购物车
  • 全部删除
  • TargetMol
    您的购物车当前为空

Anti-KARS Antibody (1C183)

一键复制产品信息
Rating icon 还可以
产品编号 TMAC-02439
别名 Lysyl-tRNA Synthetase, LysRS, Lysine--tRNA Ligase, KIAA0070, KARS

Anti-KARS Antibody (1C183) 是一种 Rabbit 抗体,靶向 KARS。Anti-KARS Antibody (1C183) 可用于 ICC,IHC,IP,WB。

Anti-KARS Antibody (1C183)

Anti-KARS Antibody (1C183)

一键复制产品信息
Rating icon 还可以
产品编号 TMAC-02439 别名 Lysyl-tRNA Synthetase, LysRS, Lysine--tRNA Ligase, KIAA0070, KARS

Anti-KARS Antibody (1C183) 是一种 Rabbit 抗体,靶向 KARS。Anti-KARS Antibody (1C183) 可用于 ICC,IHC,IP,WB。

规格价格库存数量
50 μL
¥ 1,490
5日内发货
100 μL
¥ 2,495
5日内发货
大包装 & 定制
加入购物车
TargetMol 的所有产品仅用作科学研究或药证申报,不能被用于人体,我们不向个人提供产品和服务。请您遵守承诺用途,不得违反法律法规规定用于任何其他用途。
实验操作小课堂
常见问题解答
查看更多
联系我们获取更多批次信息
资源下载

产品介绍

生物活性
产品描述
Anti-KARS Antibody (1C183) is a Rabbit antibody targeting KARS. Anti-KARS Antibody (1C183) can be used in ICC,IHC,IP,WB.
别名Lysyl-tRNA Synthetase, LysRS, Lysine--tRNA Ligase, KIAA0070, KARS
Ig Type
IgG
克隆号
1C183
交叉反应
Human,Mouse,Rat
验证活性
1. Western blot analysis of Lysyl tRNA synthetase on SiHa (1) and MCF-7 (2) cell lysate using anti-Lysyl tRNA synthetase antibody at 1/2,000 dilution.
2. Immunohistochemical analysis of paraffin-embedded rat testis tissue using anti-Lysyl tRNA synthetase antibody. Counter stained with hematoxylin.
3. Immunohistochemical analysis of paraffin-embedded human colon tissue using anti-Lysyl tRNA synthetase antibody. Counter stained with hematoxylin.
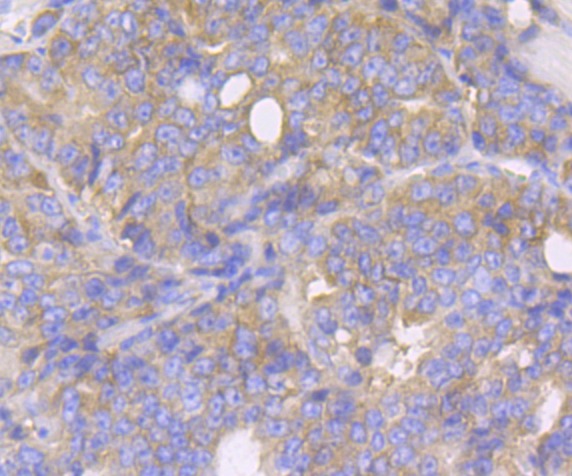
4. Immunohistochemical analysis of paraffin-embedded human prostate cancer tissue using anti-Lysyl tRNA synthetase antibody. Counter stained with hematoxylin.
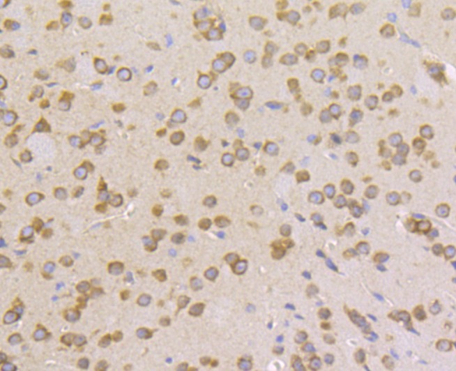
5. Immunohistochemical analysis of paraffin-embedded mouse brain tissue using anti-Lysyl tRNA synthetase antibody. Counter stained with hematoxylin.
verifiedActivityverifiedActivityverifiedActivityverifiedActivityverifiedActivity
应用ICCIHCIPWB
推荐剂量
WB: 1:500-2000; IHC: 1:50-200; ICC: 1:50-100; IP: 1:10-50
抗体种类
Monoclonal
宿主来源Rabbit
构建方式Recombinant Antibody
纯化方式ProA affinity purified
性状Liquid
缓冲液1*TBS (pH7.4), 1%BSA, 40%Glycerol. Preservative: 0.05% Sodium Azide.
研究背景SiHa, MCF-7, rat testis tissue, human colon tissue, human prostate cancer tissue, mouse brain tissue.
偶联与修饰
偶联
Unconjugated
抗原信息
免疫原
Recombinant Protein: C-terminal human Lysyl tRNA synthetase
抗原种属
human
Uniprot ID
化学信息
分子量Theoretical: 68 kDa.
存储&运输
储存方式Store at -20°C or -80°C for 12 months. Avoid repeated freeze-thaw cycles.
运输方式Shipping with blue ice.

计算器

  • 稀释 计算器

关键词

评论列表

4个月前
5.0
Rating icon 很棒

评论内容

Related Tags: buy Anti-KARS Antibody (1C183) | purchase Anti-KARS Antibody (1C183) | Anti-KARS Antibody (1C183) cost | order Anti-KARS Antibody (1C183) | Anti-KARS Antibody (1C183) molecular weight