购物车
  • 全部删除
  • TargetMol
    您的购物车当前为空

Anti-mGluR1 Antibody (4L730)

一键复制产品信息
Rating icon 还可以
产品编号 TMAC-02577
别名 SCAR13, MGLUR1-Alpha, MGLUR1A, mGluR 1, mGlu1, Metabotropic glutamate receptor 1, GRM1-Alpha, GRM1A, GRM1_HUMAN, GRM1, GPRC1A, glutamate receptor, metabotropic 1, Glutamate receptor metabotropic 1

Anti-mGluR1 Antibody (4L730) 是一种 Rabbit 抗体,靶向 mGluR1。Anti-mGluR1 Antibody (4L730) 可用于 IHC,WB。

Anti-mGluR1 Antibody (4L730)

Anti-mGluR1 Antibody (4L730)

一键复制产品信息
Rating icon 还可以
产品编号 TMAC-02577 别名 SCAR13, MGLUR1-Alpha, MGLUR1A, mGluR 1, mGlu1, Metabotropic glutamate receptor 1, GRM1-Alpha, GRM1A, GRM1_HUMAN, GRM1, GPRC1A, glutamate receptor, metabotropic 1, Glutamate receptor metabotropic 1

Anti-mGluR1 Antibody (4L730) 是一种 Rabbit 抗体,靶向 mGluR1。Anti-mGluR1 Antibody (4L730) 可用于 IHC,WB。

规格价格库存数量
50 μL
¥ 1,485
5日内发货
100 μL
¥ 2,490
5日内发货
大包装 & 定制
加入购物车
TargetMol 的所有产品仅用作科学研究或药证申报,不能被用于人体,我们不向个人提供产品和服务。请您遵守承诺用途,不得违反法律法规规定用于任何其他用途。
实验操作小课堂
常见问题解答
查看更多
联系我们获取更多批次信息
资源下载

产品介绍

生物活性
产品描述
Anti-mGluR1 Antibody (4L730) is a Rabbit antibody targeting mGluR1. Anti-mGluR1 Antibody (4L730) can be used in IHC,WB.
别名SCAR13, MGLUR1-Alpha, MGLUR1A, mGluR 1, mGlu1, Metabotropic glutamate receptor 1, GRM1-Alpha, GRM1A, GRM1_HUMAN, GRM1, GPRC1A, glutamate receptor, metabotropic 1, Glutamate receptor metabotropic 1
Ig Type
IgG
克隆号
4L730
交叉反应
Human,Mouse,Rat
验证活性
1. Western blot analysis of mGluR1 on rat brain cells lysates using anti-mGluR1 antibody at 1/500 dilution.
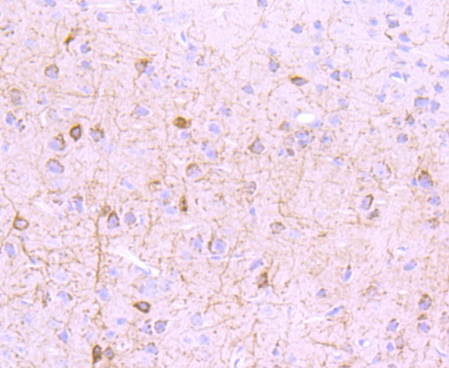
2. Immunohistochemical analysis of paraffin-embedded mouse brain tissue using anti-mGluR1 antibody. Counter stained with hematoxylin.
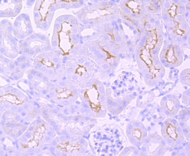
3. Immunohistochemical analysis of paraffin-embedded mouse kidney tissue using anti-mGluR1 antibody. Counter stained with hematoxylin.
verifiedActivityverifiedActivityverifiedActivity
应用IHCWB
推荐剂量
WB: 1:500-1000; IHC: 1:50-200
抗体种类
Monoclonal
宿主来源Rabbit
构建方式Recombinant Antibody
纯化方式ProA affinity purified
性状Liquid
缓冲液1*TBS (pH7.4), 1%BSA, 40%Glycerol. Preservative: 0.05% Sodium Azide.
研究背景G-protein coupled receptor for glutamate. Ligand binding causes a conformation change that triggers signaling via guanine nucleotide-binding proteins (G proteins) and modulates the activity of down-stream effectors. Signaling activates a phosphatidylinositol-calcium second messenger system. May participate in the central action of glutamate in the CNS, such as long-term potentiation in the hippocampus and long-term depression in the cerebellum.
偶联与修饰
偶联
Unconjugated
抗原信息
免疫原
Recombinant Protein
Uniprot ID
化学信息
分子量Theoretical: 200 kDa.
存储&运输
储存方式Store at -20°C or -80°C for 12 months. Avoid repeated freeze-thaw cycles.
运输方式Shipping with blue ice.

计算器

  • 稀释 计算器

评论列表

4个月前
5.0
Rating icon 很棒

评论内容

Related Tags: buy Anti-mGluR1 Antibody (4L730) | purchase Anti-mGluR1 Antibody (4L730) | Anti-mGluR1 Antibody (4L730) cost | order Anti-mGluR1 Antibody (4L730) | Anti-mGluR1 Antibody (4L730) molecular weight