购物车
  • 全部删除
  • TargetMol
    您的购物车当前为空

Anti-MGMT Antibody (6G140)

一键复制产品信息
Rating icon 还可以
产品编号 TMAC-02579
别名 O-6-methylguanine-DNA-alkyltransferase, MGMT, Methylated-DNA--protein-cysteine methyltransferase, 6-O-methylguanine-DNAmethyltransferase

Anti-MGMT Antibody (6G140) 是一种 Rabbit 抗体,靶向 MGMT。Anti-MGMT Antibody (6G140) 可用于 IHC,WB。

Anti-MGMT Antibody (6G140)

Anti-MGMT Antibody (6G140)

一键复制产品信息
Rating icon 还可以
产品编号 TMAC-02579 别名 O-6-methylguanine-DNA-alkyltransferase, MGMT, Methylated-DNA--protein-cysteine methyltransferase, 6-O-methylguanine-DNAmethyltransferase

Anti-MGMT Antibody (6G140) 是一种 Rabbit 抗体,靶向 MGMT。Anti-MGMT Antibody (6G140) 可用于 IHC,WB。

规格价格库存数量
50 μL
¥ 1,490
5日内发货
100 μL
¥ 2,485
5日内发货
大包装 & 定制
加入购物车
TargetMol 的所有产品仅用作科学研究或药证申报,不能被用于人体,我们不向个人提供产品和服务。请您遵守承诺用途,不得违反法律法规规定用于任何其他用途。
实验操作小课堂
常见问题解答
查看更多
联系我们获取更多批次信息
资源下载

产品介绍

生物活性
产品描述
Anti-MGMT Antibody (6G140) is a Rabbit antibody targeting MGMT. Anti-MGMT Antibody (6G140) can be used in IHC,WB.
别名O-6-methylguanine-DNA-alkyltransferase, MGMT, Methylated-DNA--protein-cysteine methyltransferase, 6-O-methylguanine-DNAmethyltransferase
Ig Type
IgG
克隆号
6G140
交叉反应
Human
验证活性
1. Western blot analysis of MGMT on different lysates using anti-MGMT antibody at 1/1,000 dilution. Positive control: Lane 1: MCF-7, Lane 2: Hela.
2. Immunohistochemical analysis of paraffin-embedded human tonsil tissue using anti-MGMT antibody. Counter stained with hematoxylin.
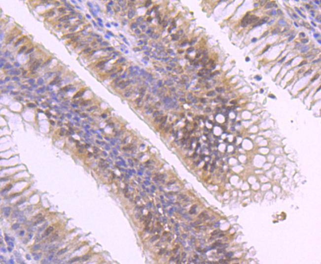
3. Immunohistochemical analysis of paraffin-embedded human lung cancer tissue using anti-MGMT antibody. Counter stained with hematoxylin.
verifiedActivityverifiedActivityverifiedActivity
应用IHCWB
推荐剂量
WB: 1:1000-2000; IHC: 1:50-200
抗体种类
Monoclonal
宿主来源Rabbit
构建方式Recombinant Antibody
纯化方式ProA affinity purified
性状Liquid
缓冲液1*TBS (pH7.4), 1%BSA, 40%Glycerol. Preservative: 0.05% Sodium Azide.
研究背景MGMT (O6-methylguanine-DNA methyltransferase) is transcriptionally activated in response to DNA damage and functions to repair mutagenic and cytotoxic O6-alkylguanine lesions caused by carcinogens or cytostatic drugs. MGMT induction by ionising radiation does not occur in p53-deficient mice, suggesting that MGMT induction may require p53. Similarly, MGMT mRNA and protein were shown to be inducible by ionising radiation, only in cell lines that express functional p53, and not in cell lines that do not express wild type p53. In contrast, high MGMT activity was associated with the presence of mutant p53, in a study of oral cancer cell lines. Similarly, MGMT activity was significantly lower in ovarian tumors with wildtype p53 than in tumors with mutant p53, supporting the view that wildtype p53 down-regulates the basal MGMT promoter.
偶联与修饰
偶联
Unconjugated
抗原信息
免疫原
Recombinant Protein
Uniprot ID
化学信息
分子量Theoretical: 22 kDa.
存储&运输
储存方式Store at -20°C or -80°C for 12 months. Avoid repeated freeze-thaw cycles.
运输方式Shipping with blue ice.

计算器

  • 稀释 计算器

评论列表

4个月前
5.0
Rating icon 很棒

评论内容

Related Tags: buy Anti-MGMT Antibody (6G140) | purchase Anti-MGMT Antibody (6G140) | Anti-MGMT Antibody (6G140) cost | order Anti-MGMT Antibody (6G140) | Anti-MGMT Antibody (6G140) molecular weight