购物车
  • TargetMol
    您的购物车当前为空

Anti-LTF/Lactoferrin Antibody (6J204)

Synonyms: Talalactoferrin, LTF, LF, Lactotransferrin, Lactoferroxin-C, Lactoferroxin-B, Lactoferroxin-A, Lactoferrin, Kaliocin-1
货号 TMAC-02359 一键复制产品信息
Rating icon 还可以

Anti-LTF/Lactoferrin Antibody (6J204) 是一种 Mouse 抗体,靶向 LTF/Lactoferrin。Anti-LTF/Lactoferrin Antibody (6J204) 可用于 ELISA,ICC/IF,IHC-P。

Anti-LTF/Lactoferrin Antibody (6J204)

一键复制产品信息
Rating icon 还可以
货号 TMAC-02359

别名 Talalactoferrin, LTF, LF, Lactotransferrin, Lactoferroxin-C, Lactoferroxin-B, Lactoferroxin-A, Lactoferrin, Kaliocin-1

Anti-LTF/Lactoferrin Antibody (6J204) 是一种 Mouse 抗体,靶向 LTF/Lactoferrin。Anti-LTF/Lactoferrin Antibody (6J204) 可用于 ELISA,ICC/IF,IHC-P。

Anti-LTF/Lactoferrin Antibody (6J204)
规格价格库存数量
50 μL
¥ 1,330
5日内发货
100 μL
¥ 2,180
5日内发货
库存状态实时更新,以官网显示为准,现货产品可直接加购物车下单
大包装 & 定制
加入购物车

TargetMol的所有产品仅用作科学研究或药证申报,不能被用于人体,我们不向个人提供产品和服务。请您遵守承诺用途,不得违反法律法规规定用于任何其他用途。

实验操作小课堂
常见问题解答
查看更多

资源下载:产品操作手册

产品介绍


生物活性
产品描述
Anti-LTF/Lactoferrin Antibody (6J204) is a Mouse antibody targeting LTF/Lactoferrin. Anti-LTF/Lactoferrin Antibody (6J204) can be used in ELISA,ICC/IF,IHC-P.
别名
Talalactoferrin, LTF, LF, Lactotransferrin, Lactoferroxin-C, Lactoferroxin-B, Lactoferroxin-A, Lactoferrin, Kaliocin-1
克隆号
6J204
反应种属
Human
验证活性
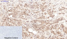
1. Immunohistochemical analysis of paraffin-embedded Human-breast-cancer tissue.
2. Immunofluorescence analysis of human-lung-cancer tissue.
verifiedActivityverifiedActivity
应用ELISAICC/IFIHC-P
推荐剂量
IHC-P 1:50-300; ICC/IF: 1:50-200 ELISA: 1:5000-10000
抗体种类
Monoclonal
宿主来源Mouse
构建方式Hybridoma Monoclonal Antibody
性状Liquid
缓冲液PBS, pH 7.4, containing 0.5%BSA, 0.02% sodium azide as Preservative and 50% Glycerol.
偶联与修饰
偶联
Unconjugated
抗原信息
免疫原
A synthesized peptide: Lactoferrin
化学信息
分子量Theoretical: 77 kDa.
储存&溶解度
储存方式Store at -20°C or -80°C for 12 months. Avoid repeated freeze-thaw cycles.
运输方式Shipping with blue ice.

计算器

  • 稀释 计算器
  • 配液 计算器
Related Tags: buy Anti-LTF/Lactoferrin Antibody (6J204) | purchase Anti-LTF/Lactoferrin Antibody (6J204) | Anti-LTF/Lactoferrin Antibody (6J204) cost | order Anti-LTF/Lactoferrin Antibody (6J204) | Anti-LTF/Lactoferrin Antibody (6J204) molecular weight