购物车
  • TargetMol
    您的购物车当前为空

Anti-KRT7 Antibody (8D469)

Synonyms: Type-II keratin Kb7, type II cytoskeletal 7, SCL, Sarcolectin, KRT7, Keratin-7 (K7), Keratin, type II cytoskeletal 7, Cytokeratin-7 (CK-7)
货号 TMAC-01099 一键复制产品信息
Rating icon 还可以

Anti-KRT7 Antibody (8D469) 是一种 Mouse 抗体,靶向 KRT7。Anti-KRT7 Antibody (8D469) 可用于 IHC,WB。

Anti-KRT7 Antibody (8D469)

一键复制产品信息
Rating icon 还可以
货号 TMAC-01099

别名 Type-II keratin Kb7, type II cytoskeletal 7, SCL, Sarcolectin, KRT7, Keratin-7 (K7), Keratin, type II cytoskeletal 7, Cytokeratin-7 (CK-7)

Anti-KRT7 Antibody (8D469) 是一种 Mouse 抗体,靶向 KRT7。Anti-KRT7 Antibody (8D469) 可用于 IHC,WB。

Anti-KRT7 Antibody (8D469)
规格价格库存数量
50 μL
¥ 1,980
5日内发货
100 μL
¥ 2,985
5日内发货
库存状态实时更新,以官网显示为准,现货产品可直接加购物车下单
大包装 & 定制
加入购物车

TargetMol的所有产品仅用作科学研究或药证申报,不能被用于人体,我们不向个人提供产品和服务。请您遵守承诺用途,不得违反法律法规规定用于任何其他用途。

实验操作小课堂
常见问题解答
查看更多

资源下载:产品操作手册

产品介绍


生物活性
产品描述
Anti-KRT7 Antibody (8D469) is a Mouse antibody targeting KRT7. Anti-KRT7 Antibody (8D469) can be used in IHC,WB.
别名
Type-II keratin Kb7, type II cytoskeletal 7, SCL, Sarcolectin, KRT7, Keratin-7 (K7), Keratin, type II cytoskeletal 7, Cytokeratin-7 (CK-7)
克隆号
8D469
反应种属
Human
验证活性
1. Western blot analysis of Cytokeratin-7 on different cell lysates using anti- Cytokeratin-7 antibody at 1/1000 dilution. Positive?control: Lane 1: MCF-7, Lane 2: A549, Lane 3: Hela, Lane 4: HepG2, Lane 5: SKBR3, Lane6: SKOV3, Lane 7: SW1990.
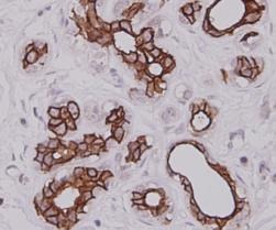
2. Immunohistochemical analysis of paraffin-embedded human lung?carcinoma tissue using anti-Cytokeratin-7 antibody. Counter stained with hematoxylin.
3. Immunohistochemical analysis of paraffin-embedded human breast tissue using anti-Cytokeratin-7 antibody. Counter stained with hematoxylin.
verifiedActivityverifiedActivityverifiedActivity
应用IHCWB
推荐剂量
WB: 1:1000; IHC: 1:200
抗体种类
Monoclonal
宿主来源Mouse
构建方式Hybridoma Monoclonal Antibody
纯化方式ProA affinity purified
性状Liquid
缓冲液1*TBS (pH7.4), 1%BSA, 40%Glycerol. Preservative: 0.05% Sodium Azide.
研究背景Keratin-7 is a member of the keratin gene family. The type II cytokeratins consist of basic or neutral proteins which are arranged in pairs of heterotypic keratin chains coexpressed during differentiation of simple and stratified epithelial tissues. Keratin-7 is found in simple glandular epithelia, and in transitional epithelium. Epithelial cells of the lung and breast both contain keratin-7, but some other glandular epithelia, such as those of the colon and prostate, do not. Because the keratin-7 antigen is found in both healthy and neoplastic cells, antibodies to CK7 can be used in immunohistochemistry to distinguish ovarian and transitional cell carcinomas from colonic and prostate cancers, respectively.
偶联与修饰
偶联
Unconjugated
抗原信息
免疫原
Peptide
Uniprot ID
化学信息
分子量Theoretical: 51 kDa.
储存&溶解度
储存方式Store at -20°C or -80°C for 12 months. Avoid repeated freeze-thaw cycles.
运输方式Shipping with blue ice.

计算器

  • 稀释 计算器
  • 配液 计算器
Related Tags: buy Anti-KRT7 Antibody (8D469) | purchase Anti-KRT7 Antibody (8D469) | Anti-KRT7 Antibody (8D469) cost | order Anti-KRT7 Antibody (8D469) | Anti-KRT7 Antibody (8D469) molecular weight