购物车
  • TargetMol
    您的购物车当前为空

Anti-IkappaB- beta Antibody (5Y651)

Synonyms: TRIP-9, TRIP9, TR-interacting protein 9, TR interacting protein 9, Thyroid receptor-interacting protein 9, Thyroid receptor interacting protein 9, Nfkbib, NF-kappa-BIB, NF-kappa-B inhibitor beta, NF kappa BIB, IkB-beta, IkBbeta, IKBB_HUMAN, IkB-B, IKBB, IKB beta, IkappaB-β, IkappaBβ, I-kappa-B-beta, IkappaBbeta, IkappaB-b, IkappaBb, I kappa B beta
货号 TMAC-02116 一键复制产品信息
Rating icon 还可以

Anti-IkappaB- beta Antibody (5Y651) 是一种 Rabbit 抗体,靶向 IkappaB- beta。Anti-IkappaB- beta Antibody (5Y651) 可用于 ICC,IHC,IP,WB。

Anti-IkappaB- beta Antibody (5Y651)

一键复制产品信息
Rating icon 还可以
货号 TMAC-02116

别名 TRIP-9, TRIP9, TR-interacting protein 9, TR interacting protein 9, Thyroid receptor-interacting protein 9, Thyroid receptor interacting protein 9, Nfkbib, NF-kappa-BIB, NF-kappa-B inhibitor beta, NF kappa BIB, IkB-beta, IkBbeta, IKBB_HUMAN, IkB-B, IKBB, IKB beta, IkappaB-β, IkappaBβ, I-kappa-B-beta, IkappaBbeta, IkappaB-b, IkappaBb, I kappa B beta

Anti-IkappaB- beta Antibody (5Y651) 是一种 Rabbit 抗体,靶向 IkappaB- beta。Anti-IkappaB- beta Antibody (5Y651) 可用于 ICC,IHC,IP,WB。

Anti-IkappaB- beta Antibody (5Y651)
规格价格库存数量
50 μL
¥ 1,490
5日内发货
100 μL
¥ 2,490
5日内发货
库存状态实时更新,以官网显示为准,现货产品可直接加购物车下单
大包装 & 定制
加入购物车

TargetMol的所有产品仅用作科学研究或药证申报,不能被用于人体,我们不向个人提供产品和服务。请您遵守承诺用途,不得违反法律法规规定用于任何其他用途。

实验操作小课堂
常见问题解答
查看更多

资源下载:产品操作手册

产品介绍


生物活性
产品描述
Anti-IkappaB- beta Antibody (5Y651) is a Rabbit antibody targeting IkappaB- beta. Anti-IkappaB- beta Antibody (5Y651) can be used in ICC,IHC,IP,WB.
别名
TRIP-9, TRIP9, TR-interacting protein 9, TR interacting protein 9, Thyroid receptor-interacting protein 9, Thyroid receptor interacting protein 9, Nfkbib, NF-kappa-BIB, NF-kappa-B inhibitor beta, NF kappa BIB, IkB-beta, IkBbeta, IKBB_HUMAN, IkB-B, IKBB, IKB beta, IkappaB-β, IkappaBβ, I-kappa-B-beta, IkappaBbeta, IkappaB-b, IkappaBb, I kappa B beta
Ig Type
IgG
克隆号
5Y651
反应种属
Human
验证活性
1. Western blot analysis of IKB beta on different lysates using anti-IKB beta antibody at 1/1,000 dilution. Positive control: Lane 1: Jurkat, Lane 2: Hela, Lane 3: THP-1.
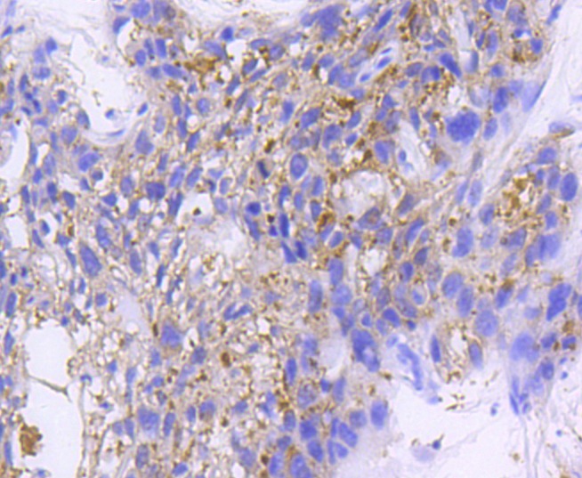
2. Immunohistochemical analysis of paraffin-embedded human breast carcinoma tissue using anti-IKB beta antibody. Counter stained with hematoxylin.
3. ICC staining IKB beta in A549 cells (green). The nuclear counter stain is DAPI (blue). Cells were fixed in paraformaldehyde, permeabilised with 0.25% Triton X100/PBS.
4. ICC staining IKB beta in MCF-7 cells (green). The nuclear counter stain is DAPI (blue). Cells were fixed in paraformaldehyde, permeabilised with 0.25% Triton X100/PBS.
verifiedActivityverifiedActivityverifiedActivityverifiedActivity
应用ICCIHCIPWB
推荐剂量
WB: 1:1000; IHC: 1:50-200; ICC: 1:50-200
抗体种类
Monoclonal
宿主来源Rabbit
构建方式Recombinant Antibody
纯化方式ProA affinity purified
性状Liquid
缓冲液1*TBS (pH7.4), 1%BSA, 40%Glycerol. Preservative: 0.05% Sodium Azide.
研究背景On the basis of both functional and structural considerations, members of the IkB family of proteins can be divided into four groups. The first of these groups, IkB-α, includes the avian protein pp40 and the mammalian MAD-3, both of which inhibit binding of p50-p65 NFkB complex or Rel protein to their cognate binding sites but do not inhibit the binding of p50 homodimer to kB sites, suggesting that the IkB-α family binds to the p65 subunit of p50-p65 heterocomplex through ankyrin repeats. The second member of the IkB family is represented by a protein designated IkB-β. The third group of IkB proteins is represented by IkB-ε, which is identical in sequence with the C-terminal domain of the p110 precursor of NFkB p50 and is expressed predominantly in lymphoid cells. An additional IkB family member, IkB-??, has several phosphorylated forms and is primarily found complexed with Rel A and/or c-Rel.
偶联与修饰
偶联
Unconjugated
抗原信息
免疫原
Recombinant Protein
Uniprot ID
化学信息
分子量Theoretical: 48 kDa.
储存&溶解度
储存方式Store at -20°C or -80°C for 12 months. Avoid repeated freeze-thaw cycles.
运输方式Shipping with blue ice.

计算器

  • 稀释 计算器
  • 配液 计算器
Related Tags: buy Anti-IkappaB- beta Antibody (5Y651) | purchase Anti-IkappaB- beta Antibody (5Y651) | Anti-IkappaB- beta Antibody (5Y651) cost | order Anti-IkappaB- beta Antibody (5Y651) | Anti-IkappaB- beta Antibody (5Y651) molecular weight