购物车
  • TargetMol
    您的购物车当前为空

Anti-IRS-1 Antibody (6O938)

Synonyms: IRS-1, Insulin receptor substrate 1
货号 TMAC-02240 一键复制产品信息
Rating icon 还可以

Anti-IRS-1 Antibody (6O938) 是一种 Rabbit 抗体,靶向 IRS-1。Anti-IRS-1 Antibody (6O938) 可用于 ICC/IF,IHC,WB。

Anti-IRS-1 Antibody (6O938)

一键复制产品信息
Rating icon 还可以
货号 TMAC-02240

别名 IRS-1, Insulin receptor substrate 1

Anti-IRS-1 Antibody (6O938) 是一种 Rabbit 抗体,靶向 IRS-1。Anti-IRS-1 Antibody (6O938) 可用于 ICC/IF,IHC,WB。

Anti-IRS-1 Antibody (6O938)
规格价格库存数量
50 μL
¥ 1,485
5日内发货
100 μL
¥ 2,485
5日内发货
库存状态实时更新,以官网显示为准,现货产品可直接加购物车下单
大包装 & 定制
加入购物车

TargetMol的所有产品仅用作科学研究或药证申报,不能被用于人体,我们不向个人提供产品和服务。请您遵守承诺用途,不得违反法律法规规定用于任何其他用途。

实验操作小课堂
常见问题解答
查看更多

资源下载:产品操作手册

产品介绍


生物活性
产品描述
Anti-IRS-1 Antibody (6O938) is a Rabbit antibody targeting IRS-1. Anti-IRS-1 Antibody (6O938) can be used in ICC/IF,IHC,WB.
别名
IRS-1, Insulin receptor substrate 1
Ig Type
IgG
克隆号
6O938
反应种属
Human
验证活性
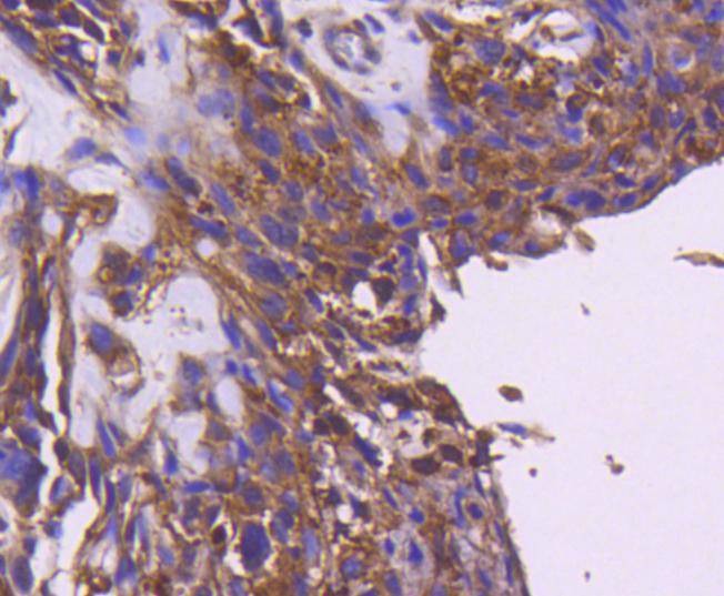
1. Immunohistochemical analysis of paraffin-embedded human breast carcinoma tissue using anti-IRS1 antibody. Counter stained with hematoxylin.
2. ICC staining IRS1 in SW480 cells (green). The nuclear counter stain is DAPI (blue). Cells were fixed in paraformaldehyde, permeabilised with 0.25% Triton X100/PBS.
3. ICC staining IRS1 in Hela cells (green). The nuclear counter stain is DAPI (blue). Cells were fixed in paraformaldehyde, permeabilised with 0.25% Triton X100/PBS.
4. ICC staining IRS1 in MCF-7 cells (green). The nuclear counter stain is DAPI (blue). Cells were fixed in paraformaldehyde, permeabilised with 0.25% Triton X100/PBS.
verifiedActivityverifiedActivityverifiedActivityverifiedActivity
应用ICC/IFIHCWB
推荐剂量
WB: 1:1000-2000; IHC: 1:50-200; ICC/IF: 1:50-200
抗体种类
Monoclonal
宿主来源Rabbit
构建方式Recombinant Antibody
纯化方式ProA affinity purified
性状Liquid
缓冲液1*TBS (pH7.4), 1%BSA, 40%Glycerol. Preservative: 0.05% Sodium Azide.
研究背景The insulin receptor substrate-1 (IRS-1), a protein major substrate of the insulin receptor, is phosphorylated in response to stimulation of cells by insulin, insulin-like growth factor 1 (IGF-1) and interleukin 4 (IL-4). IRS-1 is phosphorylated on serine, threonine and tyrosine residues in a variety of tissues. An insulin-sensitive serine/threonine kinase casein kinase II mediates a portion of the insulin-stimulated serine/threonine phosphorylation of overexpressed IRS-1 in vivo. Thr 502 is identified as the major casein kinase II-catalyzed phosphorylation site in rat IRS-1, and Ser 99 is an additional phosphorylation site catalyzed by casein kinase II. Thus, casein kinase II-catalyzed phosphorylation of IRS-1 may be a component of the intracellular insulin signaling cascade. IRS-1 contains three putative binding sites for 14-3-3 (Ser 270, Ser 374 and Ser 641) and the motif around Ser 270 is located in the phosphotyrosine binding domain of IRS-1, which is responsible for the interaction with the insulin receptor. The association of 14-3-3 with IRS-1 increases significantly upon treatment with okadaic acid, a potent serine/ threonine phosphatase inhibitor. Therefore, the association of 14-3-3 protein may play a role in the regulation of insulin sensitivity by interrupting the association between the insulin receptor and IRS-1.
偶联与修饰
偶联
Unconjugated
抗原信息
免疫原
Recombinant Protein
Uniprot ID
化学信息
分子量Theoretical: 170 kDa.
储存&溶解度
储存方式Store at -20°C or -80°C for 12 months. Avoid repeated freeze-thaw cycles.
运输方式Shipping with blue ice.

计算器

  • 稀释 计算器
  • 配液 计算器
Related Tags: buy Anti-IRS-1 Antibody (6O938) | purchase Anti-IRS-1 Antibody (6O938) | Anti-IRS-1 Antibody (6O938) cost | order Anti-IRS-1 Antibody (6O938) | Anti-IRS-1 Antibody (6O938) molecular weight