购物车
  • 全部删除
  • TargetMol
    您的购物车当前为空

Anti-KLF4 Antibody (8B968)

一键复制产品信息
Rating icon 还可以
产品编号 TMAC-02327
别名 Krueppel-like factor 4, KLF 4, Gut-enriched krueppel-like factor, GKLF, EZF, Epithelial zinc finger protein EZF

Anti-KLF4 Antibody (8B968) 是一种 Rabbit 抗体,靶向 KLF4。Anti-KLF4 Antibody (8B968) 可用于 ICC/IF,IHC,WB。

Anti-KLF4 Antibody (8B968)

Anti-KLF4 Antibody (8B968)

一键复制产品信息
Rating icon 还可以
产品编号 TMAC-02327 别名 Krueppel-like factor 4, KLF 4, Gut-enriched krueppel-like factor, GKLF, EZF, Epithelial zinc finger protein EZF

Anti-KLF4 Antibody (8B968) 是一种 Rabbit 抗体,靶向 KLF4。Anti-KLF4 Antibody (8B968) 可用于 ICC/IF,IHC,WB。

规格价格库存数量
50 μL
¥ 1,495
5日内发货
100 μL
¥ 2,495
5日内发货
大包装 & 定制
加入购物车
TargetMol 的所有产品仅用作科学研究或药证申报,不能被用于人体,我们不向个人提供产品和服务。请您遵守承诺用途,不得违反法律法规规定用于任何其他用途。
实验操作小课堂
常见问题解答
查看更多
联系我们获取更多批次信息
资源下载

产品介绍

生物活性
产品描述
Anti-KLF4 Antibody (8B968) is a Rabbit antibody targeting KLF4. Anti-KLF4 Antibody (8B968) can be used in ICC/IF,IHC,WB.
别名Krueppel-like factor 4, KLF 4, Gut-enriched krueppel-like factor, GKLF, EZF, Epithelial zinc finger protein EZF
Ig Type
IgG
克隆号
8B968
交叉反应
Human,Mouse,Rat
验证活性
1. Western blot analysis of KLF4 on different lysates using anti-KLF4 antibody at 1/1,000 dilution. Positive control: Lane 1: 293, Lane 2: NCCIT.
2. Immunohistochemical analysis of paraffin-embedded human gastric carcinoma tissue using anti-KLF4 antibody. Counter stained with hematoxylin.
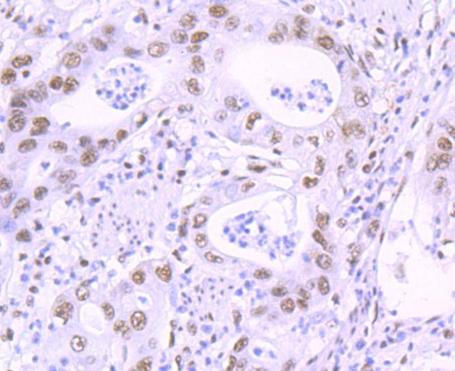
3. Immunohistochemical analysis of paraffin-embedded mouse colon tissue using anti-KLF4 antibody. Counter stained with hematoxylin.
4. Immunohistochemical analysis of paraffin-embedded mouse stomach tissue using anti-KLF4 antibody. Counter stained with hematoxylin.
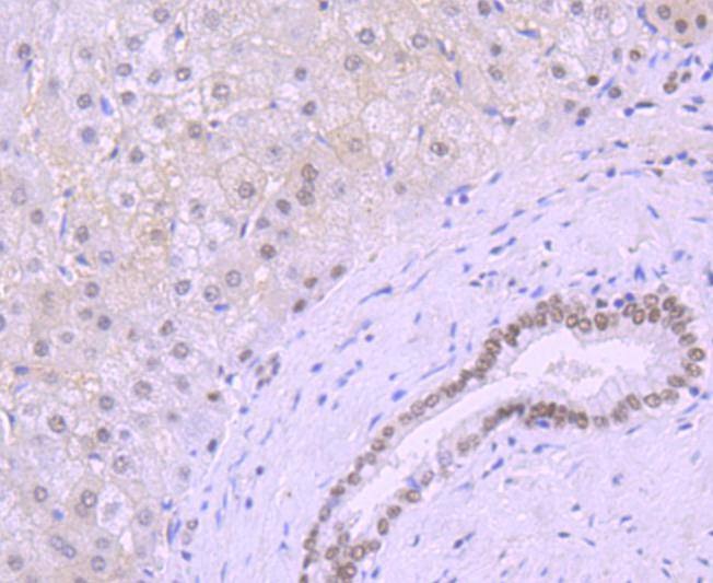
5. Immunohistochemical analysis of paraffin-embedded human liver tissue using anti-KLF4 antibody. Counter stained with hematoxylin.
6. Immunohistochemical analysis of paraffin-embedded mouse liver tissue using anti-KLF4 antibody. Counter stained with hematoxylin.
7. ICC staining KLF4 in Hela cells (red). The nuclear counter stain is DAPI (blue). Cells were fixed in paraformaldehyde, permeabilised with 0.25% Triton X100/PBS.
8. ICC staining KLF4 in PC-3M cells (red). The nuclear counter stain is DAPI (blue). Cells were fixed in paraformaldehyde, permeabilised with 0.25% Triton X100/PBS.
9. ICC staining KLF4 in 293T cells (red). The nuclear counter stain is DAPI (blue). Cells were fixed in paraformaldehyde, permeabilised with 0.25% Triton X100/PBS.
verifiedActivityverifiedActivityverifiedActivityverifiedActivityverifiedActivityverifiedActivityverifiedActivityverifiedActivityverifiedActivity
应用ICC/IFIHCWB
推荐剂量
WB: 1:1000-5000; IHC: 1:50-200; ICC/IF: 1:50-200
抗体种类
Monoclonal
宿主来源Rabbit
构建方式Recombinant Antibody
纯化方式ProA affinity purified
性状Liquid
缓冲液1*TBS (pH7.4), 1%BSA, 40%Glycerol. Preservative: 0.05% Sodium Azide.
研究背景The Kruppel-type zinc finger transcription factors comprise a conserved family of DNA binding proteins that are important in developmental regulation. The Kruppel zinc finger transcription factor was initially identified in Drosophila as a segmentation gene. Kruppel-like factors that have been characterized in mammals include EKLF, LKLF and GKLF (6-8). EKLF is expressed principally in erythroid tissues, and LKLF expression is limited to the lung. GKLF is found predominantly in gut and has been shown to be expressed during growth arres.
偶联与修饰
偶联
Unconjugated
抗原信息
免疫原
Recombinant Protein
Uniprot ID
化学信息
分子量Theoretical: 55 kDa.
存储&运输
储存方式Store at -20°C or -80°C for 12 months. Avoid repeated freeze-thaw cycles.
运输方式Shipping with blue ice.

计算器

  • 稀释 计算器

评论列表

4个月前
5.0
Rating icon 很棒

评论内容

Related Tags: buy Anti-KLF4 Antibody (8B968) | purchase Anti-KLF4 Antibody (8B968) | Anti-KLF4 Antibody (8B968) cost | order Anti-KLF4 Antibody (8B968) | Anti-KLF4 Antibody (8B968) molecular weight