购物车
  • 全部删除
  • TargetMol
    您的购物车当前为空

Anti-KRT9 Antibody (1T211)

一键复制产品信息
Rating icon 还可以
产品编号 TMAC-01098
别名 type I cytoskeletal 9, Spermatid Perinuclear Ring Manchette Protein K9, Krt9, KRT 9, Keratin-9, Keratin9, Keratin type I cytoskeletal 9, Keratin 9, Keratin, K9, K1C9_HUMAN, EPPK, Cytokeratin-9, Cytokeratin9, Cytokeratin 9, CK-9, CK 9

Anti-KRT9 Antibody (1T211) 是一种 Rabbit 抗体,靶向 KRT9。Anti-KRT9 Antibody (1T211) 可用于 IHC,IP,WB。

Anti-KRT9 Antibody (1T211)

Anti-KRT9 Antibody (1T211)

一键复制产品信息
Rating icon 还可以
产品编号 TMAC-01098 别名 type I cytoskeletal 9, Spermatid Perinuclear Ring Manchette Protein K9, Krt9, KRT 9, Keratin-9, Keratin9, Keratin type I cytoskeletal 9, Keratin 9, Keratin, K9, K1C9_HUMAN, EPPK, Cytokeratin-9, Cytokeratin9, Cytokeratin 9, CK-9, CK 9

Anti-KRT9 Antibody (1T211) 是一种 Rabbit 抗体,靶向 KRT9。Anti-KRT9 Antibody (1T211) 可用于 IHC,IP,WB。

规格价格库存数量
50 μL
¥ 1,495
5日内发货
100 μL
¥ 2,480
5日内发货
大包装 & 定制
加入购物车
TargetMol 的所有产品仅用作科学研究或药证申报,不能被用于人体,我们不向个人提供产品和服务。请您遵守承诺用途,不得违反法律法规规定用于任何其他用途。
实验操作小课堂
常见问题解答
查看更多
联系我们获取更多批次信息
资源下载

产品介绍

生物活性
产品描述
Anti-KRT9 Antibody (1T211) is a Rabbit antibody targeting KRT9. Anti-KRT9 Antibody (1T211) can be used in IHC,IP,WB.
别名type I cytoskeletal 9, Spermatid Perinuclear Ring Manchette Protein K9, Krt9, KRT 9, Keratin-9, Keratin9, Keratin type I cytoskeletal 9, Keratin 9, Keratin, K9, K1C9_HUMAN, EPPK, Cytokeratin-9, Cytokeratin9, Cytokeratin 9, CK-9, CK 9
Ig Type
IgG
克隆号
1T211
交叉反应
Human,Mouse,Rat
验证活性
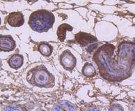
1. Immunohistochemical analysis of paraffin-embedded mouse skin tissue using anti-Cytokeratin 9 antibody. Counter stained with hematoxylin.
verifiedActivity
应用IHCIPWB
推荐剂量
WB: 1:500-1000; IHC: 1:50-200
抗体种类
Monoclonal
宿主来源Rabbit
构建方式Recombinant Antibody
纯化方式ProA affinity purified
性状Liquid
缓冲液1*TBS (pH7.4), 1%BSA, 40%Glycerol. Preservative: 0.05% Sodium Azide.
研究背景Cytokeratins comprise a diverse group of intermediate filament proteins that are expressed as pairs in both keratinized and non-keratinized epithelial tissue. Cytokeratins play a critical role in differentiation and tissue specialization and function to maintain the overall structural integrity of epithelial cells. Cytokeratin 9 is an unusually large, type I acidic cytokeratin that differentiates human plantar and palmar epidermal cells. Cytokeratin 9 localizes to the suprabasal layers as well as the upper epidermal layers such as the glandular ridges and interridges. The domains of cytokeratin 9 include a head, an α-helical coiled-coil-forming rod, and a tail; cytokeratin 9 shares significant homology with cytokeratin 10. Mutations in the cytokeratin 9 gene correlate with the development of epidermolytic palmoplantar keratoderma (EPPK), an autosomal dominant inherited skin disorder that is characterized by hyperkeratosis of the skin over the palms and soles.
偶联与修饰
偶联
Unconjugated
抗原信息
免疫原
Recombinant Protein
Uniprot ID
化学信息
分子量Theoretical: 62 kDa.
存储&运输
储存方式Store at -20°C or -80°C for 12 months. Avoid repeated freeze-thaw cycles.
运输方式Shipping with blue ice.

计算器

  • 稀释 计算器

评论列表

4个月前
5.0
Rating icon 很棒

评论内容

Related Tags: buy Anti-KRT9 Antibody (1T211) | purchase Anti-KRT9 Antibody (1T211) | Anti-KRT9 Antibody (1T211) cost | order Anti-KRT9 Antibody (1T211) | Anti-KRT9 Antibody (1T211) molecular weight