购物车
  • 全部删除
  • TargetMol
    您的购物车当前为空

Anti-ITGAX Antibody (4P951)

一键复制产品信息
Rating icon 还可以
产品编号 TMAC-00651
别名 SLEB6, leukocyte adhesion receptor p150, 95, leukocyte adhesion glycoprotein p150, 95 alpha chain, ITGAX, ITAX, integrin aX, integrin alpha-X precursor, Integrin alpha-X, complement receptor 4, CD11C(p150) alpha polypeptide, CD11 antigen-like family member C

Anti-ITGAX Antibody (4P951) 是一种 Rabbit 抗体,靶向 ITGAX。Anti-ITGAX Antibody (4P951) 可用于 IHC,IP,ICC/IF,WB。

Anti-ITGAX Antibody (4P951)

Anti-ITGAX Antibody (4P951)

一键复制产品信息
Rating icon 还可以
产品编号 TMAC-00651 别名 SLEB6, leukocyte adhesion receptor p150, 95, leukocyte adhesion glycoprotein p150, 95 alpha chain, ITGAX, ITAX, integrin aX, integrin alpha-X precursor, Integrin alpha-X, complement receptor 4, CD11C(p150) alpha polypeptide, CD11 antigen-like family member C

Anti-ITGAX Antibody (4P951) 是一种 Rabbit 抗体,靶向 ITGAX。Anti-ITGAX Antibody (4P951) 可用于 IHC,IP,ICC/IF,WB。

规格价格库存数量
50 μL
¥ 1,480
5日内发货
100 μL
¥ 2,480
5日内发货
大包装 & 定制
加入购物车
TargetMol 的所有产品仅用作科学研究或药证申报,不能被用于人体,我们不向个人提供产品和服务。请您遵守承诺用途,不得违反法律法规规定用于任何其他用途。
实验操作小课堂
常见问题解答
查看更多
联系我们获取更多批次信息
资源下载

产品介绍

生物活性
产品描述
Anti-ITGAX Antibody (4P951) is a Rabbit antibody targeting ITGAX. Anti-ITGAX Antibody (4P951) can be used in IHC,IP,ICC/IF,WB.
别名SLEB6, leukocyte adhesion receptor p150, 95, leukocyte adhesion glycoprotein p150, 95 alpha chain, ITGAX, ITAX, integrin aX, integrin alpha-X precursor, Integrin alpha-X, complement receptor 4, CD11C(p150) alpha polypeptide, CD11 antigen-like family member C
Ig Type
IgG
克隆号
4P951
交叉反应
Human
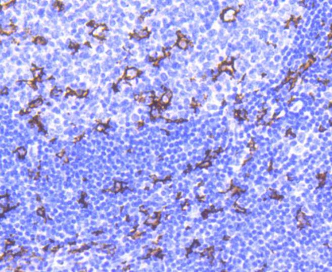
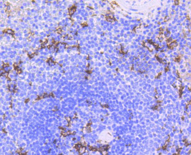
验证活性
1. Immunohistochemical analysis of paraffin-embedded human spleen tissue using anti-CD11c antibody. Counter stained with hematoxylin.
2. Immunohistochemical analysis of paraffin-embedded human tonsil tissue using anti-CD11c antibody. Counter stained with hematoxylin.
verifiedActivityverifiedActivity
应用IHCIP,ICC/IFWB
推荐剂量
WB: 1:1000-2000; IHC: 1:50-200; ICC/IF: 1:50-200
抗体种类
Monoclonal
宿主来源Rabbit
构建方式Recombinant Antibody
纯化方式ProA affinity purified
性状Liquid
缓冲液1*TBS (pH7.4), 1%BSA, 40%Glycerol. Preservative: 0.05% Sodium Azide.
研究背景Integrin αX (CD11C, leukocyte surface antigen p150,95, CR4, Axb2) is a type 1 transmembrane protein that traditionally combines with β2 chain to form a leukocyte-specific integrin known as inactivated-C3b (iC3b) receptor 4 (CR4). Integrin αX/β2 shares similar properties of the αM/β2 integrin in mediating adherence of neutrophils and monocytes to stimulated endothelial cells, and in phagocytosis of complement coated particles. Abnormal expression of Integrin αX is characteristic of hairy cell leukemia (HCL) and is dependent upon activation of proto-oncogenes Ras and JunD. Proteins and DNA elements that influence transcription of Integrin αX include Sp1 and Sp1-like factors, AP-1 family, C/EBP, Oct-2 and PU.1. Integrin αX is present on monocyte derivative dendritic cells (DCs), macrophages and NK cells. Upon activation, DCs present in skin (Langerhans cells), lining of nose, lung, stomach, intestine and blood can migrate to lymphoid tissues and interact with T and B cells to initiate and shape the immune response.
偶联与修饰
偶联
Unconjugated
抗原信息
免疫原
Recombinant Protein
Uniprot ID
化学信息
分子量Theoretical: 128 kDa.
存储&运输
储存方式Store at -20°C or -80°C for 12 months. Avoid repeated freeze-thaw cycles.
运输方式Shipping with blue ice.

计算器

  • 稀释 计算器

评论列表

4个月前
5.0
Rating icon 很棒

评论内容

Related Tags: buy Anti-ITGAX Antibody (4P951) | purchase Anti-ITGAX Antibody (4P951) | Anti-ITGAX Antibody (4P951) cost | order Anti-ITGAX Antibody (4P951) | Anti-ITGAX Antibody (4P951) molecular weight