购物车
  • 全部删除
  • TargetMol
    您的购物车当前为空

Anti-IRF4 Antibody (7S662)

一键复制产品信息
Rating icon 还可以
产品编号 TMAC-02687
别名 SHEP8, NF-EM5, MUM1, LSIRF, IRF4

Anti-IRF4 Antibody (7S662) 是一种 Mouse 抗体,靶向 IRF4。Anti-IRF4 Antibody (7S662) 可用于 IHC,WB。

Anti-IRF4 Antibody (7S662)

Anti-IRF4 Antibody (7S662)

一键复制产品信息
Rating icon 还可以
产品编号 TMAC-02687 别名 SHEP8, NF-EM5, MUM1, LSIRF, IRF4

Anti-IRF4 Antibody (7S662) 是一种 Mouse 抗体,靶向 IRF4。Anti-IRF4 Antibody (7S662) 可用于 IHC,WB。

规格价格库存数量
50 μL
¥ 1,990
5日内发货
100 μL
¥ 2,990
5日内发货
大包装 & 定制
加入购物车
TargetMol 的所有产品仅用作科学研究或药证申报,不能被用于人体,我们不向个人提供产品和服务。请您遵守承诺用途,不得违反法律法规规定用于任何其他用途。
实验操作小课堂
常见问题解答
查看更多
联系我们获取更多批次信息
资源下载

产品介绍

生物活性
产品描述
Anti-IRF4 Antibody (7S662) is a Mouse antibody targeting IRF4. Anti-IRF4 Antibody (7S662) can be used in IHC,WB.
别名SHEP8, NF-EM5, MUM1, LSIRF, IRF4
克隆号
7S662
交叉反应
Human
验证活性
1. Western blot analysis of MUM1 on human MUM1 recombinant protein using anti-MUM1 antibody at 1/1,000 dilution.
2. Immunohistochemical analysis of paraffin-embedded human uterus tissue using anti-MUM1 antibody. Counter stained with hematoxylin.
3. Immunohistochemical analysis of paraffin-embedded human melanoma tissue using anti-MUM1 antibody. Counter stained with hematoxylin.
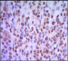
4. Immunohistochemical analysis of paraffin-embedded non-Hodgkin`s lymphoma tissue using anti-MUM1 antibody. Counter stained with hematoxylin.
verifiedActivityverifiedActivityverifiedActivityverifiedActivity
应用IHCWB
推荐剂量
WB: 1:500-1000; IHC: 1:100-200
抗体种类
Monoclonal
宿主来源Mouse
构建方式Hybridoma Monoclonal Antibody
纯化方式ProA affinity purified
性状Liquid
缓冲液1*TBS (pH7.4), 1%BSA, Preservative: 0.05% Sodium Azide.
研究背景MUM1 (melanoma associated antigen (mutated) 1) is a 710 amino acid protein that becomes phosphorylated by Atm or ATR upon DNA damage and exists as two alternatively spliced isoforms. The gene encoding MUM1 maps to human chromosome 19, which consists of over 63 million bases, houses approximately 1,400 genes and is recognized for having the greatest gene density of the human chromosomes. It is the genetic home for a number of immunoglobulin (Ig) superfamily members, including the killer cell and leukocyte Ig-like receptors, a number of ICAMs, the CEACAM and PSG family and Fc receptors (FcRs).
偶联与修饰
偶联
Unconjugated
抗原信息
免疫原
Recombinant Protein
Uniprot ID
存储&运输
储存方式Store at -20°C or -80°C for 12 months. Avoid repeated freeze-thaw cycles.
运输方式Shipping with blue ice.

计算器

  • 稀释 计算器

评论列表

4个月前
5.0
Rating icon 很棒

评论内容

Related Tags: buy Anti-IRF4 Antibody (7S662) | purchase Anti-IRF4 Antibody (7S662) | Anti-IRF4 Antibody (7S662) cost | order Anti-IRF4 Antibody (7S662)