购物车
  • TargetMol
    您的购物车当前为空

Anti-KRT14 Antibody (3K758)

Synonyms: NFJ, K14, EBS4, EBS3, EBS1D, EBS1C, EBS1B, EBS1A, EBS1, CK14
货号 TMAC-01076 一键复制产品信息
Rating icon 还可以

Anti-KRT14 Antibody (3K758) 是一种 Rabbit 抗体,靶向 KRT14。Anti-KRT14 Antibody (3K758) 可用于 ICC/IF,IHC,WB。

Anti-KRT14 Antibody (3K758)

一键复制产品信息
Rating icon 还可以
货号 TMAC-01076

别名 NFJ, K14, EBS4, EBS3, EBS1D, EBS1C, EBS1B, EBS1A, EBS1, CK14

Anti-KRT14 Antibody (3K758) 是一种 Rabbit 抗体,靶向 KRT14。Anti-KRT14 Antibody (3K758) 可用于 ICC/IF,IHC,WB。

Anti-KRT14 Antibody (3K758)
规格价格库存数量
50 μL
¥ 1,490
5日内发货
100 μL
¥ 2,490
5日内发货
库存状态实时更新,以官网显示为准,现货产品可直接加购物车下单
大包装 & 定制
加入购物车

TargetMol的所有产品仅用作科学研究或药证申报,不能被用于人体,我们不向个人提供产品和服务。请您遵守承诺用途,不得违反法律法规规定用于任何其他用途。

实验操作小课堂
常见问题解答
查看更多

资源下载:产品操作手册

产品介绍


生物活性
产品描述
Anti-KRT14 Antibody (3K758) is a Rabbit antibody targeting KRT14. Anti-KRT14 Antibody (3K758) can be used in ICC/IF,IHC,WB.
别名
NFJ, K14, EBS4, EBS3, EBS1D, EBS1C, EBS1B, EBS1A, EBS1, CK14
Ig Type
IgG
克隆号
3K758
反应种属
Human,Mouse,Rat
验证活性
1. Western blot analysis of Cytokeratin 14 on different lysates using anti-Cytokeratin 14 antibody at 1/1,000 dilution. Positive control: Lane 1: A431, Lane 2: Human skin.
2. Immunohistochemical analysis of paraffin-embedded mouse skin tissue using anti-Cytokeratin 14 antibody. Counter stained with hematoxylin.
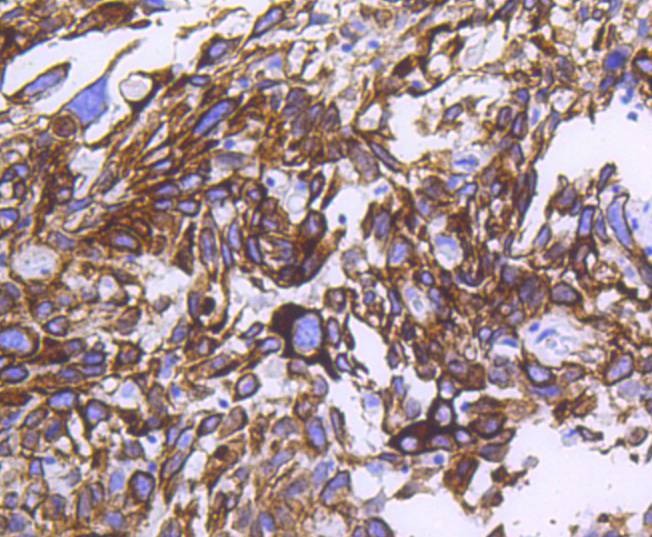
3. Immunohistochemical analysis of paraffin-embedded human breast carcinoma tissue using anti-Cytokeratin 14 antibody. Counter stained with hematoxylin.
4. Immunohistochemical analysis of paraffin-embedded mouse prostate tissue using anti-Cytokeratin 14 antibody. Counter stained with hematoxylin.
5. ICC staining Cytokeratin 14 in B16-F1 cells (green). The nuclear counter stain is DAPI (blue). Cells were fixed in paraformaldehyde, permeabilised with 0.25% Triton X100/PBS.
6. ICC staining Cytokeratin 14 in SW480 cells (green). The nuclear counter stain is DAPI (blue). Cells were fixed in paraformaldehyde, permeabilised with 0.25% Triton X100/PBS.
7. ICC staining Cytokeratin 14 in HepG2 cells (green). The nuclear counter stain is DAPI (blue). Cells were fixed in paraformaldehyde, permeabilised with 0.25% Triton X100/PBS.
verifiedActivityverifiedActivityverifiedActivityverifiedActivityverifiedActivityverifiedActivityverifiedActivity
应用ICC/IFIHCWB
推荐剂量
WB: 1:1000-2000; IHC: 1:100-500; ICC/IF: 1:100-500
抗体种类
Monoclonal
宿主来源Rabbit
构建方式Recombinant Antibody
纯化方式ProA affinity purified
性状Liquid
缓冲液1*TBS (pH7.4), 1%BSA, 40%Glycerol. Preservative: 0.05% Sodium Azide.
研究背景Cytokeratins comprise a diverse group of intermediate filament proteins (IFPs) that are expressed in pairs in both keratinized and non-keratinized epithelial tissue, where they constitute up to 85% of mature keratinocytes in the vertebrate epidermis. Cytokeratins play a critical role in differentiation and tissue specialization and function to maintain the overall structural integrity of epithelial cells. The a-helical coiled-coil dimers associate laterally end-to-end to form 10 nm diameter filaments. Cytokeratins are useful markers of tissue differentiation and, in addition, they aid in the characterization of malignant tumors. In Bowen??s disease, the characteristic malignancy of the epidermis exhibits distinct expression patterns of Cytokeratin 14. The gene encoding human Cytokeratin 14 maps to chromosome 17q12-21. Mutations in this gene lead to epidermolysis bullosa simplex, an inheritied skin disorder characterized by skin blistering due to basal keratinocyte fragility.
偶联与修饰
偶联
Unconjugated
抗原信息
免疫原
Recombinant Protein
Uniprot ID
化学信息
分子量Theoretical: 53 kDa.
储存&溶解度
储存方式Store at -20°C or -80°C for 12 months. Avoid repeated freeze-thaw cycles.
运输方式Shipping with blue ice.

计算器

  • 稀释 计算器
  • 配液 计算器
Related Tags: buy Anti-KRT14 Antibody (3K758) | purchase Anti-KRT14 Antibody (3K758) | Anti-KRT14 Antibody (3K758) cost | order Anti-KRT14 Antibody (3K758) | Anti-KRT14 Antibody (3K758) molecular weight