购物车
  • TargetMol
    您的购物车当前为空

Anti-MKP-3 Antibody (2L119)

Synonyms: Serine/threonine specific protein phosphatase, PYST1, PYST 1, MKP3, Mitogen-activated protein kinase phosphatase 3, Mitogen activated protein kinase phosphatase 3, MAP kinase phosphatase 3, hide, HH19, DUSP6a, Dusp6, DUSP 6a, DUSP 6, DUS6_HUMAN, Dual specificity protein phosphatase PYST1, Dual specificity protein phosphatase 6, Dual specificity phosphatase 6 isoform a, Dual specificity phosphatase 6
货号 TMAC-02600 一键复制产品信息
Rating icon 还可以

Anti-MKP-3 Antibody (2L119) 是一种 Mouse 抗体,靶向 MKP-3。Anti-MKP-3 Antibody (2L119) 可用于 IF,IHC-P,IP,WB。

Anti-MKP-3 Antibody (2L119)

一键复制产品信息
Rating icon 还可以
货号 TMAC-02600

别名 Serine/threonine specific protein phosphatase, PYST1, PYST 1, MKP3, Mitogen-activated protein kinase phosphatase 3, Mitogen activated protein kinase phosphatase 3, MAP kinase phosphatase 3, hide, HH19, DUSP6a, Dusp6, DUSP 6a, DUSP 6, DUS6_HUMAN, Dual specificity protein phosphatase PYST1, Dual specificity protein phosphatase 6, Dual specificity phosphatase 6 isoform a, Dual specificity phosphatase 6

Anti-MKP-3 Antibody (2L119) 是一种 Mouse 抗体,靶向 MKP-3。Anti-MKP-3 Antibody (2L119) 可用于 IF,IHC-P,IP,WB。

Anti-MKP-3 Antibody (2L119)
规格价格库存数量
50 μL
¥ 1,980
5日内发货
100 μL
¥ 2,990
5日内发货
库存状态实时更新,以官网显示为准,现货产品可直接加购物车下单
大包装 & 定制
加入购物车

TargetMol的所有产品仅用作科学研究或药证申报,不能被用于人体,我们不向个人提供产品和服务。请您遵守承诺用途,不得违反法律法规规定用于任何其他用途。

实验操作小课堂
常见问题解答
查看更多

资源下载:产品操作手册

产品介绍


生物活性
产品描述
Anti-MKP-3 Antibody (2L119) is a Mouse antibody targeting MKP-3. Anti-MKP-3 Antibody (2L119) can be used in IF,IHC-P,IP,WB.
别名
Serine/threonine specific protein phosphatase, PYST1, PYST 1, MKP3, Mitogen-activated protein kinase phosphatase 3, Mitogen activated protein kinase phosphatase 3, MAP kinase phosphatase 3, hide, HH19, DUSP6a, Dusp6, DUSP 6a, DUSP 6, DUS6_HUMAN, Dual specificity protein phosphatase PYST1, Dual specificity protein phosphatase 6, Dual specificity phosphatase 6 isoform a, Dual specificity phosphatase 6
克隆号
2L119
反应种属
Human,Mouse,Rat
验证活性
1. Western blot analysis of MKP-3 expression in non-transfected (A) and human MKP-3 transfected (B) 293T whole cell lysates.
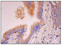
2. Immunoperoxidase staining of formalin fixed, paraffin-embedded human bronchus tissue showing cytoplasmic staining of respiratory epithelial cells.
verifiedActivityverifiedActivity
应用IFIHC-PIPWB
推荐剂量
WB: 1:100-1000; IHC-P: 1:50-500; IP: 1-2 μg per 100-500 μg of total protein(1 ml of cell lysate)
抗体种类
Monoclonal
宿主来源Mouse
构建方式Hybridoma Monoclonal Antibody
纯化方式ProA affinity purified
性状Liquid
缓冲液1*TBS (pH7.4), 1%BSA, 40%Glycerol. Preservative: 0.05% Sodium Azide.
研究背景Mitogen-activated protein (MAP) kinases are a large class of proteins involved in signal transduction pathways that are activated by a range of stimuli and mediate a number of physiological and pathological changes in the cell. Dual specificity phosphatases (DSPs) are a subclass of the protein tyrosine phosphatase (PTP) gene superfamily, which are selective for dephosphorylating critical phosphothreonine and phosphotyrosine residues within MAP kinases. DSP gene expression is induced by a host of growth factors and/or cellular stresses, thereby negatively regulating MAP kinase superfamily members including MAPK/ERK, SAPK/JNK and p38. The members of the dual-specificity phosphatase protein family include MKP-1/CL100 (3CH134), VHR, PAC1, MKP-2, hVH-3 (B23), hVH-5, MKP-3, MKP-X, and MKP-4. Human MKP-3 maps to chromosome 12q21.33 and encodes a 381 amino acid protein that specifically inactivates members of the ERK family and is expressed in a variety of tissues with the highest levels in heart and pancreas.
偶联与修饰
偶联
Unconjugated
抗原信息
免疫原
Peptide
Uniprot ID
化学信息
分子量Theoretical: 42 kDa.
储存&溶解度
储存方式Store at -20°C or -80°C for 12 months. Avoid repeated freeze-thaw cycles.
运输方式Shipping with blue ice.

计算器

  • 稀释 计算器
  • 配液 计算器
Related Tags: buy Anti-MKP-3 Antibody (2L119) | purchase Anti-MKP-3 Antibody (2L119) | Anti-MKP-3 Antibody (2L119) cost | order Anti-MKP-3 Antibody (2L119) | Anti-MKP-3 Antibody (2L119) molecular weight