
运输方式Shipping with blue ice.

计算器

  • 稀释 计算器
  • 配液 计算器
Related Tags: buy Anti-MMP11 Antibody (2X863) | purchase Anti-MMP11 Antibody (2X863) | Anti-MMP11 Antibody (2X863) cost | order Anti-MMP11 Antibody (2X863)