购物车
  • TargetMol
    您的购物车当前为空

Anti-JAB1 Antibody (6A480)

Synonyms: Signalosome subunit 5, SGN5, SGN 5, MOV34 family, 38-KD member, MOV34, MOV 34, MGC3149, Jun activation domain-binding protein 1, Jun activation domain binding protein 1, Jun activation domain binding protein, JAB 1, CSN5_HUMAN, CSN5, CSN 5, cops5, COPS 5, Cop9 subunit 5, COP9 signalosome subunit 5, COP9 signalosome complex subunit 5, COP9 constitutive photomorphogenic homolog subunit 5, COP9 (constitutive photomorphogenic) homolog subunit 5, 38 kDa Mov34 homolog
货号 TMAC-02257 一键复制产品信息
Rating icon 还可以

Anti-JAB1 Antibody (6A480) 是一种 Rabbit 抗体,靶向 JAB1。Anti-JAB1 Antibody (6A480) 可用于 ICC,IF,IHC,IP,WB。

Anti-JAB1 Antibody (6A480)

一键复制产品信息
Rating icon 还可以
货号 TMAC-02257

别名 Signalosome subunit 5, SGN5, SGN 5, MOV34 family, 38-KD member, MOV34, MOV 34, MGC3149, Jun activation domain-binding protein 1, Jun activation domain binding protein 1, Jun activation domain binding protein, JAB 1, CSN5_HUMAN, CSN5, CSN 5, cops5, COPS 5, Cop9 subunit 5, COP9 signalosome subunit 5, COP9 signalosome complex subunit 5, COP9 constitutive photomorphogenic homolog subunit 5, COP9 (constitutive photomorphogenic) homolog subunit 5, 38 kDa Mov34 homolog

Anti-JAB1 Antibody (6A480) 是一种 Rabbit 抗体,靶向 JAB1。Anti-JAB1 Antibody (6A480) 可用于 ICC,IF,IHC,IP,WB。

Anti-JAB1 Antibody (6A480)
规格价格库存数量
50 μL
¥ 1,490
5日内发货
100 μL
¥ 2,490
5日内发货
库存状态实时更新,以官网显示为准,现货产品可直接加购物车下单
大包装 & 定制
加入购物车

TargetMol的所有产品仅用作科学研究或药证申报,不能被用于人体,我们不向个人提供产品和服务。请您遵守承诺用途,不得违反法律法规规定用于任何其他用途。

实验操作小课堂
常见问题解答
查看更多

资源下载:产品操作手册

产品介绍


生物活性
产品描述
Anti-JAB1 Antibody (6A480) is a Rabbit antibody targeting JAB1. Anti-JAB1 Antibody (6A480) can be used in ICC,IF,IHC,IP,WB.
别名
Signalosome subunit 5, SGN5, SGN 5, MOV34 family, 38-KD member, MOV34, MOV 34, MGC3149, Jun activation domain-binding protein 1, Jun activation domain binding protein 1, Jun activation domain binding protein, JAB 1, CSN5_HUMAN, CSN5, CSN 5, cops5, COPS 5, Cop9 subunit 5, COP9 signalosome subunit 5, COP9 signalosome complex subunit 5, COP9 constitutive photomorphogenic homolog subunit 5, COP9 (constitutive photomorphogenic) homolog subunit 5, 38 kDa Mov34 homolog
Ig Type
IgG
克隆号
6A480
反应种属
Human,Mouse,Rat
验证活性
1. Western blot analysis of JAB1 on different lysate using anti-JAB1 antibody at 1/500 dilution. Positive control: Lane 1: Mouse testis tissue, Lane 2: PC-3M, Lane 3: A549
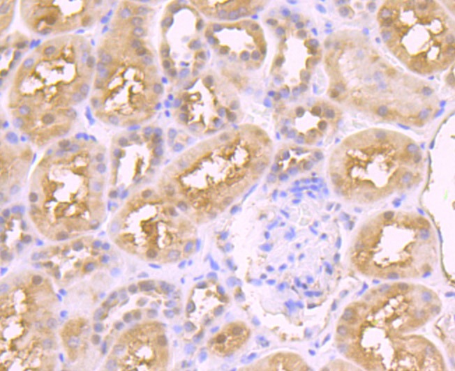
2. Immunohistochemical analysis of paraffin-embedded human kidney tissue using anti-JAB1 antibody. Counter stained with hematoxylin.
3. Immunohistochemical analysis of paraffin-embedded mouse testis tissue using anti-JAB1 antibody. Counter stained with hematoxylin.
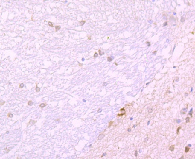
4. Immunohistochemical analysis of paraffin-embedded rat brain tissue using anti-JAB1 antibody. Counter stained with hematoxylin.
5. ICC staining JAB1 in A549 cells (green). The nuclear counter stain is DAPI (blue). Cells were fixed in paraformaldehyde, permeabilised with 0.25% Triton X100/PBS.
6. ICC staining JAB1 in PC-3M cells (green). The nuclear counter stain is DAPI (blue). Cells were fixed in paraformaldehyde, permeabilised with 0.25% Triton X100/PBS.
7. ICC staining JAB1 in A431 cells (green). The nuclear counter stain is DAPI (blue). Cells were fixed in paraformaldehyde, permeabilised with 0.25% Triton X100/PBS.
verifiedActivityverifiedActivityverifiedActivityverifiedActivityverifiedActivityverifiedActivityverifiedActivity
应用ICCIFIHCIPWB
推荐剂量
WB: 1:500; IHC: 1:50-200; ICC: 1:100-500
抗体种类
Monoclonal
宿主来源Rabbit
构建方式Recombinant Antibody
纯化方式ProA affinity purified
性状Liquid
缓冲液1*TBS (pH7.4), 1%BSA, 40%Glycerol. Preservative: 0.05% Sodium Azide.
研究背景Genes belonging to the Jun and Fos oncogene families encode nuclear proteins that are found to be associated with a number of transcriptional complexes. The c-Jun protein is a major component of the transcription factor AP-1, originally shown to mediate phorbol ester tumor promoter (TPA)-induced expression of responsive genes through the TPA-response element (TRE). The Jun proteins form homo- and heterodimers which bind the TRE, but the Fos proteins are active only as heterodimers with any of the Jun proteins. Fos/Jun heterodimers have a much higher affinity for the TRE than Jun homodimers. Ha-Ras augments c-Jun activity and stimulates phosphorylation of its activation domain. The coactivator of Jun, designated JAB1 (for Jun-activation domain-binding protein), interacts with c-Jun and Jun D, but not with Jun B or v-Jun. This interaction enhances the transactivating ability of Jun proteins by stabilizing their binding to the TRE. The gene encoding JAB1 maps to human chromosome 8q12.3.
偶联与修饰
偶联
Unconjugated
抗原信息
免疫原
Recombinant Protein
Uniprot ID
化学信息
分子量Theoretical: 37, 100 kDa.
储存&溶解度
储存方式Store at -20°C or -80°C for 12 months. Avoid repeated freeze-thaw cycles.
运输方式Shipping with blue ice.

计算器

  • 稀释 计算器
  • 配液 计算器
Related Tags: buy Anti-JAB1 Antibody (6A480) | purchase Anti-JAB1 Antibody (6A480) | Anti-JAB1 Antibody (6A480) cost | order Anti-JAB1 Antibody (6A480) | Anti-JAB1 Antibody (6A480) molecular weight