购物车
  • 全部删除
  • TargetMol
    您的购物车当前为空

Anti-KRT2 Antibody (6L268)

一键复制产品信息
Rating icon 还可以
产品编号 TMAC-01086
别名 Type-II keratin Kb2, KRT2E, KRT2A, KRT 2, Keratin-2 epidermis, Keratin type II cytoskeletal 2 epidermal, K2e, Epithelial keratin-2e, Cytokeratin-2e, CK 2e

Anti-KRT2 Antibody (6L268) 是一种 Rabbit 抗体,靶向 KRT2。Anti-KRT2 Antibody (6L268) 可用于 IHC,WB。

Anti-KRT2 Antibody (6L268)

Anti-KRT2 Antibody (6L268)

一键复制产品信息
Rating icon 还可以
产品编号 TMAC-01086 别名 Type-II keratin Kb2, KRT2E, KRT2A, KRT 2, Keratin-2 epidermis, Keratin type II cytoskeletal 2 epidermal, K2e, Epithelial keratin-2e, Cytokeratin-2e, CK 2e

Anti-KRT2 Antibody (6L268) 是一种 Rabbit 抗体,靶向 KRT2。Anti-KRT2 Antibody (6L268) 可用于 IHC,WB。

规格价格库存数量
50 μL
¥ 1,495
5日内发货
100 μL
¥ 2,480
5日内发货
大包装 & 定制
加入购物车
TargetMol 的所有产品仅用作科学研究或药证申报,不能被用于人体,我们不向个人提供产品和服务。请您遵守承诺用途,不得违反法律法规规定用于任何其他用途。
实验操作小课堂
常见问题解答
查看更多
联系我们获取更多批次信息
资源下载

产品介绍

生物活性
产品描述
Anti-KRT2 Antibody (6L268) is a Rabbit antibody targeting KRT2. Anti-KRT2 Antibody (6L268) can be used in IHC,WB.
别名Type-II keratin Kb2, KRT2E, KRT2A, KRT 2, Keratin-2 epidermis, Keratin type II cytoskeletal 2 epidermal, K2e, Epithelial keratin-2e, Cytokeratin-2e, CK 2e
Ig Type
IgG
克隆号
6L268
交叉反应
Human
验证活性
1. Western blot analysis of Cytokeratin 2e on human skin lysates using anti-Cytokeratin 2e antibody at 1/1,000 dilution.
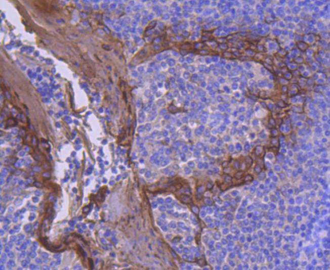
2. Immunohistochemical analysis of paraffin-embedded human tonsil tissue using anti-Cytokeratin 2e antibody. Counter stained with hematoxylin.
verifiedActivityverifiedActivity
应用IHCWB
推荐剂量
WB: 1:1000; IHC: 1:50-200
抗体种类
Monoclonal
宿主来源Rabbit
构建方式Recombinant Antibody
纯化方式ProA affinity purified
性状Liquid
缓冲液1*TBS (pH7.4), 1%BSA, 40%Glycerol. Preservative: 0.05% Sodium Azide.
研究背景The keratin multigene family is made of "soft" epithelial cytokeratins and "hard" hair keratins. While the epithelial cytokeratins are involved in the layering and formation of epithelia, the hair keratins are responsible for creating nails and hair. There are two types of keratins: the acidic class I keratin proteins and the basic/neutral class II keratin proteins. Keratin 2 (KRT2), also known as Keratin type II cytoskeletal 2 epidermal, Keratin-2e (K2e), KRTE, Cytokeratin-2e (CK-2e), KRT2A or KRT2E, is a 639 amino acid class II epithelial Keratin protein belonging to the intermediate filament family. Encoded by a gene that maps to human chromosome 12q13.13, Keratin 2 functions in epidermal keratinocyte activation and proliferation, and plays a part in terminal cornification. Highly expressed in upper epithelial tissues, Keratin 2 forms heterotetramers with two class I Keratins and another class II Keratin. Defects in Keratin 2 have been linked to ichthyosis bullosa of Siemens (IBS), a rare autosomal dominant skin disorder.
偶联与修饰
偶联
Unconjugated
抗原信息
免疫原
Recombinant Protein
Uniprot ID
化学信息
分子量Theoretical: 65 kDa.
存储&运输
储存方式Store at -20°C or -80°C for 12 months. Avoid repeated freeze-thaw cycles.
运输方式Shipping with blue ice.

计算器

  • 稀释 计算器

评论列表

4个月前
5.0
Rating icon 很棒

评论内容

Related Tags: buy Anti-KRT2 Antibody (6L268) | purchase Anti-KRT2 Antibody (6L268) | Anti-KRT2 Antibody (6L268) cost | order Anti-KRT2 Antibody (6L268) | Anti-KRT2 Antibody (6L268) molecular weight