购物车
  • TargetMol
    您的购物车当前为空

Anti-LAMP2 Antibody (2T557)

Synonyms: lysosomal-associated membrane protein 2, LGP110, LAMPB, LAMP-2, CD107b
货号 TMAC-02367 一键复制产品信息
Rating icon 还可以

Anti-LAMP2 Antibody (2T557) 是一种 Rabbit 抗体,靶向 LAMP2。Anti-LAMP2 Antibody (2T557) 可用于 IHC,IP,WB。

Anti-LAMP2 Antibody (2T557)

一键复制产品信息
Rating icon 还可以
货号 TMAC-02367

别名 lysosomal-associated membrane protein 2, LGP110, LAMPB, LAMP-2, CD107b

Anti-LAMP2 Antibody (2T557) 是一种 Rabbit 抗体,靶向 LAMP2。Anti-LAMP2 Antibody (2T557) 可用于 IHC,IP,WB。

Anti-LAMP2 Antibody (2T557)
规格价格库存数量
50 μL
¥ 1,485
5日内发货
100 μL
¥ 2,480
5日内发货
库存状态实时更新,以官网显示为准,现货产品可直接加购物车下单
大包装 & 定制
加入购物车

TargetMol的所有产品仅用作科学研究或药证申报,不能被用于人体,我们不向个人提供产品和服务。请您遵守承诺用途,不得违反法律法规规定用于任何其他用途。

实验操作小课堂
常见问题解答
查看更多

资源下载:产品操作手册

产品介绍


生物活性
产品描述
Anti-LAMP2 Antibody (2T557) is a Rabbit antibody targeting LAMP2. Anti-LAMP2 Antibody (2T557) can be used in IHC,IP,WB.
别名
lysosomal-associated membrane protein 2, LGP110, LAMPB, LAMP-2, CD107b
Ig Type
IgG
克隆号
2T557
反应种属
Human,Mouse,Rat
验证活性
1. Western blot analysis of LAMP2a on different lysates using anti-LAMP2a antibody at 1/1,000 dilution. Positive control: Lane 1: Human placenta, Lane 2: JAR, Lane 3: Human liver.
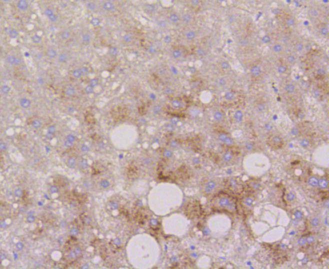
2. Immunohistochemical analysis of paraffin-embedded human liver tissue using anti-LAMP2a antibody. Counter stained with hematoxylin.
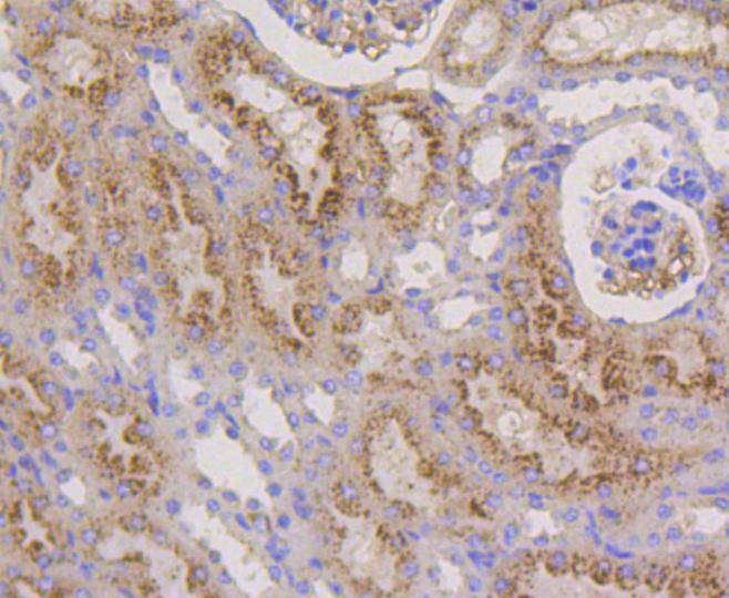
3. Immunohistochemical analysis of paraffin-embedded human kidney tissue using anti-LAMP2a antibody. Counter stained with hematoxylin.
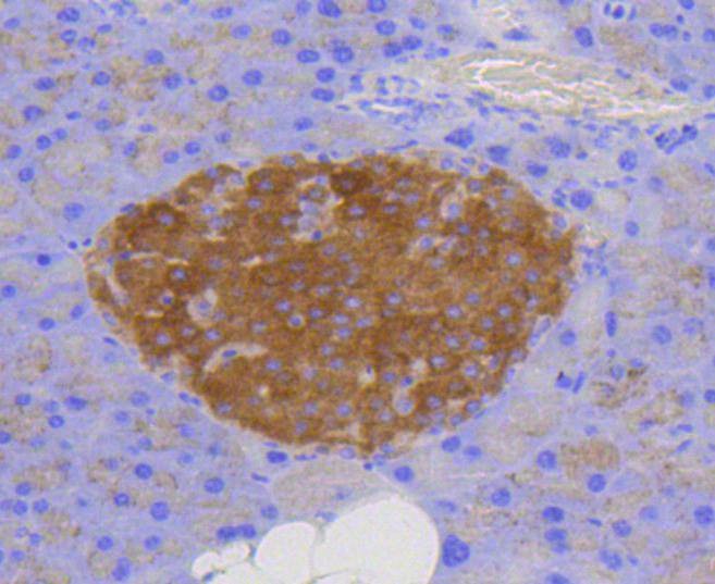
4. Immunohistochemical analysis of paraffin-embedded human pancreas tissue using anti-LAMP2a antibody. Counter stained with hematoxylin.
5. Immunohistochemical analysis of paraffin-embedded mouse kidney tissue using anti-LAMP2a antibody. Counter stained with hematoxylin.
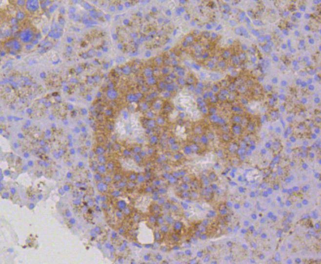
6. Immunohistochemical analysis of paraffin-embedded mouse placenta tissue using anti-LAMP2a antibody. Counter stained with hematoxylin.
7. Immunohistochemical analysis of paraffin-embedded mouse brain tissue using anti-LAMP2a antibody. Counter stained with hematoxylin.
verifiedActivityverifiedActivityverifiedActivityverifiedActivityverifiedActivityverifiedActivityverifiedActivity
应用IHCIPWB
推荐剂量
WB: 1:1000-5000; IHC: 1:50-200
抗体种类
Monoclonal
宿主来源Rabbit
构建方式Recombinant Antibody
纯化方式ProA affinity purified
性状Liquid
缓冲液1*TBS (pH7.4), 1%BSA, 40%Glycerol. Preservative: 0.05% Sodium Azide.
研究背景Lysosome-associated membrane proteins (LAMP) are glycosylated type I membrane proteins that play a role in the biogenesis of the pigment melanin. LAMP-1 (also designated CD107A) and LAMP-2 (also designated CD107B) are involved in a variety of functions, including cellular adhesion, and are thought to participate in the process of tumor invasion and metastasis. Newly synthesized LAMP-1 and LAMP-2 proteins are sorted at the trans Golgi network and are transported intracellularly via a pathway that is distinct from the clathrin-coated vesicles used for the mannose-6 phosphate receptor. LAMP-1 is expressed on the surface of thrombin-activated but not resting platelets, and it is thought to be involved in the adhesive, prothrombic properties of these cells. Both LAMP-1 and LAMP-2 are involved in maintaining lysosome acidity and protecting the lysosomal membranes from autodigestion, and their expression is increased in patients with lysosomal storage disorders.
偶联与修饰
偶联
Unconjugated
抗原信息
免疫原
Recombinant Protein
Uniprot ID
化学信息
分子量Theoretical: 120 kDa.
储存&溶解度
储存方式Store at -20°C or -80°C for 12 months. Avoid repeated freeze-thaw cycles.
运输方式Shipping with blue ice.

计算器

  • 稀释 计算器
  • 配液 计算器
Related Tags: buy Anti-LAMP2 Antibody (2T557) | purchase Anti-LAMP2 Antibody (2T557) | Anti-LAMP2 Antibody (2T557) cost | order Anti-LAMP2 Antibody (2T557) | Anti-LAMP2 Antibody (2T557) molecular weight