购物车
  • TargetMol
    您的购物车当前为空

Anti-KRT1 Antibody (8C677)

Synonyms: Type-II keratin Kb1, type II cytoskeletal 1, KRTA, KRT1, Keratin-1 (K1), Keratin, type II cytoskeletal 1, Hair alpha protein, Cytokeratin-1 (CK-1), 67 kDa cytokeratin
货号 TMAC-01073 一键复制产品信息
Rating icon 还可以

Anti-KRT1 Antibody (8C677) 是一种 Rabbit 抗体,靶向 KRT1。Anti-KRT1 Antibody (8C677) 可用于 IHC,WB。

Anti-KRT1 Antibody (8C677)

一键复制产品信息
Rating icon 还可以
货号 TMAC-01073

别名 Type-II keratin Kb1, type II cytoskeletal 1, KRTA, KRT1, Keratin-1 (K1), Keratin, type II cytoskeletal 1, Hair alpha protein, Cytokeratin-1 (CK-1), 67 kDa cytokeratin

Anti-KRT1 Antibody (8C677) 是一种 Rabbit 抗体,靶向 KRT1。Anti-KRT1 Antibody (8C677) 可用于 IHC,WB。

Anti-KRT1 Antibody (8C677)
规格价格库存数量
50 μL
¥ 1,495
5日内发货
100 μL
¥ 2,495
5日内发货
库存状态实时更新,以官网显示为准,现货产品可直接加购物车下单
大包装 & 定制
加入购物车

TargetMol的所有产品仅用作科学研究或药证申报,不能被用于人体,我们不向个人提供产品和服务。请您遵守承诺用途,不得违反法律法规规定用于任何其他用途。

实验操作小课堂
常见问题解答
查看更多

资源下载:产品操作手册

产品介绍


生物活性
产品描述
Anti-KRT1 Antibody (8C677) is a Rabbit antibody targeting KRT1. Anti-KRT1 Antibody (8C677) can be used in IHC,WB.
别名
Type-II keratin Kb1, type II cytoskeletal 1, KRTA, KRT1, Keratin-1 (K1), Keratin, type II cytoskeletal 1, Hair alpha protein, Cytokeratin-1 (CK-1), 67 kDa cytokeratin
Ig Type
IgG
克隆号
8C677
反应种属
Human,Mouse,Rat
验证活性
1. Western blot analysis of Cytokeratin 1 on different lysates using anti-Cytokeratin 1 antibody at 1/1,000 dilution. Positive control: Lane 1: 293T, Lane 2: Hela.
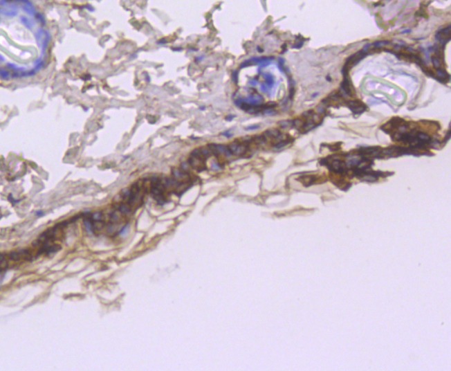
2. Immunohistochemical analysis of paraffin-embedded mouse skin tissue using anti-Cytokeratin 1 antibody. Counter stained with hematoxylin.
verifiedActivityverifiedActivity
应用IHCWB
推荐剂量
WB: 1:1000; IHC: 1:100-500
抗体种类
Monoclonal
宿主来源Rabbit
构建方式Recombinant Antibody
纯化方式ProA affinity purified
性状Liquid
缓冲液1*TBS (pH7.4), 1%BSA, 40%Glycerol. Preservative: 0.05% Sodium Azide.
研究背景Cytokeratins comprise a diverse group of intermediate filament proteins (IFPs) that are expressed as pairs in both keratinized and non-keratinized epithelial tissue. Cytokeratins constitute up to 85% of a mature keratinocytes in the vertebrate epidermis. Cytokeratins play a critical role in differentiation and tissue specialization, and they function to maintain the overall structural integrity of epithelial cells. The alpha-helical coiled-coil dimers associate laterally end-to-end to form 10-nm diameter filaments. Cytokeratins are useful markers of tissue differentiation, and they aid in the characterization of malignant tumors. Cytokeratin 1 is highly expressed in several malignancies including epithelioid hemangioendohtheliomas, angiosarcomas, schwannomas, epithelioid sarcomas and synodal sarcomas. The gene encoding human Cytokeratin 1 maps to chromosome 12q13.13. Mutations in the gene encoding human Cytokeratin 1 lead to abnormal filament associations and epidermolytic hyperkeratosis.
偶联与修饰
偶联
Unconjugated
抗原信息
免疫原
Recombinant Protein
Uniprot ID
化学信息
分子量Theoretical: 72 kDa.
储存&溶解度
储存方式Store at -20°C or -80°C for 12 months. Avoid repeated freeze-thaw cycles.
运输方式Shipping with blue ice.

计算器

  • 稀释 计算器
  • 配液 计算器
Related Tags: buy Anti-KRT1 Antibody (8C677) | purchase Anti-KRT1 Antibody (8C677) | Anti-KRT1 Antibody (8C677) cost | order Anti-KRT1 Antibody (8C677) | Anti-KRT1 Antibody (8C677) molecular weight