购物车
  • 全部删除
  • TargetMol
    您的购物车当前为空

Anti-IGF2/IGF-II Antibody (5T527)

一键复制产品信息
Rating icon 还可以
产品编号 TMAC-02097
别名 胰岛素样生长因子

Anti-IGF2/IGF-II Antibody (5T527) 是一种 Rabbit 抗体,靶向 IGF2/IGF-II。Anti-IGF2/IGF-II Antibody (5T527) 可用于 ICC/IF,IHC,WB。

Anti-IGF2/IGF-II Antibody (5T527)

Anti-IGF2/IGF-II Antibody (5T527)

一键复制产品信息
Rating icon 还可以
产品编号 TMAC-02097 别名 胰岛素样生长因子

Anti-IGF2/IGF-II Antibody (5T527) 是一种 Rabbit 抗体,靶向 IGF2/IGF-II。Anti-IGF2/IGF-II Antibody (5T527) 可用于 ICC/IF,IHC,WB。

规格价格库存数量
50 μL
¥ 1,495
5日内发货
100 μL
¥ 2,480
5日内发货
大包装 & 定制
加入购物车
TargetMol 的所有产品仅用作科学研究或药证申报,不能被用于人体,我们不向个人提供产品和服务。请您遵守承诺用途,不得违反法律法规规定用于任何其他用途。
实验操作小课堂
常见问题解答
查看更多
联系我们获取更多批次信息
资源下载

产品介绍

生物活性
产品描述
Anti-IGF2/IGF-II Antibody (5T527) is a Rabbit antibody targeting IGF2/IGF-II. Anti-IGF2/IGF-II Antibody (5T527) can be used in ICC/IF,IHC,WB.
别名胰岛素样生长因子
Ig Type
IgG
克隆号
5T527
交叉反应
Human
验证活性
1. Western blot analysis of IGF2 on human placenta lysates using anti-IGF2 antibody at 1/1,000 dilution.
2. Immunohistochemical analysis of paraffin-embedded human liver cancer tissue using anti-IGF2 antibody. Counter stained with hematoxylin.
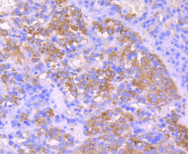
3. Immunohistochemical analysis of paraffin-embedded human colon cancer tissue using anti-IGF2 antibody. Counter stained with hematoxylin.
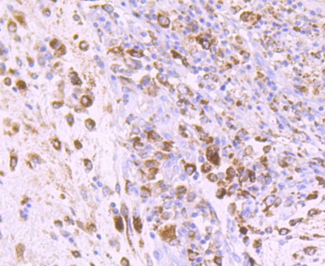
4. Immunohistochemical analysis of paraffin-embedded human breast carcinoma tissue using anti-IGF2 antibody. Counter stained with hematoxylin.
5. ICC staining IGF2 in Hela cells (green). The nuclear counter stain is DAPI (blue). Cells were fixed in paraformaldehyde, permeabilised with 0.25% Triton X100/PBS.
6. ICC staining IGF2 in HepG2 cells (green). The nuclear counter stain is DAPI (blue). Cells were fixed in paraformaldehyde, permeabilised with 0.25% Triton X100/PBS.
7. ICC staining IGF2 in 293T cells (green). The nuclear counter stain is DAPI (blue). Cells were fixed in paraformaldehyde, permeabilised with 0.25% Triton X100/PBS.
8. ICC staining IGF2 in 293 cells (green). The nuclear counter stain is DAPI (blue). Cells were fixed in paraformaldehyde, permeabilised with 0.25% Triton X100/PBS.
verifiedActivityverifiedActivityverifiedActivityverifiedActivityverifiedActivityverifiedActivityverifiedActivityverifiedActivity
应用ICC/IFIHCWB
推荐剂量
WB: 1:1000; IHC: 1:50-200; ICC/IF: 1:100-500
抗体种类
Monoclonal
宿主来源Rabbit
构建方式Recombinant Antibody
纯化方式ProA affinity purified
性状Liquid
缓冲液1*TBS (pH7.4), 1%BSA, 40%Glycerol. Preservative: 0.05% Sodium Azide.
研究背景IGF-II (Insulin-like growth factor II; also multiplication-stimulating polypeptide/MSP and somatomedin-A) is a secreted 8 kDa polypeptide that belongs to the insulin family of peptide growth factors. It is part of a complex system of growth and metabolic-regulating proteins that is particularly important during development. It has been associated with nervous system proliferation and differentiation, myelination, adrenal cortical proliferation, and skeletal growth and differentiation. In human, IGF-II is primarily synthesized by the liver, and circulates at high levels in both fetus and adult. In rodent, however, IGF-II levels drop after the perinatal period, an effect attributed to the lack of a key gene promoter. This may indicate that postnatally, IGF-II has either a limited, or local effect only in rodent.
偶联与修饰
偶联
Unconjugated
抗原信息
免疫原
Recombinant Protein
Uniprot ID
化学信息
分子量Theoretical: 11 kDa.
存储&运输
储存方式Store at -20°C or -80°C for 12 months. Avoid repeated freeze-thaw cycles.
运输方式Shipping with blue ice.

计算器

  • 稀释 计算器

评论列表

4个月前
5.0
Rating icon 很棒

评论内容

Related Tags: buy Anti-IGF2/IGF-II Antibody (5T527) | purchase Anti-IGF2/IGF-II Antibody (5T527) | Anti-IGF2/IGF-II Antibody (5T527) cost | order Anti-IGF2/IGF-II Antibody (5T527) | Anti-IGF2/IGF-II Antibody (5T527) molecular weight